Cystenyrer
Cystenyrer er en arvelig sykdom. Den medisinske betegnelsen er autosomal dominant polycystisk nyresykdom, forkortet ADPKD.

Sist oppdatert:
24. mars 2021
Hva er cystenyrer?
Cystenyrer er en arvelig sykdom (autosomal dominant polycystisk nyresykdom, ADPKD). Tilstanden innebærer at det oppstår små væskefylte hulrom (cyster) i nyrene. Disse cystene vil med tiden øke i størrelse og fortrenge normalt nyrevev, og slik svekke nyrefunksjonen. ADPKD fører til nyresvikt hos mer enn halvparten av pasientene.
Hyppigheten av tilstanden angis å ligge på ca. 1 tilfelle per 1000 personer i befolkningen. Cystenyrer er årsak til cirka 10 prosent av alle tilfeller med alvorlig nyresvikt, pasienter som med tiden kan trenge nyretransplantasjon. Gjennomsnittsalder for start av behandling av nyresvikt er ca. 55 år.
Årsak
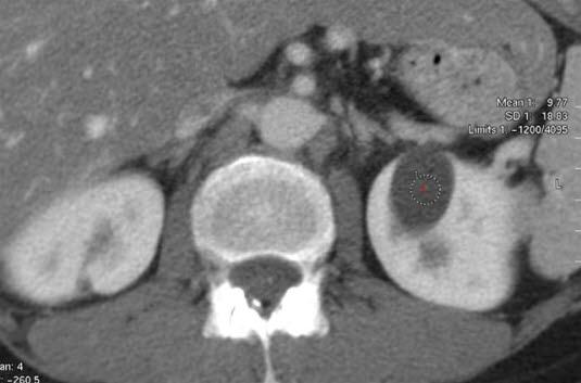
CT-bilde av nyrecysteSykdommen er arvelig, men selv om du har arvet de skadde arveanleggene (genene), så er ikke det ensbetydende med at du vil utvikle nyresvikt. Ved å studere arveanleggene har man funnet ut at det er to gener som kan være endret, og avhengig av hvilket gen som er skadet, skilles det mellom to hovedtyper (type 1-ADPKD - utgjør 85 prosent, type 2-ADPKD utgjør 15 prosent).
Nyrenes størrelse øker kontinuerlig som følge av voksende cyster. Denne økningen er målbar og er forbundet med reduksjon av nyrefunksjonen. Raskere økning i nyreforstørrelsen medfører en raskere nedgang i nyrefunksjonen.
Hvordan vokser nyrene?
Det er stor variasjon i veksthastigheten til nyrecyster hos pasienter med ADPKD. Nyrenes størrelse øker i takt med økningen av cystevolumet.
Hos den enkelte pasient er det oftest en jevn økning av cystenes størrelse, og et jevnt fall av nyrefunksjonen over tid. Men hastigheten av cystenes vekst, og dermed utviklingen av sviktende nyrefunksjon, kan variere betydelig fra person til person.
Symptomer
Cyster i nyrene utvikles sakte og uten å medføre plager over mange år. Nyrefunksjonen avtar gradvis, men ikke alle med cystenyrer vil utvikle symptomgivende nyresvikt.
Cystenyrer gir i de fleste tilfeller ingen symptomer i barndom og ungdom. Symptomer melder seg gjerne i 30-50 årsalderen. Høyt blodtrykk oppstår hos de fleste før nyrefunksjonen begynner å avta. Noen opplever episoder med blod i urinen og smerter i siden som første tegn på sykdommen. Økt forekomst av urinveisinfeksjoner og nyrestein er vanlig.
Hos 75 prosent finnes en positiv familiehistorie, det vil si minst én annen person i den nærmeste familien har cystenyrer. Når dette er kjent kan diagnosen stilles ved undersøkelser før man får plager.
Cystenyrer er forbundet med økt sannsynlighet for sykdom også i andre organer. Hos noen utvikles levercyster, som kan medføre leverforstørrelse. Hos noen utvikles utposninger på blodårer (aneurismer), blant annet i hjernen - noe som øker risikoen for subaraknoidalblødning. Noen kan få skade på en hjerteklaff (mitralprolaps), og det er økt risiko for hjerte- og karsykdom generelt.
Diagnostikk
Diagnosen stilles ofte under utredning fordi en person i familien har cystenyrer. I andre tilfeller kan utgangspunktet være utredning for blod eller eggehvite i urinen, eller anfall med magesmerter.
De avgjørende undersøkelsene er ultralyd eller CT hvor cystene kan påvises med sikkerhet. I tillegg tas blod- og urinprøver for å kartlegge nyre- og leverfunksjon. Ved mistanke om sykdom i blodårer kan annen bildediagnostikk være påkrevd.
Utviklingen (veksten) av nyrecystene kan følges med gjentatte ultralyd- eller MR-undersøkelser med års mellomrom. Det kan også bidra til å anslå når nyrefunksjonen blir så påvirket at behandling er nødvendig.
Siden dette er en arvelig sykdom hvor det er 50% risiko for at en forelder med genfeilen vil overføre den til sine barn, kan det være aktuelt med genetisk veiledning, og eventuelt gentesting hos personer som ønsker det.
Behandling
Målet med behandlingen er å forsinke utviklingen av nyresvikt. Dersom tilstanden utvikles til alvorlig nyresvikt er dialyse og nyretransplantasjon nødvendig.
Behandlingen av cystenyrer og nyresvikt er en spesialistoppgave (nefrolog). Behandlingen rettes mot symptomene. Høyt blodtrykk behandles for å bremse utviklingen av nyresvikt, og for å redusere risiko for hjerte-komplikasjoner eller hjerneblødninger. Ellers behandles urinveisinfeksjon og nyrestein på vanlig måte om slike komplikasjoner opptrer. Når det oppstår alvorlig nyresvikt, starter dialysebehandling i påvente av nyretransplantasjon.
Du bør unngå å delta i kontaktidretter med risiko for støt mot ryggen eller magen. Det kan føre til at cyster eller nyrevev revner.
Prognose
Ved type 1-ADPKD begynner nyrefunksjonen oftest å avta i 30-40-årsalderen, ved type 2-ADPKD starter denne prosessen ca. ti år senere. Hos de fleste oppstår nyresvikt, og de må i dialyse. Mer enn halvparten har utviklet nyresvikt ved 50-60 års alder.
De aller fleste som får alvorlig nyresvikt blir behandlet med nyretransplantasjon.
Animasjoner
Dette dokumentet er basert på det profesjonelle dokumentet Polycystisk nyresykdom . Referanselisten for dette dokumentet vises nedenfor
- Arbejdsgruppe nedsat af Dansk Nefrologisk Selskab. Autosomal dominant polycystisk nyresygdom. Forslag til retningslinjer for patienter og disses slægtninge. Ugeskr Læger 2004; 166: 3807-11. PubMed
- Srivastava A, Patel N. Autosomal dominant polycystic kidney disease. Am Fam Physician. 2014 Sep 1;90(5):303-307. PubMed
- Chapman AB. Cystic disease in women: clinical characteristics and medical management. Adv Ren Replace Ther 2003; 10: 24-30. PubMed
- Grantham JJ, Chapman AB, Torres VE. Volume progression in autosomal dominant polycystic kidney disease: the major factor determining clinical outcomes. Clin J Am Soc Nephrol 2006; 1: 148-57. PubMed
- Torres VE, Harris PC. Autosomal dominant polycystic kidney disease: the last 3 years. Kidney Int. 2009;76(2):149–168. PMID 19455193
- Katre S, Leivestad T, Fauchald P. Aktiv uremibehandling ved autosomal dominant polycystisk nyresykdom. Tidsskr Nor Lægeforen 2000; 120: 1015-9. Tidsskrift for Den norske legeforening
- Demetriou K, Tziakouri C, Anninou Ket al. Autosomal dominant polycystic kidney disease - type 2. Ultrasound, genetic and clinical correlations. Nephrol Dial Transpl 2000; 15: 205-11. PubMed
- Grantham JJ, Torres VE, Chapman AB, et al. Volume progression in polycystic kidney disease. N Engl J Med 2006; 354: 2122-30. PubMed
- Rosetti S, Burton S, Strmecki L, et al. The position of the polycystic kidney disease 1 (PKD1) gene mutation correlates with the severity of renal disease. J Am Soc Nephrol 2002; 13: 1230. pmid:11961010 PubMed
- Steinman TI. Polycystic kidney disease: a 2011 update. Curr Opin Nephrol Hypertens. 2012;21(2):189–194.
- Perrone RD, Malek AM, Watnick T. Vascular complications in autosomal dominant polycystic kidney disease. Nat Rev Nephrol 2015; 11: 589. pmid: 26260542 PubMed
- Grantham JJ. Clinical practice. Autosomal dominant polycystic kidney disease. N Engl J Med. 2008;359(14):1477–1485.
- Kim JA, Blumenfeld JD, Chhabra S, et al. Pancreatic Cysts in Autosomal Dominant Polycystic Kidney Disease: Prevalence and Association with PKD2 Gene Mutations. Radiology 2016; 280: 762. pmid:27046073 PubMed
- Pirson Y. Extrarenal manifestations of autosomal dominant polycystic kidney disease. Adv Chronic Kidney Dis. 2010;17(2):173–180.
- Torres VE, Harris PC, Pirson Y. Autosomal dominant polycystic kidney disease. Lancet. 2007;369(9569):1287–1301.
- Bae KT, Sun H, Lee JG, et al. Novel methodology to evaluate renal cysts in polycystic kidney disease. Am J Nephrol 2014; 39: 210-7. pmid:24576800 PubMed
- Torres VE, Chapman AB, Devuyst O, et al. Tolvaptan in Later-Stage Autosomal Dominant Polycystic Kidney Disease. N Engl J Med 2017; 377: 1930. pmid:29105594 PubMed
- Wüthrich RP, Mei C. Pharmacological management of polycystic kidney disease. Expert Opin Pharmacother 2014; 15: 1085-95. doi:10.1517/14656566.2014.903923 DOI
- James PA, Oparil S, Carter BL, et al. 2014 evidence-based guideline for the management of high blood pressure in adults: report from the panel members appointed to the Eighth Joint National Committee (JNC 8). JAMA. 2014;311(5):507–520.
- Patch C, Charlton J, Roderick PJ, Gulliford MC. Use of antihypertensive medications and mortality of patients with autosomal dominant polycystic kidney disease: a population-based study. Am J Kidney Dis. 2011 Jun. 57(6):856-62.
- Gabow PA, Johnson AM, Kaehny WD, Kimberling WJ, Lezotte DC, Duley IT et al. Factors affecting the progression of renal disease in autosomal dominant polycystic kidney disease. Kidney Int 1992; 45: 1311-9. PubMed
- Rozenfeld MN, Ansari SA, Shaibani A, Russell EJ, Mohan P, Hurley MC. Should patients with autosomal dominant polycystic kidney disease be screened for cerebral aneurysms? AJNR Am J Neuroradiol. 2014;35(1):3–9.
- Bennett WM. Autosomal dominant polycystic kidney disease: 2009 update for internists. Korean J Intern Med. 2009;24(3):165–168.