Røntgen av skjelettskader
Beinbrudd påvises eller mistenkes når man på røntgen finner tydelige eller mindre tydelige bruddlinjer. Noen ganger kan det ses som en innpressing eller utbuling av beinet.

Sist oppdatert:
18. juli 2019
Om skjelett og beinvev
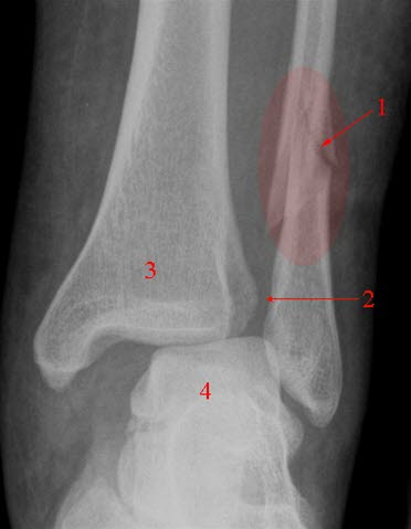
Brudd i ankelen (1)Røntgen av skjelett innebærer undersøkelse av bestemte bein, grupper av bein eller av ledd. Kroppens beinvev har følgende funksjoner:
- Er kroppens reisverk og muliggjør bevegelser
- Beskytter underliggende vev og organer
- Inneholder beinmarg som danner blodceller
- Fungerer som et lager for kalsium (kalk)
Beinvev framstilles tydelig på røntgenbilder. Bløtvevet rundt beinvevet framstilles som skygger, mens hevelser og forkalkninger kan ses på røntgen. Brusk, leddbånd og sener lar seg ikke direkte fremstilles på røntgen.
Normalt finner man på røntgen at beinvevet er helt, uten brudd og med normalt bløtvev.
Beinbrudd og bein ut av ledd
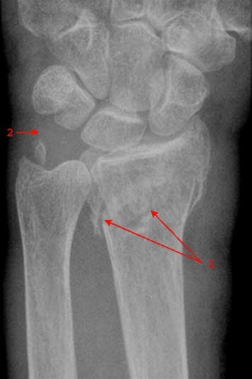
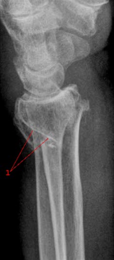
Beinbrudd påvises eller mistenkes når man på røntgen finner tydelige eller mindre tydelige bruddlinjer. Noen ganger kan det ses som en innpressing eller utbuling av beinet. Mistanken kan også vekkes når man finner tydelig hevelse i bløtvevet rundt beinet. Noen brudd kan være vanskelig å oppdage når skaden er fersk, men de vises tydeligere når tilhelingen er startet (etter noen uker).
Dersom leddflatene i et ledd ikke står normalt imot hverandre, kan det skyldes at leddet er "ute av ledd".
Når tar man røntgen?
Røntgen tas alltid når det foreligger mistanke om beinbrudd eller at et ledd er kommet ut av stilling. Noen ganger oppstår et beinbrudd fordi beinet var svakt på forhånd. Det skjer ved beinskjørhet, beincyster og ved kreftspredning til beinet.
Pasientforberedelser

Ofte står et brudd skjevt slik at beinpipene står skjevt i forhold til hverandre (se figur), ja, noen ganger kan de ha glidd forbi hverandre. Da må legen dra bruddendene fra hverandre før de presses på plass (reponeres). Legen er avhengig av å sammenligne bilder før og etter reposisjonen for å forsikre seg om at bruddet vil kunne gro riktig i den posisjonen det står. I oppfølgingen av et beinbrudd blir det også tatt bilder for å kontrollere at bruddet gror og at det ikke oppstår komplikasjoner av noe slag.
Det kreves ingen forberedelser til undersøkelsen. Du må noen ganger plasseres i stillinger som kan gi ubehag. Metallgjenstander må om mulig fjernes før undersøkelsen. Du må ligge eller sitte i ro når bildene blir tatt.
Undersøkelsen
Det er som regel ønskelig at det blir tatt to røntgenbilder fra ulike retninger, vanligvis i rett vinkel på hverandre (se bilde forfra og fra siden). Er bildene tvetydige, eller det er et misforhold mellom det man finner ved legeundersøkelsen og røntgenfunnene, vurderes det å ta flere bilder også i andre retninger. Av og til tar man bilde av den andre siden for å kunne sammenligne.


Ved visse typer skader er det ønskelig å ta såkalte funksjonsbilder, det vil si bilder tatt med leddet i bestemte posisjoner. Slike bilder tas vanligvis ikke i den akutte fasen da smertene vil hindre bevegelsene. Visse typer ankelskader krever f.eks. at man må presse litt på ankelleddet for å få frem forandringer. Nakken må noen ganger avbildes både i fremoverbøyd og bakoverbøyd stilling.
I noen tilfeller kan det være aktuelt å gjøre scintigrafi eller CT. MR er mest nyttig i vurderingen av skader på muskler, sener og leddbånd.
Se animasjon om røntgen
Vil du vite mer
Dette dokumentet er basert på det profesjonelle dokumentet Røntgen av skjelettskader . Referanselisten for dette dokumentet vises nedenfor
- Johns Hopkins Medicine. X-rays of extremities. Accessed July 4, 2014.