Lichen planus i munnhulen
Lichen planus er vanligvis en hudsykdom, men i noen tilfeller finnes "utslettet" kun i munnhulen - på fagspråket betegnes tilstanden da for oral lichen planus.

Sist oppdatert:
20. juli 2018
Hva er lichen planus i munnhulen?
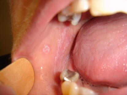
Lichen planus er vanligvis en hudsykdom, men i noen tilfeller finnes "utslettet" kun i munnhulen - på fagspråket betegnes tilstanden da for oral lichen planus. I motsetning til hudvarianten er forandringene i munnhulen mye mer langvarige, og de kan være vanskelige å behandle.
Slimhinneforandringene i munnhulen kan ha litt ulike utseender. Det kan være som et mønster av tråder og nett (retikulær form), det kan være partier som kun er røde (erytematøs form), eller det kan være sårdannelser (erosiv form). Den retikulære formen er lettest å se, den gir ofte lite plager, men den kan være sjenerende når den finnes på tungen. Den erosive formen er den mest plagsomme.


Oral lichen planus kan forekomme hos en til fire prosent av befolkningen. Tilstanden ses oftest blant eldre kvinner, og den debuterer vanligvis etter 40-årsalderen.
Dette dokumentet er basert på det profesjonelle dokumentet Oral lichen planus . Referanselisten for dette dokumentet vises nedenfor
- Mirowski GW, Schlosser BJ. Oral lichen planus: Pathogenesis, clinical features, and diagnosis. UpToDate, last updated Jul 11, 2017. UpToDate
- Eisen D. The clinical features, malignant potential, and systemic associations of oral lichen planus: A study of 723 patients. J Am Acad Dermatol 2002; 46: 207-14. PubMed
- Sugerman PB. Oral lichen planus. Medscape, last updated Sep 21, 2015.
- Carbone M, Arduino PG, Carrozzo M, et al. Course of oral lichen planus: a retrospective study of 808 northern Italian patients. Oral Dis 2009; 15:235. PubMed
- Eisen D. The evaluation of cutaneous, genital, scalp, nail, esophageal, and ocular involvement in patients with oral lichen planus. Oral Surg Oral Med Oral Pathol Oral Radiol Endod 1999; 88: 431-6. PubMed
- Shan J, Ma JM, Wang R, Liu QL, Fan Y. Proliferation and Apoptosis of Peripheral Blood Mononuclear Cells in Patients with Oral Lichen Planus. Inflammation. 2013; 36(2):419-25. PubMed
- Løkken P, Skoglund LA. Legemiddelbivirkninger i munnhulen. Tidsskr Nor Lægeforen 2006; 126: 1345-8.
- Al-Mayahi S, Böttiger Y. Betablockerare kan ge lichen planus. Läkartidningen 2015.
- Thongprasom K, Carrozzo M, Furness S, Lodi G. Interventions for treating oral lichen planus. Cochrane Database of Systematic Reviews 2011, Issue 7. Art. No.: CD001168. DOI: 10.1002/14651858.CD001168.pub2. DOI
- Cheng S, Kirtschig G, Cooper S, et al. Interventions for erosive lichen planus affecting mucosal sites. Cochrane Database Syst Rev 2012; :CD008092. Cochrane (DOI)
- Davari P, Hsiao HH, Fazel N. Mucosal lichen planus: an evidence-based treatment update. Am J Clin Dermatol 2014; 15:181. PubMed
- Shilpa PS, Kaul R, Bhat S, Sanjay CJ, Sultana N. Topical tacrolimus in the management of oral lichen planus: literature review. J Calif Dent Assoc. 2014 Mar. 42(3):165-70.
- Kaliakatsou F, Hodgson TA, Lewsey JD, Hegarty AM, Murphy AG, Porter SR. Management of recalcitrant ulcerative oral lichen planus with topical tacrolimus. J Am Acad Dermatol 2002; 46: 35-41. PubMed
- Olivier V, Lacour JP, Mousnier A, Garraffo R, Monteil RA, Ortonne JP. Treatment of chronic erosive oral lichen planus with low concentrations of topical tacrolimus. An open prospective study. Arch Dermatol 2002; 138: 1335-8. PubMed
- Choonhakarn C, Busaracome P, Sripanidkulchai B, Sarakarn P. The efficacy of aloe vera gel in the treatment of oral lichen planus: a randomized controlled trial. Br J Dermatol 2008; 158: 573-7. PubMed
- Trehan M, Taylor CR. Low-dose excimer 308-nm laser for the treatment of oral lichen planus. Arch Dermatol 2004; 140: 415-20. PubMed
- Zakrzewska JM, Chan ES, Thornhill MH. A systematic review of placebo-controlled randomized clinical trials of treatments used in oral lichen planus. Br J Dermatol 2005; 153: 336-41. PubMed