Lichen planus
Lichen planus er en vanlig forekommende, langvarig og ofte sterkt kløende hudlidelse som i det tidlige forløpet er preget av små, kantete, flate hudforandringer.

Sist oppdatert:
13. mars 2019
Hva er lichen planus?
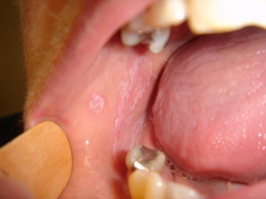
Lichen planus eller lichen ruber planus er en vanlig forekommende, langvarig og ofte sterkt kløende hudlidelse som i det tidlige forløpet er preget av små, kantete, flate hudforandringer. Hos 25-35 prosent angripes også slimhinner, og dette viser seg hyppigst på innsiden av kinnene der det kan ses hvite flekker og striper (se lichen planus i munnhulen). Typiske steder med hudforandringer er underarmenes håndflateside, lår, legger og området rundt halebeinet/baken.

Karakteristiske trekk ved hudutslett:
- Opptil en centimeter store flate hudforandringer
- Ofte små grupper med utslett
- Fargen er grålig rød med fiolett skjær og glatt, skinnende overflate
Lichen planus munnKarakteristiske trekk ved slimhinneforandringer:
- Hvite flekker og striper som kan utvikle seg til områder med sårdannelse
- Slimhinneforandringer kan være eneste tegn
- Ytre kjønnsorganer hos kvinner og penishodet hos menn kan også angripes
- Man ser også negleforandringer hos ti prosent av pasientene (langsgående streker)

Lichen planus i huden er den vanligste formen, mens munnhule-varianten står for 15-35 prosent av tilfellene. Slimhinneforandringer forekommer hos opptil 65 prosent av pasientene med lichen planus i huden, og motsvarende finnes hudforandringer hos 15-30 prosent av dem med munnhule sykdom. Tilstanden er ganske vanlig og forekommer hos 0,3-4 prosent av befolkningen. Sykdommen rammer middelaldrende kvinner hyppigere enn menn.
Dette dokumentet er basert på det profesjonelle dokumentet Lichen planus . Referanselisten for dette dokumentet vises nedenfor
- Sollesnes Holsen D, Johannessen AC. Sykdommer som affiserer hud og munnslimhinne. Tidsskr Nor Lægeforen 2006; 126: 1214-7. Tidsskrift for Den norske legeforening
- Usatine RP, Tinitigan M. Diagnosis and treatment of lichen planus. Am Fam Physician 2011; 84: 53-60. American Family Physician
- Chuang T-Y. Lichen planus. Medscape, last updated Jul 25, 2018. emedicine.medscape.com
- Dissemond J. Oral lichen planus: an overview. J Dermatol Treat 2004; 15: 136-40. PubMed
- Zakrzewska JM, Chan ES, Thornhill MH. A systematic review of placebo-controlled randomized clinical trials of treatments used in oral lichen planus. Br J Dermatol 2005; 153: 336-41. PubMed
- Ismail SB, Kumar SK, Zain RB. Oral lichen planus and lichenoid reactions: etiopathogenesis, diagnosis, management and malignant transformation. J Oral Sci 2007; 49: 89-106. PubMed
- Shengyuan L, Songpo Y, Wen W, Wenjing T, Haitao Z, Binyou W. Hepatitis C virus and lichen planus: a reciprocal association determined by a meta-analysis. Arch Dermatol 2009; 145: 1040-7. PubMed
- Cooper S, Munidasa D. Lichen planus. BMJ Best Practice, last updated Jul 01, 2016. bestpractice.bmj.com
- Eisen D. The clinical features, malignant potential, and systemic assosiations of oral lichen planus: a study of 723 patients. J Am Acad Dermatol 2002; 46: 207-14. PubMed
- Løkken P, Skoglund LA. Legemiddelbivirkninger i munnhulen. Tidsskr Nor Lægeforen 2006; 126: 1345-8.
- Dissemond J. Oral lichen planus: an overview. J Dermatolog Treat 2004; 15: 136-40. PubMed
- Di Fede O, Belfiore P, Cabibi D, et al. Unexpectedly high frequency of genital involvement in women with clinical and histological features of oral lichen planus. Acta Derm Venereol 2006; 86: 433-8. PubMed
- Belfiore P, Di Fede O, Cabibi D, et al. Prevalence of vulval lichen planus in a cohort of women with oral lichen planus: an interdisciplinary study. Br J Dermatol 2006; 155: 994-8. PubMed
- Harman M, Akdeniz S, Dursun M, Akpolat N, Atmaca S. Lichen planus and hepatitis C virus infection: an epidemiologic study. Int J Clin Pract 2004; 58: 1118-9. PubMed
- Goldstein BG, Goldstein AO. Lichen planus. UpToDate, last updated Jun 27, 2017. UpToDate
- Rasi A, Behzadi AH, Davoudi S, Rafizadeh P, Honarbakhsh Y, Mehran M, et al. Efficacy of oral metronidazole in treatment of cutaneous and mucosal lichen planus. J Drugs Dermatol. 2010 Oct. 9(10):1186-90.
- Arias-Santiago S, Buendia-Eisman A, Aneiros-Fernandez J, et al. Cardiovascular risk factors in patients with lichen planus. Am J Med. 2011 Jun. 124(6):543-8.
- Jensen JT, Bird M, Leclair CM. Patient satisfaction after the treatment of vulvovaginal erosive lichen planus with topical clobetasol and tacrolimus: a survey study. Am J Obstet Gynecol 2004; 190: 1759-63. PubMed
- Rajar UD, Majeed R, Parveen N, Sheikh I, Sushel C. Efficacy of aloe vera gel in the treatment of vulval lichen planus. J Coll Physicians Surg Pak 2008; 18: 612-4. PubMed
- Pavlotsky F, Nathansohn N, Kriger G, Shpiro D, Trau H. Ultraviolet-B treatment for cutaneous lichen planus: our experience with 50 patients. Photodermatol Photoimmunol Photomed. 2008 Apr. 24(2):83-6.
- Corrocher G, Di Lorenzo G, Martinelli N, et al. Comparative effect of tacrolimus 0.1% ointment and clobetasol 0.05% ointment in patients with oral lichen planus. J Clin Periodontol 2008; 35: 244-9. PubMed
- Carbone M, Arduino PG, Carrozzo M, et al. Topical clobetasol in the treatment of atrophic-erosive oral lichen planus: a randomized controlled trial to compare two preparations with different concentrations. J Oral Pathol Med 2009; 38: 227-33. PubMed