Bilde
Ankelfraktur, ustabil
Sist oppdatert:
2. juni 2015

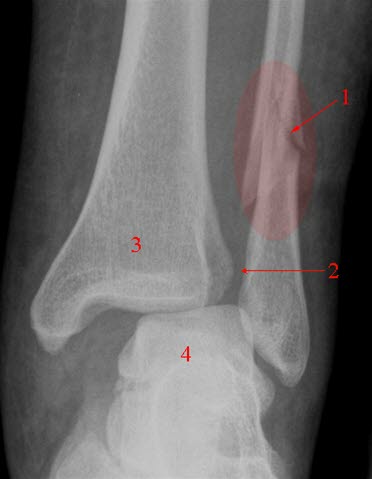
Brudd (1) gjennom distale fibula med ruptur av syndesmosen (2). Betydelig sprik i ankelgaffelen
- Brudd
- Syndesmose
- Tibia (skinnebenet)
- Talus
Sist oppdatert:
2. juni 2015

Brudd (1) gjennom distale fibula med ruptur av syndesmosen (2). Betydelig sprik i ankelgaffelen