Hofteleddsartrose
Hofteleddsartrose skyldes slitasjeforandringer i hofteleddet. Hvert år settes det inn knapt 10.000 hofteproteser i Norge.

Sist oppdatert:
14. mai 2024
Innhold i artikkelen
Hofteleddsartrose betyr slitasjeforandringer i hofteleddet, vanligvis forårsaket av høy alder. Leger bruker av og til betegnelsen coxartrose. Sykehistorie og funn ved legeundersøkelsen vil gi sterk mistanke om diagnosen, og den bekreftes ved en røntgenundersøkelse.
Hva er hofteleddsartrose?
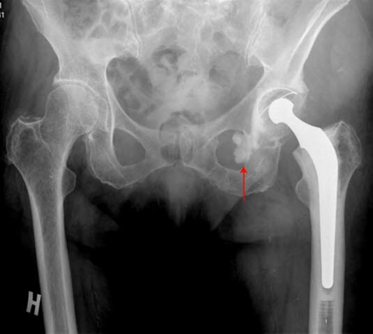
Betydelig mer artroseforandringer i venstre hofteledd.Hofteleddet består av hofteskåla, som er en del av bekkenbeinet, og lårbeinets hoftekule. Både hofteskålen og hoftekulen er "kledd" med glatt brusk som sikrer at bevegelser foregår med minst mulig motstand.
Hofteleddet er det leddet i kroppen hvor artrose forekommer hyppigst. Hos eldre ser man ofte slitasjeforandringer på røntgen, men bare en liten andel av disse pasientene har symptomer. Så artrose påvist på røntgen, er ikke ensbetydende med store plager. 90 prosent av pasientene over 65 år som klager over hoftesmerter, har artrose i hofteleddet. I 2019 ble det satt inn over 9879 hofteproteser i Norge, og det ble utført 101 reoperasjoner og 1384 revisjoner.
Animasjon av artrose i hoften
Årsaker

Det skilles mellom primær (aldersbetinget) og sekundær hofteleddsslitasje. Følgende tilstander øker sjansen for å få sekundær artrose i hofta: Overvekt, tidligere brudd av hoftebenet eller lårbeinet, medfødte misdannelser i hoften, betennelse i hofteleddet - f.eks. leddgikt eller Bekhterevs sykdom eller gjennomgått Calvé-Legg-Perthes sykdom, samt noen sjeldnere sykdommer. Yrker som krever langvarig ståing, løfting eller flytting av tunge gjenstander disponerer for hofteslitasje. Det samme gjelder idrettsutøvere som konkurrerer i vektbærende idretter - mest utsatt er løpere på elitenivå. Artrose er en tilstand som ødelegger og bryter ned leddet. I starten er det leddbrusken som ødelegges. Den glatte overflaten som er mellom hofteskåla og lårbeinets hoftekule, blir etter hvert ujevn. Ved gange oppstår "gnisninger" i leddet, noe som gir smerter. Etter hvert vil det bli forkalkninger, bevegeligheten mellom hofteskåla og leddhodet blir dårligere, og leddet blir stivere.
Symptomer
Det utvikles gradvis smerter i lysken og fortil og på siden av låret. Smertene stråler gjerne ned mot kneet. Smertene kommer ofte i starten når man skal begynne å gå. De blir mindre intense etter at du har gått noen sekunder eller minutter, men de blir så verre igjen etter en tids gåing. Mye belastning på bena øker plagene. Etter hvert utvikles det smerter i hvile og om natten. Ved nattsmerter er tilstanden kommet langt. Gangdistansen blir kortere, pasienten halter og må bruke stokk til avlastning.
Diagnostikk

Startsmerter ved gange som blir bedre, for så å forverres ved fortsatt gange, er svært typisk for diagnosen. Ved undersøkelse av hoften finner legen at bevegeligheten er nedsatt, særlig ved rotasjon innover og utover. Blodprøver har ingen betydning for å stille diagnosen. Røntgenbilder av hoften viser karakteristiske forandringer og bekrefter diagnosen.
Behandling
Hensikten med behandlingen er å lindre smerter og andre plager samt å bevare eller bedre funksjonen i hofta.
Hva kan du gjøre selv?
Om mulig bør du gå ned i vekt dersom du er overvektig. Dette kan være spesielt viktig i forkant av en operasjon der man skal sette inn en kunstig hofte. Unngå langvarig stående arbeid, tunge løft og bæring. Når du skal sove, er det er en fordel å ligge på magen eller på siden med pute mellom bena, for å unngå skrumpning i muskulaturen rundt hofteleddet og dermed økt stivhet. Fysisk aktivitet i form av sykling og svømming er bra. Bruk av krykke/stokk på motsatt side av den smertefulle hoften, kan være nyttig for mange. Trening under instruksjon og veiledning av fysioterapeut vil for de fleste være nyttig.
Her finner du tøyningsøvelser som kan være nyttige.
Medisiner
Medisiner er kun symptomlindrende og påvirker ikke sykdomsforløpet. Reseptfrie smertestillende midler (paracetamol) er førstevalget, men de har ofte beskjeden effekt. Noen betennelsesdempende medisiner (NSAIDs) på resept kan gi smertelindring, men de kan også medføre plagsomme og noen ganger alvorlige bivirkninger fra magen (blødende magesår). Denne medisingruppen bør heller ikke brukes ved alvorlig hjerte- eller nyresykdom. Bruker du slike medisiner og får mageplager, bør du kontakte legen din. Du kan eventuelt bruke magesårbeskyttende medisin i tillegg til giktmedisinen om nødvendig. Ved sterke nattsmerter som fører til søvnløshet, kan kodein (som f.eks. finnes i Paralgin Forte) vurderes.
Kirurgi

Standardbehandlingen ved invalidiserende artrose hos dem over 50 år er innsetting av hofteprotese, kunstig hofteledd. Det er vanlig å skifte ut både leddhodet (på lårbeinet) og hofteskåla (i hoftebeinet) - det innsettes en såkalt total hofteprotese.
En hofteprotese består som regel av fire komponenter; hode, stamme, kopp og foring. Hodet på en hofteprotese er den delen som forbinder protesens stamme med koppen og utgjør den ene delen av selve proteseleddet. Den andre delen utgjøres av koppen som er festet til bekkenbeinet. Stammen i en hofteprotese er den delen som festes i lårbenet. Når man setter inn en hofteprotese, sager man av lårhalsen for å fjerne lårbenshodet, og man får tilgang til lårbenets marg. Protesestammen settes ned i dette hulrommet, og den kan enten festes til lårbenet ved hjelp av bensement, eller ved såkalt usementert teknikk.
Det foreligger ingen kunnskap som med sikkerhet kan si når det beste tidspunktet for operasjon er. Muligens er effekten bedre ved tidligere operasjon enn det som har vært vanlig.
Bedre materialer og bedre design av protesene har ført til økt bevegelighet, forsterket stabilitet og nedsatt slitasje. Minimal invasiv kirurgisk teknikk begrenser bløtvevsskadene, forkorter sykehusoppholdet og rekonvalesenstiden. Datamaskin-assistert kirurgi vil sannsynligvis ytterligere forbedre resultatene i fremtiden.
Resultatene ved protesekirurgi i hoften er gode. Over 90 prosent av de kunstige hofteleddene fungerer godt etter 10 år og cirka 80 prosent av pasientene er fornøyde. Etter 20 år fungerer fortsatt 70 prosent av hofteprotesene. Forbedret operasjonsteknikk gjør at inngrepene i dag er mindre ødeleggende enn før, det er færre komplikasjoner, man kommer seg raskere på bena etter inngrepet og sykehusoppholdene er kortere. Risikoen for reoperasjon på grunn av problemer med protesen ble i to studier funnet å være ca. 1 prosent per år.
Etter operasjonen bør du følge et rehabiliteringsprogram. Varigheten av dette avhenger av dine behov, men ofte kan slik opptrening pågå i flere måneder etter operasjonen. Gjenopptreningen bedrer hoftefunksjonen. Tiden det tar før du oppnår maksimal reduksjon av smerter og bedring i funksjon etter innsetting av totalprotese, kan være opptil 12 måneder.
Animasjon av innsetting av kunstig hofteledd
Fysioterapi
Fysioterapi er viktig både før operasjonen og etter inngrepet. Det er som regel en fysioterapeut som leder rehabiliteringen.
Prognose
Det skjer vanligvis en gradvis forverring av tilstanden, men mange klarer seg likevel bra med medisiner og behøver ikke operasjon. Resultatet av proteseoperasjon er vanligvis meget godt. Hos noen kan det oppstå muskelsvinn og funksjonstap i hoften. En sjelden gang kan protesen løsne.
Vil du vite mer
Vil du vite mer - Quiz
Dette dokumentet er basert på det profesjonelle dokumentet Hofteleddsartrose . Referanselisten for dette dokumentet vises nedenfor
- Dieppe PA, Lohmander LS. Pathogenesis and management of pain in osteoarthritis. Lancet 2005; 365: 965-73. PubMed
- Lane NE. Osteoarthritis of the hip. N Engl J Med 2007; 357: 1413-21. PubMed
- Lozada CJ. Osteoarthritis. Medscape, last updated Mar 27, 2015. emedicine.medscape.com
- Pereira D, Peleteiro B, Araújo J, Branco J, Santos RA, Ramos E. The effect of osteoarthritis definition on prevalence and incidence estimates: a systematic review. Osteoarthritis Cartilage. 2011 Nov. 19(11):1270-85.
- Nasjonalt Register for Leddproteser: Årsrapport juni 2020. nrlweb.ihelse.net
- Nasjonal faglig retningslinje for bildediagnostikk ved ikke-traumatiske muskel- og skjelettlidelser. Anbefalinger for primærhelsetjenesten. Oslo, Helsedirektoratet 2014 www.helsebiblioteket.no
- Zhang W, Doherty M, Arden N, et al. EULAR evidence based recommendations for the management of hip osteoarthritis: report of a task force of the EULAR Standing Committee for International Clinical Studies Including Therapeutics (ESCISIT). Ann Rheum Dis 2005; 64: 669-81. PubMed
- Perrot S, Poiraudeau S, Kabir M, Bertin P, Sichere P, Serrie A, et al. Active or passive pain coping strategies in hip and knee osteoarthritis? Results of a national survey of 4,719 patients in a primary care setting. Arthritis Rheum. 2008 Nov 15. 59(11):1555-62.
- Alkatan M, Baker JR, Machin DR, et al. Improved Function and Reduced Pain after Swimming and Cycling Training in Patients with Osteoarthritis. J Rheumatol 2016; 43: 666-72. doi:10.3899/jrheum.151110 DOI
- Hinman RS, Heywood SE, Day AR. Aquatic physical therapy for hip and knee osteoarthritis: results of a single-blinded randomized controlled trial. Phys Ther 2007; 87: 32-43. PubMed
- Uthman OA, van der Windt DA, Jordan JL, et al. Exercise for lower limb osteoarthritis: systematic review incorporating trial sequential and network meta-analysis. BMJ 2013; 347: f5555. BMJ (DOI)
- Svege I, Nordsletten L, Fernandes L, et al. Exercise therapy may postpone total hip replacement surgery in patients with hip osteoarthritis: a long-term follow-up of a randomised trial. Ann Rheum Dis 2013 Nov 20.
- da Costa BR, Reichenbach S, Keller N, et al. Effectiveness of non-steroidal anti-inflammatory drugs for the treatment of pain in knee and hip osteoarthritis: a network meta-analysis. Lancet 2016. PMID: 26997557 PubMed
- Yang W, Sun C, He SQ, et al. The Efficacy and Safety of Disease-Modifying Osteoarthritis Drugs for Knee and Hip Osteoarthritis-a Systematic Review and Network Meta-Analysis. J Gen Intern Med. 2021. PMID: 33846938 PubMed
- Towheed T, Maxwell L, Judd M, Catton M, Hochberg MC, Wells GA. Acetaminophen for osteoarthritis. Cochrane Database of Systematic Reviews 2006, Issue 1. Art. No.: CD004257. DOI: 10.1002/14651858.CD004257.pub2. DOI
- Bresalier RS, Sandler RS, Quan H, et al. Cardiovascular events associated with rofecoxib in a colorectal adenoma chemoprevention trial. N Engl J Med 2005; 352: 1092-1102. New England Journal of Medicine
- Machado GC, Maher CG, Ferreira PH, et al. Efficacy and safety of paracetamol for spinal pain and osteoarthritis: systematic review and meta-analysis of randomised placebo controlled trials. BMJ 2015; 350: h1225. doi:10.1136/bmj.h1225 DOI
- Cepeda MS, Camargo F, Zea C, Valencia L. Tramadol for osteoarthritis: a systematic review and metaanalysis. J Rheumatol. 2007; 34: 543-55. PubMed
- Toupin April K, Bisaillon J, Welch V, et al. Tramadol for osteoarthritis. Cochrane Database of Systematic Reviews 2019, Issue 5. Art. No.: CD005522. DOI: 10.1002/14651858.CD005522.pub3 DOI
- Wandel S, Jüni P, Tendal B, et al. Effects of glucosamine, chondroitin, or placebo in patients with osteoarthritis of hip or knee: network meta-analysis. BMJ 2010; 341: c4675. PubMed
- Schnitzer TJ, Easton R, Pang S, et al. Effect of Tanezumab on Joint Pain, Physical Function, and Patient Global Assessment of Osteoarthritis Among Patients With Osteoarthritis of the Hip or Knee: A Randomized Clinical Trial. JAMA. 2019; 322:37-48. PMID: 31265100 PubMed
- Tak E, Staats P, Van Hespen A, Hopman-Rock M. The effects of an exercise program for older adults with osteoarthritis of the hip. J Rheumatol 2005; 32: 1106-13. PubMed
- Hurley M, Dickson K, Hallett R et al. Exercise interventions and patient beliefs for people with hip, knee or hip and knee osteoarthritis: a mixed methods review. Cochrane Database of Systematic Reviews 2018, Issue 4. Art. No.: CD010842. DOI: 10.1002/14651858.CD010842.pub2 DOI
- Bennell KL, Egerton T, Martin J, et al. Effect of physical therapy on pain and function in patients with hip osteoarthritis: a randomized clinical trial. JAMA. 2014; 311 :1987-97. doi: 10.1001/jama.2014.4591 DOI
- Witt CM, Jena S, Brinkhaus B, Liecker B, Wegscheider K, Willich SN. Acupuncture in patients with osteoarthritis of the knee or hip: a randomized, controlled trial with an additional nonrandomized arm. Arthritis Rheum 2006; 54: 3485-93. PubMed
- Learmonth ID, Young C, Rorabeck C. The operation of the century: total hip replacement. Lancet 2007; 370: 1508-19. PubMed
- Lauvrak V, Jeppesen E, Norderhaug IN. Infeksjonsforebyggende tiltak ved operasjoner med innsetting av totalprotese i hofte. Rapport fra Kunnskapssenteret nr 14 - 2011.
- Jones DL, Westby MD, Greidanus N, et al. Update on hip and knee arthroplasty: current state of evidence. Arthritis Rheum 2005; 53: 772-80. PubMed
- Xu K, Chan NC, Ibrahim Q, et al. Reduction in Mortality following Elective Major Hip and Knee Surgery: A Systematic Review and Meta-Analysis. Thromb Haemost. 2019;119(4):668-674. PubMed
- Berbari E, Baddour L. Prevention of prosthetic joint and other types of orthopedic hardware infection. UpToDate, last updated Dec 01, 2020. UpToDate
- Katz JN, Wright EA, Wright J, et al. Twelve-year risk of revision after primary total hip replacement in the U.S. Medicare population. J Bone Joint Surg Am 2012; 94:1825. PubMed
- Evans JT, Evans JP, Walker RW, et al. How long does a hip replacement last? A systematic review and meta-analysis of case series and national registry reports with more than 15 years of follow-up. Lancet 2019; 393: 647-654. pmid:30782340 PubMed