Lungebetennelse
Lungebetennelse er en betennelse i lungevevet som følge av en infeksjon med bakterier eller virus. Sykdommen er ganske vanlig og rammer oftest de yngste og de eldste aldersgruppene.

Sist oppdatert:
28. mars 2019
Hva er lungebetennelse?
Lunger og bronkierLungebetennelse, pneumoni på fagspråket, er en betennelse i lungevevet som følge av en infeksjon med bakterier eller virus. Lungevevet vil si lungeblærene (alveolene), der den livsviktige transporten av oksygen fra luft til blod foregår. Når lungevevet blir betent, kan det bli tyngre å puste. Jo mer omfattende lungebetennelsen er, jo tyngre blir det å puste.
Lungebetennelse er en ganske vanlig sykdom, og omtrent 5 av 1.000 innbyggere får lungebetennelse i løpet av ett år. Det er særlig de aller yngste og de eldste aldersgruppene som rammes. Sykdommen oppstår hyppigst om vinteren.
Symptomer
De fleste pasienter med lungebetennelse er moderat syke. Lungebetennelse oppstår gjerne etter en øvre luftveisinfeksjon (forkjølelse). Du får plagsom hoste og blir etter hvert moderat tungpusten. Vedvarende feber etter en ukes sykdom er vanlig, men ved noen former for lungebetennelse har man feber bare om kvelden. Brystsmerter forekommer hos noen. Brystsmerter ved lungebetennelse forverrer seg ofte i spesielle stillinger/posisjoner eller når du hoster eller puster dypt.
Bemerk at selv om hoste er et sentralt symptom, og ofte fører pasienten til lege, er det bare noen få av de som går til legen på grunn av hoste, som har lungebetennelse.
Ved alvorlig lungebetennelse, særlig hos eldre mennesker og hos personer som er svekket av annen sykdom, er tilstanden preget av høy feber, dårlig allmenntilstand og tung pust. Sterke brystsmerter og hoste med farget eller blodig oppspytt, er vanlige symptomer ved lungebetennelse avgrenset til en lungelapp (såkalt lobær pneumoni).
Animasjon av lungebetennelse
Årsaker
En rekke ulike bakterier, virus og andre mikroorganismer kan infisere lungevevet og skape en betennelse. Som regel blir det ikke avdekket hvilken mikroorganisme som forårsaker lungebetennelsen. Smitte skjer vanligvis via dråper, ved hoste eller nysing fra syk person. Mikrobene vil oftest også føre til betennelse i luftrørene, det vil si bronkiene. Det foreligger da såkalt bronkopneumoni, eller bronkitt-lungebetennelse.
Flere ting kan gjøre deg spesielt utsatt for å utvikle lungebetennelse:
- Røyking
- Akutt luftveisinfeksjon eller bronkitt på grunn av virus
- Svekket hosterefleks som følge av høyt alkoholforbruk, hjertesykdom, hjerneslag eller høy alder
- Redusert immunforsvar eller nedsatt allmenntilstand
- KOLS
Lungebetennelse kan også utvikle seg hos ellers friske personer. De fleste alvorlige lungebetennelser er forårsaket av bakteriegruppen pneumokokker. Pneumokokkvaksinen som inngår som en del av barnevaksinasjonsprogrammet, beskytter sannsynligvis mot alvorlig lungebetennelse.
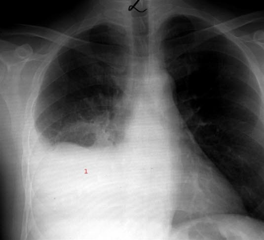
Diagnosen
Lungebetennelse i nedre del av høyre lungeTypisk sykehistorie og funn ved legeundersøkelsen er noen ganger nok til at legen blir sikker på diagnosen. Blodprøver som høy CRP, høy senkning eller økt antall hvite blodlegemer styrker mistanken om lungebetennelse. Sikkert bevis for at det foreligger lungebetennelse, får man fra et røntgenbilde eller ultralydundersøkelse av lungene.
I mange tilfeller velger allmennlegen å tolke symptomene dine og funnene ved lungeundersøkelsen som tilstrekkelig bevis for at det foreligger lungebetennelse (diagnosen stilles "klinisk"). Det er enklere å starte med antibiotika mens du ligger i senga hjemme, enn å sende deg til strabasiøse undersøkelser på legekontoret og sykehuset. Imidlertid viser forskning at det alltid vil være knyttet usikkerhet til en diagnose stilt på denne måten, og i en del tilfeller ønskes derfor røntgenbilde eller ultralydundersøkelse av lungene for å bekrefte eller avkrefte diagnosen.
Behandling
De fleste pasienter med lungebetennelse kan behandles hjemme. Det er viktig at du selv sørger for at kroppen får ro og hvile for å påskynde tilhelingen. Hold deg god og varm, og drikk rikelig. Ved bakterieinfeksjoner blir sykdommen behandlet med antibiotika - vanligvis i ca. 10 dager, mens det ved lungebetennelse forårsaket av virus ikke brukes medisiner. I alvorlige tilfeller kan det bli aktuelt å legge deg inn på sykehus. På sykehus kan det bli aktuelt å kombinere antibiotika med kortikosteroider, noe som effektiviserer behandlingen.
Prognose
Det er stor variasjon i alvorlighetsgraden avhengig av hvilken mikroorganisme som forårsaker infeksjonen, samt alder og allmenntilstand til den syke. Hos eldre og hos personer med svekket immunforsvar, er lungebetennelse en alvorlig sykdom som ofte krever innleggelse på sykehus. For de fleste vil en antibiotikakur være tilstrekkelig til at sykdommen går over i løpet av 1-3 uker.
Eldre og personer som er særlig utsatt for risiko ved pneumokokksykdom, tilbys vaksine for å beskytte mot denne infeksjonen. Beskyttelsen mot lungebetennelse imidlertid usikker.
En studie viste at blant pasienter som hadde en moderat lungebetennelse og ble behandlet med antibiotika, forsvant feberen i gjennomsnitt etter 3 dager, muskelsmertene opphørte etter 5 dager, tungpustheten var over etter 6 dager og etter 14 dager var hosten og slappheten borte. Blant pasienter behandlet for alvorlig lungebetennelse, hadde ca. 90% fortsatt minst ett lungebetennelse-symptom etter 30 dager.
Lungesvikt og blodforgiftning (sepsis) er sjeldne, men meget alvorlige komplikasjoner.
Quiz
Har du fått med deg det viktigste i dette dokumentet? Da utfordrer vi deg til å ta vår quiz om lungebetennelse!
Dette dokumentet er basert på det profesjonelle dokumentet Lungebetennelse . Referanselisten for dette dokumentet vises nedenfor
- File Jr TM. Community-acquired pneumonia. Lancet 2003; 362: 1991-2001. PubMed
- Kaysin A, Viera AJ. Community acquired pneumonia in adults: diagnosis and management. Am Fam Physician. 2016 Nov 1;94(9):698-706.
- Smittevernveilederen. Pneumokokkinfeksjon - veileder for helsepersonell. Folkehelseinstituttet, sist oppdatert 04.06.2018. fhi.no
- Griffin MR, et al. U.S. hospitalizations for pneumonia after a decade of pneumococcal vaccination. N Engl J Med 2013; 369: 155. New England Journal of Medicine
- Gadsby NJ, Russell CD, McHugh MP, et al. Comprehensive molecular testing for respiratory pathogens in community-acquired pneumonia. Clin Infect Dis. 2016;62(7):817–823.
- Melbye H, Kulosman D. Pneumoni. Lindbæk M (red). Nasjonale faglige retningslinjer for antibiotikabruk i primærhelsetjenesten. Oslo: Antibiotikasenteret for primærhelsetjenesten og Helsedirektoratet, sist oppdatert 08.11.2016. Siden lest 02.04.2020.
- Paul KJ, Walker RL, Dublin S. Anticholinergic Medications and Risk of Community-Acquired Pneumonia in Elderly Adults: A Population-Based Case–Control Study. J Am Geriatr Soc 2015; 63: 476-85. doi:10.1111/jgs.13327 DOI
- Hopstaken RM, Muris JW, Knottnerus JA, Kester AD, Rinkens PE, Dinant GJ. Contributions of symptoms, signs, erythrocyte sedimentation rate, and C-reactive protein to a diagnosis of pneumonia in acute lower respiratory tract infection. Br J Gen Pract 2003; 53: 358-64. PubMed
- Jackson ML, Nelson JC, Jackson LA. Risk factors for community-acquired pneumonia in immunocompetent seniors. J Am Geriatr Soc. 2009;57(5):882–888.
- Palafox M, Guiscafré H, Reyes H, et al. Diagnostic value of tachypnoea in penumonia defined radiologically. Arch Dis Child 2000; 82:41-5. PubMed
- Htun TP, Sun Y, Chua HL, Pang J. Clinical features for diagnosis of pneumonia among adults in primary care setting: A systematic and meta-review. Sci Rep 2019; 9(1): 7600. pmid:31110214 PubMed
- Le Bel J, Hausfater P, Chenevier-Gobeaux C, et al. Diagnostic accuracy of C-reactive protein and procalcitonin in suspected community-acquired pneumonia adults visiting emergency department and having a systematic thoracic CT scan. Crit Care 2015; 19: 366. pmid:26472401 PubMed
- Nazerian P, Volpicelli G, Vanni S, et al. Accuracy of lung ultrasound for the diagnosis of consolidations when compared to chest computed tomography. 2015; 33: 620-5. doi:10.1016/j.ajem.2015.01.035 DOI
- Ye X, Xiao H, Chen B, Zhang S. Accuracy of lung ultrasonography versus chest radiography for the diagnosis of adult community-acquired pneumonia: review of the literature and meta-analysis. PLoS One. 2015;10(6):e0130066.
- Bauer TT, Ewig S, Marre R et al. CRB-65 predicts death from community-acquired pneumonia. J Intern Med 2006; 260: 93-101. pmid:16789984 PubMed
- Raknes G, Nilsen T. Tre spørsmål om antibiotika. Utposten 2017; 46(4): 62-3. relis.no
- Helsedirektoratet. Nasjonal faglig retningslinje for bruk av antibiotika i sykehus. Helsedirektoratet; 2018. Sist oppdatert 01.09.2020. Sitert 28.05.2021.
- Dinh A, Ropers J, Duran C et al.; Pneumonia Short Treatment (PTC) Study Group. Discontinuing β-lactam treatment after 3 days for patients with community-acquired pneumonia in non-critical care wards (PTC): a double-blind, randomised, placebo-controlled, non-inferiority trial. Lancet. 2021 Mar 27;397(10280):1195-1203. PMID: 33773631. PubMed
- Blum CA, Nigro N, Briel M, et al. Adjunct prednisone therapy for patients with community-acquired pneumonia: a multicentre, double-blind, randomised, placebo-controlled trial. Lancet 2015. doi:10.1016/S0140-6736(14)62447-8 DOI
- Wan YD, Sun TW, Liu ZQ, Zhang SG, Wang LX, Kan QC. Efficacy and safety of corticosteroids for community-acquired pneumonia: a systematic review and meta-analysis. Chest. 2016;149(1):209–219. PMID: 26501852. PubMed
- Stern A, Skalsky K, Avni T, et al. Corticosteroids for pneumonia. Cochrane Database Syst Rev. 2017 Dec 13;12:CD007720. doi: 10.1002/14651858.CD007720.pub3. (Review) PMID: 29236286 PubMed
- Metlay JP, Atlas SJ, Borowsky LH, Singer DE. Time course of symptom resolution in patients with community-acquired pneumonia. Resp Med 1998; 92: 1137-42. PubMed
- Fine MJ, Stone RA, Singer DE, et al. Processes and outcomes of care for patients with community-acquired pneumonia: results from the Pneumonia Patient Outcomes Research Team (PORT) cohort study. Arch Intern Med 1999; 159: 970-80. PubMed