Ankelbrudd
Den vanligste skademekanismen er inversjon, det vil si en kombinert bevegelse hvor en lander etter løp eller hopp med foten nedoverbøyd og hvor foten vris innover (supineres og innadroteres).

Sist oppdatert:
3. mai 2019
Innhold i artikkelen
Ankelen
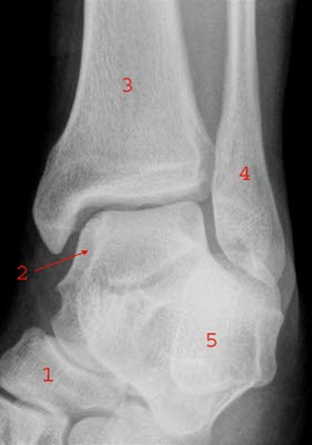
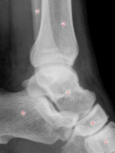
Ankelleddene er meget utsatte for skader fordi de er ganske bevegelige og belastes med hele kroppens tyngde. Leddet utgjøres av fire ben: skinnbeinet (tibia), leggbeinet (fibula), hælbeinet (calcaneus) og ankelbeinet (talus). Ankelleddet stabiliseres av ankelgaffelens form og leddbånd på innsiden (medialt), utsiden (lateralt) og mellom de to leggbeina (syndesmosen - et bånd som binder sammen de to beina). Se illustrasjon av ankelleddet nedenfor sett bakfra og fra siden, og røntgenbilde tatt skrått bakfra og fra siden.




Hovedbevegelsen i ankelleddet er bøyning oppover og strekking nedover i den delen av leddet som utgjøres av tibia og talus. Vridningsbevegelser utover (pronasjon) og innover (supinasjon) foregår mellom talus og calcaneus (subtalare ledd).
Ankelbrudd utgjør ca. 15% av alle ankelskader. Brudd i ankelkulene (malleolene) utgjør 30% av alle ankelbrudd, hyppigst opptrer brudd i ankelkulen på utsiden. Ankelbrudd er vanligst blant yngre og eldre personer.
Skadetyper
Det skilles mellom tre hovedtyper - A, B og C. Vurderingen tar utgangspunkt i nivået for bruddet på fibula. Jo høyere oppe på leggen fibulabruddet er, jo større sjanse for syndesmoseskade og ustabilt ankelledd.
Type A brudd er brudd i fibula nedenfor syndesmosen. Ved denne typen brudd er båndet (syndesmosen) mellom tibia og fibula sjelden revet opp. Skademekanismen er oftest at man har vridd foten innover (supinasjon eller inversjon). Skaden kan være et isolert brudd i fibula, eller samtidig brudd i nedre deler av tibia.
Type B brudd er brudd i fibula i nivå med syndesmosen. De fremre syndesmosebåndene er skadet i 50% av tilfellene. Skademekanismen er oftest utadrotasjon av foten. Skaden kan være isolert brudd av fibula i syndesmosenivå, eller tillegg av brudd i nedre deler av tibia og/eller avrivning av leddbånd på innsiden av ankelen.
Type C brudd er brudd av fibula ovenfor syndesmosen. Skademekanisme kan være utover-vridning (pronasjon, eversjon) av foten eller direkte slag mot beinet. Syndesmosen er alltid røket dersom mekanismen er pronasjon av foten. Skaden kan være et isolert skaftbrudd av fibula ovenfor synesmosen, eller et komplisert brudd av fibula overfor syndesmosen, eller et brudd høyt oppe på fibula.
Skademekanisme
Den vanligste skademekanismen, som forårsaker omkring 85% av alle ankelskader, er inversjon, dvs. en kombinert bevegelse hvor en lander etter løp eller hopp med foten nedoverbøyd og hvor foten supineres og innadroteres. Den motsatte bevegelsen, eversjon, består i samtidig pronasjon, utadrotasjon og oppoverbøyd fot.
Ankelen er mye mer stabil og motstandsdyktig mot eversjonsskader enn inversjonsskader. Dog kan det ved en eversjonsskade oppstå betydelig skade på ben og leddbånd.
Diagnosen
Ofte dreier det seg om en vridningsskade. For legen kan det være nyttig å få beskrevet nøyaktig hvordan skaden skjedde og fotens posisjon. Etter skaden oppstår raskt smerter, hevelse og nedsatt funksjon.
Tegn på brudd er feilstilling, hevelse, trykkømhet over bein, hudblødning og at pasienten ikke klarer å trå på foten. Legen prøver å vurdere bevegeligheten i ankelleddet, men dette kan være vanskelig å gjennomføre på grunn av smerter. Legen må også vurdere kneledd og fot, og det må kontrolleres at det ikke foreligger tegn til skader på nerver eller blodårer.
Ved mistanke om brudd tas røntgenbilder av ankelen i ulike retninger. Det er viktig å ta bilde av fibula i hele sin lengde. Ofte foreligger flere brudd eller skader. Noen ganger er det nødvendig å ta CT for å klargjøre omfanget av brudd, særlig ved brudd i selve leddet.
Behandling
Målet med behandlingen er å oppnå tilheling av skaden slik at normal funksjon gjenvinnes. Det er viktig at behandlingen starter så tidlig som mulig (jfr. førstehjelp), både for å forebygge komplikasjoner og for å sikre rask reparasjon. Behandling av ankelbrudd kan være komplisert og kreve operasjon, men skaden kan også ofte behandles konservativt.
Førstehjelp
Nedkjøling, hevet fot, kompresjon og ro er viktige umiddelbare tiltak. Det gis smertestillende middel, og man kontrollerer at det ikke er skade på nerver og sirkulasjon. Bruddet stabiliseres og man forsøker å immobilisere ankelen i en så nøytral posisjon som mulig. Eventuelt åpent brudd dekkes med steril bandasje.
Konservativ behandling
Brudd av en eller begge ankelkulene (malleolene) med fibulabrudd under syndesmosenivå, der syndesmosen er stabil og bruddet/bruddene står i god stilling, behandles konservativt. Brudd høyt oppe på fibula, ovenfor syndesmosen, kan også behandles konservativt dersom det skyldes en direkte skade mot beinet i dette nivået, at syndesmosen er stabil og det ellers ikke foreligger større forskyvninger.
Stabilt, ikke-forskjøvet brudd i én malleol, immobiliseres med støvelgips fra kne til tær, 90° i ankelen, i 6 uker. Fibulabrudd nedenfor syndesmosen og isolert brudd av mediale malleol som skyldes direkte skade, kan belastes etter 1 uke. Fibulabrudd i syndesmosenivå kan belastes etter 4-6 uker. Kontroll utføres med røntgen etter 1 uke og 6 uker etter skaden. Gipsen fjernes og du kan starte forsiktig med øvelser, etter hvert med økende belastning.
Stabilt, ikke-forskjøvet bimalleolært brudd, behandles konservativt og immobiliseres med støvelgips fra kne til tær, 90° i ankelen, i 6 uker. Pasienten kan vanligvis belaste foten etter 4-6 uker. Kontroll med røntgen gjøres vanligvis 1 uke og 6 uker etter skaden. Gipsen fjernes og du kan starte forsiktig med øvelser, etter hvert med økende belastning.
Isolert fibulabrudd overfor syndesmosen etter direkte slag kan kun behandles konservativt dersom man er helt sikker på at det har vært direkte traume. Det må ikke være forskyvninger i leddet. Støvelgips brukes i 6 uker, og den skadde kan belaste etter 1 uke. Vanligvis er det kontroll med røntgen 1 uke og 6 uker etter skaden. Etter fjerning av gips er det gradvis opptrening.
Operativ behandling

Fibulabrudd med større forskyvninger (se røntgenbilde), brudd i begge ankelkulene (bimalleolære brudd) der minst en av dem er forskjøvet, revner i syndesmosen, høye fibulabrudd (hvis det ikke skyldes direkte slag) - er alle bruddtyper som krever operasjon.
Om mulig forsøker man å operere innen 6-8 timer. Dersom det har gått for lang tid og hevelsen er for stor, settes bruddet på plass og man anlegger en gipsstøtte. Operasjonen utsettes da til hevelsen har gått ned, som regel etter 4-6 dager. Brudd i den utvendige (laterale) malleolen festes med skrue eller støtteplate. Brudd i den innvendige (mediale) malleolen festes med skrue(r), pinner eller ståltråd (cerclage). Avrevet syndesmose festes med skrue som settes fra fibula inn i tibia.
Etter operasjon behandles med gips og opptrening som ved konservativ behandling. Det er usikkert om aktiv trening i immobiliseringsperioden har noen gevinst.
Komplikasjoner
Ved brudd med store forskyvninger er det fare for skade på huden (nekrose). Dersom bruddet er åpent, er det stor risiko for infeksjon. Kraftig hevelse og høyt innvendig trykk kan hindre blodtilførselen og skade muskler og sener (kompartmentsyndrom). Dårlig tilheling av brudd kan gi en ustabil ankel, kroniske smerter og stivhet. Artrose kan oppstå ved 20-40% av alle ankelbrudd.
Prognose
Prognosen er god forutsatt korrekt skade-diagnose og korrekt behandling. Kompliserte åpne brudd med betydelige bløtdelsskader har dårligere prognose. Isolerte, ikke-forskjøvne laterale malleolbrudd, som er det vanligste ankelbruddet, har god prognose og tilheler utmerket. Intens opptrening reduserer senere plager.
Vil du vite mer
Dette dokumentet er basert på det profesjonelle dokumentet Ankelbrudd . Referanselisten for dette dokumentet vises nedenfor
- Iskyan K. Ankle fracture. Medscape, last updated Oct 26, 2016. emedicine.medscape.com
- Bachmann LM, Kolb E, Koller MT, Steurer J, ter Riet G. Accuracy of Ottawa ankle rules to exclude fractures of the ankle and mid-foot: systematic review. BMJ 2003; 326: 417-24. British Medical Journal
- Lønne G, Nerhus TK. Metodebok i Skadebehandling, 4. utg. Legeforlaget AS, Norge, 2006.
- Kortekangas T, Haapasalo H, Flinnkilä T, et al. Three week versus six week immobilisation for stable Weber B type ankle fractures: randomised, multicentre, non-inferiority clinical trial. BMJ 2019; 364: k5432 BMJ (DOI)
- Smeeing DP, Houwert RM, Briet JP, Kelder JC, Segers MJ, Verleisdonk EJ, Leenen LP, Hietbrink F, Weight-bearing and mobilization in the postoperative care of ankle fractures: a systematic review and meta-analysis of randomized controlled trials and cohort studies. PLoS One 2015;10(2): e0118320. PMID: 25695796. PubMed
- Moseley A, Beckenkamp PR, Haas M, et al. Rehabilitation after immobilization for ankle fracture. The EXACT randomized clinical trial. JAMA 2015; 314: 1376-85. doi:10.1001/jama.2015.12180 DOI
- Lin CW, Donkers NA, Refshauge KM, et al. Rehabilitation for ankle fractures in adults. Cochrane Database Syst Rev 2012 Nov 14; 11: CD005595. Cochrane (DOI)