Multippel sklerose (MS), en oversikt
MS er en sykdom som medfører ødeleggelse av isolasjonslaget (myelinet) rundt nervetråder i hjernen og ryggmargen.

Sist oppdatert:
18. mai 2020
Innhold i artikkelen
Hva er multippel sklerose?

MS er en sykdom som medfører ødeleggelse av isolasjonslaget (myelinet) rundt nervetråder i hjernen og ryggmargen. Symptomene skyldes feilfunksjoner i de delene av hjernen eller ryggmargen som rammes. Symptomene varierer fra pasient til pasient avhengig av graden av myelinødeleggelse og hvor i hjernen eller ryggmargen skadene er mest uttalt. Vanlige startsymptomer er:
- Synsforstyrrelser - tåkesyn, flimmer i synsbildet og dobbeltsyn
- Kraftsvekkelse i en arm eller et ben, eventuelt redusert tempo eller utholdenhet
- Manglende kontroll av muskler kan medføre unøyaktige bevegelser (klossethet)
- Noen opplever svekket gangfunksjon og balanseproblemer
- Nedsatt arbeidsevne og tretthet
- Forstyrrelser i vannlatings- og seksualfunksjoner
- Unormale reaksjoner på kulde og varme, samt endret hudfølelse
- Symptomene opptrer ofte i anfall, såkalte attakker
- Det er ikke uvanlig at de første symptomene er forbigående, og kommer tilbake etter en symptomfri periode
- Typisk utvikles symptomene i løpet av noen dager eller uker, noen ganger mer langsom utvikling
Animasjon av multippel sklerose
Forekomst
Forekomsten av multippel sklerose varierer med geografi og etnisitet, og den er høyest i den hvite befolkningen i tempererte regioner av verden. I Norge varierer antall MS-tilfeller fra landsdel til landsdel. Nord-Norge har lavest forekomst. En norsk studie fra 2014 viser forekomst på 203 per 100.000 innbyggere. Samlet betyr det at det i Norge er omtrent 10.500 pasienter med MS. Sykdommen bryter hyppigst ut i alderen mellom 20 og 45 år, og forekommer omtrent dobbelt så hyppig hos kvinner som hos menn.
Årsak
Årsaken til MS er ikke kjent. Forskning tyder på at det er en kombinasjon av arvelig anlegg for sykdommen og påvirkning av ytre faktorer som fører til at sykdommen bryter ut. Den arvelige faktoren er ikke dominerende, men det er funnet at cirka 15 prosent av MS-pasienter har en slektning med samme sykdom. Miljøfaktorer som man mistenker kan øke risiko for sykdomsutvikling er for lavt nivå av vitamin D, virusinfeksjon (spes. Epstein-Barr virus) og sigarettrøyking.
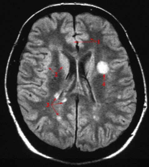
Diagnostikk
Sykehistorien med de typiske symptomer hos forholdsvis unge mennesker vil ofte gi mistanke om sykdommen. I tidlig fase kan det være vanskelig å påvise tegn til sykdom ved vanlig legeundersøkelse, men etter en tids sykdom blir funnene som regel tydelige. Diagnosen kan stilles på grunnlag av sykehistorie og funn ved legeundersøkelse alene. I praksis blir det alltid også utført MR-undersøkelse av hjernen. MR-forandringene ved MS er typiske. MR er også nyttig for å utelukke andre årsaker til symptomene. En undersøkelse av ryggmargsvæsken kan også vise forandringer som bekrefter diagnosen.
Behandling
Behandling og oppfølging av MS-pasienter må tilpasses den enkelte. Det finnes ingen behandling som kan kurere sykdommen, men sykdommen kan stanse opp - enten som følge av behandling, eller at sykdommen går over av av seg selv. Forrverring av sykdommen skjer som regel i form av akutte anfall (attakker). En viktig del av behandlingen er å drive intensiv behandling under akutte anfall. I bedre perioder, mellom attakker, brukes medisiner for å forebygge nye attakker og for å bremse utviklingen av sykdommen. Beinmargstransplantasjon er aktuelt ved hissig, attakkvis sykdom med hyppige attakker. Haukeland Sykehus har landsfunksjon for denne behandlingsformen.
I tillegg satses det også mye på å lindre plagsomme symptomer, og på opptrening (rehabilitering). De aller fleste har god nytte av behandling og trening i samarbeid med fysioterapeuter. Se eget dokument om behandling.
Prognose
Forløpet av sykdommen kan variere betydelig. Hos omtrent 80-85 prosent forløper sykdommen med gjentatte attakk, og stabile perioder imellom. Det er funnet at MS-pasienter i gjennomsnitt har 0,8 anfall per år. Som regel fører hvert enkelt attakk til en liten forverring av tilstanden, med gradvis økende funksjonshemming. Men denne utviklingen er varierende, og cirka en av fem får et fredelig forløp med liten eller ingen funksjonshemming.
Hos noen pasienter (cirka 15 prosent) forløpet sykdommen uten de typiske attakkene, men med en gradvis forverring av tilstanden.
En norsk studie fra 2001 viste at etter 15 års sykdom var 54 prosent uføretrygdet, omtrent 40 prosent var avhengig av tekniske hjelpemidler og cirka 25 prosent var avhengig av rullestol. Prognosen er generelt best i den gruppen som har anfallsvise plager. Med den effektive behandlingen som nå finnes kan man forvente at prognosen stadig vil bli bedre.
Utfyllende opplysninger og hjelp til å takle sykdommen kan du få ved pasientforeninger for MS-rammede.
Dette dokumentet er basert på det profesjonelle dokumentet Multippel sklerose . Referanselisten for dette dokumentet vises nedenfor
- Luzzio C. Multiple sclerosis. Medscape, last updated Jan 27, 2016. emedicine.medscape.com
- Thompson AJ, Banwell BL, Barkhof F, et al. Diagnosis of multiple sclerosis: 2017 revisions of the McDonald criteria. Lancet Neurol 2018; 17: 162-73. pmid:29275977 PubMed
- Midgard R, Beiske AG, Celius EG, Jensen D, Hovdal H, Mellgren SI, Myhr K-M. Nye diagnostiske kriterier ved multippel sklerose. Tidsskr Nor Lægeforen 2003; 123: 1345-8. Tidsskrift for Den norske legeforening
- Compston A. Genetic epidemiology of multiple sclerosis. J Neurol Neurosurg Psychiatry 1997; 62: 553-61. PubMed
- Midgard R. Incidence and prevalence of multiple sclerosis in Norway. Acta Neurol Scand 2012; 126 (Suppl 195): 36-42. PMID: 23278655 PubMed
- Berg-Hansen P, Moen SM, Harbo HF, Celius EG. High prevalence and no latitude gradient of multiple sclerosis in Norway. Mult Scler 2014; 20: 1780-2. PMID: 24603884 PubMed
- Grytten N, Torkildsen Ø, Myhr KM. Time trends in the incidence and prevalence of multiple sclerosis in Norway during eight decades. Acta Neurol Scand Suppl. 2015; 132: 29-36. PMID: 26046556 PubMed
- Calabresi PA. Diagnosis and management of multiple sclerosis. Am Fam Physician 2004; 70: 1935-44. PubMed
- Bjornevik K, Cortese M, Healy BC, et al. Longitudinal analysis reveals high prevalence of Epstein-Barr virus associated with multiple sclerosis. Science 2022; 375: 296-301. pmid:35025605 PubMed
- Belbasis L, Bellou V, Evangelou E, et al. Environmental risk factors and multiple sclerosis: an umbrella review of systematic reviews and meta-analyses. Lancet Neurol. 2015; 14: 263-73. doi: 10.1016/S1474-4422(14)70267-4 DOI
- DeLorenze GN, Munger KL, Lennette ET, Orentreich N, Vogelman JH, Ascherio A. Epstein-Barr Virus and Multiple Sclerosis. Evidence of Association From a Prospective Study With Long-term Follow-up. Arch Neurol 2006; 63: (doi:10.1001/archneur.63.6.noc50328). DOI
- Aschiero A, Munger KL. Environmental risk factors for multiple sclerosis. Part II: Noninfectious factors. Ann Neurol 2007; 61: 504-13. PubMed
- Ebers GC. Environmenrtal factors and multiple sclerosis. Lancet Neurology 2008; 7: 268-77. PubMed
- Ascherio A, Munger KL. Environmental risk factors for multiple sclerosis. Part I: the role of infection. Ann Neurol 2007; 61: 288-99. PubMed
- Ramogapalan SV, Maugeri NJ, Handunnetthi L, et al. Expression of the Multiple Sclerosis-associated MHC class II allele HLA-DRB1*1501 is regulated by vitamin D. PLoS Genet 2009; 5: e1000369. PubMed
- The International Multiple Sclerosis Genetics Consortium & the Wellcome Trust Case Control Consortium. Genetic risk and primary role for cell-mediated immune mechanisms in multiple sclerosis. Nature 2011: 476: 214-219.
- Xu Y, Hiyoshi A, Smith KA, et al. Association of Infectious Mononucleosis in Childhood and Adolescence With Risk for a Subsequent Multiple Sclerosis Diagnosis Among Siblings. JAMA Netw Open 2021. doi:10.1001/jamanetworkopen.2021.24932 DOI
- Staples J, Ponsonby A-L, Lim L. Low maternal exposure to ultraviolet radiation in pregnancy, month of birth, and risk of multiple sclerosis in offspring: longitudinal analysis. BMJ 2010; 340: c1640. BMJ (DOI)
- Ascherio A, Munger KL, White R, et al. Vitamin D as an early predictor of Multiple sclerosis activity and progression. JAMA Neurol 2014. doi:10.1001/jamaneurol.2013.5993 DOI
- Munger KL, Hongell K, Åivo J, et al. 25-Hydroxyvitamin D deficiency and risk of MS among women in the Finnish Maternity Cohort. Neurology 2017; 89: 1-6. pmid:28904091 PubMed
- Jagannath VA, Filippini G, Di Pietrantonj C, et al. Vitamin D for the management of multiple sclerosis. Cochrane Database Syst Rev. 2018 Sep 24;9:CD008422. doi: 10.1002/14651858.CD008422.pub3. (Review) PMID: 30246874 PubMed
- Lucchinetti CF, Bruck W, Rodriguez M, Lassmann H. Distinct patterns of multiple sclerosis pathology indicates heterogeneity in pathogenesis. Brain Pathol 1996; 6: 259-74. PubMed
- Mohr DC, Hart SL, Julian L, Cox D, Pelletier D. Association between stressful life events and exacerbation in multiple sclerosis: a meta-analysis. BMJ 2004; 328: 731. PubMed
- Frohman EM, Racke MK, Raine CS. Multiple sclerosis - the plaque and its pathogenesis. N Engl J Med 2006; 354: 942-55. PubMed
- Bø L, Vedeler CA, Nyland HI et al. Intracortical multiple sclerosis lesions are not associated with increased lymphocyte infiltration. Mult Scler 2003;9: 323-31. PubMed
- Bø L, Vedeler CA, Nyland HI et al. Subpial demyelination in the cerebral cortex of multiple sclerosis patients. J Neuropathol Exp Neurol 2003; 62: 723-32. PubMed
- Geurts JJ, Bo L, Pouwels PJ, Castelijns JA, Polman CH, Barkhof F. Cortical lesions in multiple sclerosis: combined postmortem MR imaging and histopathology. AJNR Am J Neuroradiol 2005; 26: 572-7. PubMed
- Barnett MH, Henderson AP, Prineas JW. The macrophage in MS: just a scavenger after all? Pathology and pathogenesis of the acute MS Lesion. Mult Scler 2006; 12: 121-32. PubMed
- Trapp BD, Vignos M, Dudman J, et al. Cortical neuronal densities and cerebral white matter demyelination in multiple sclerosis: a retrospective study. Lancet Neurol 2018; 17: 870-84. pmid:30143361 PubMed
- Jersild C, Svejgaard A, Fog T. HL-A antigens and multiple sclerosis. Lancet 1972; 1: 1240-1. PubMed
- Nasjonale faglige retningslinjer for diagnostikk, attakk- og sykdomsmodifiserende behandling av multippel sklerose. Helsedirektoratet IS-1905. ISBN – 978-82-8081-226-1. November 2011.
- Grytten N, Torkildsen Ø, Aarseth JH, Benjaminsen E, Celius EG, Dahl OP, Holmøy T, Løken-Amsrud K, Midgard R, Myhr KM, Risberg G, Vatne A, Kampman MT. Month of birth as a latitude-dependent risk factor for multiple sclerosis in Norway. Mult Scler 2012; 19: 1028-34 PubMed
- Torkildsen Ø, Aarseth JH, Benjaminsen E, Celius EG, Holmøy T, Kampman MT, Løken-Amsrud K, Midgard R, Myhr KM, Riise T, Grytten N. Month of birth and risk of multiple sclerosis: confounding and adjustments. Annals of Clinical and Translational Neurology 2014; 1 (2): 141-44
- Rodríguez Cruz PM, Matthews L, Boggild M, et al. Time- and Region-Specific Season of Birth Effects in Multiple Sclerosis in the United Kingdom. JAMA Neurol 2016. pmid:27366989 PubMed
- Confavreux C, Hutchinson M, Hours MM, Cortinovis-Tourniare P, Moreau T, and the Pregnancy in MS Group. Rate of pregnancy-related relapse in multiple sclerosis. N Engl J Med 1998; 339: 285-91. New England Journal of Medicine
- Nasjonal faglig retningslinje. Multippel sklerose. Først publisert 30. mai 2017. Sist faglig oppdatert 24. november 2021. www.helsedirektoratet.no
- Forslin Y, Granberg T, Jumah AA, et al. Incidence of Radiologically Isolated Syndrome: A Population-Based Study. AJNR Am J Neuroradiol 2016; 37: 1017-22. pmid:26846927 PubMed
- Granberg T, Martola J, Aspelin P, et al. Radiologically isolated syndrome: an uncommon finding at a university clinic in a high-prevalence region for multiple sclerosis. BMJ Open 2013. pmid:24189079 PubMed
- Lebrun C, Bensa C, Debouverie M, et al. Association between clinical conversion to multiple sclerosis in radiologically isolated syndrome and magnetic resonance imaging, cerebrospinal fluid, and visual evoked potential: follow-up of 70 patients. Arch Neurol 2009; 66: 841-6. pmid:19597085 PubMed
- Moore F, Okuda DT. Incidental MRI anomalies suggestive of multiple sclerosis: the radiologically isolated syndrome. Neurology 2009; 73: 1714. pmid: 19918002 PubMed
- Dahl OP, Stordal E, Lydersen S, Midgard R. Anxiety and depression in multiple sclerosis. A comparative population-based study in Nord-Trøndelag, Norway. Mult Scler 2009; 15: 1495-501. PubMed
- Gustavsen S, Olsson A, Søndergaard HB, et al. The association of selected multiple sclerosis symptoms with disability and quality of life: a large Danish self-report survey. BMC Neurol. 2021 Aug 16;21(1):317. PMID: 34399707. PubMed
- Broch L, Simonsen CS, Flemmen HØ, et al. High prevalence of fatigue in contemporary patients with multiple sclerosis. Mult Scler J Exp Transl Clin. 2021 Mar 18;7(1):2055217321999826. PMID: 33796331. PubMed
- Hoff JM, Dhayalan M, Midelfart A, et al. Synsproblemer ved multippel sklerose. Tidsskr Nor Legeforen 2019. doi:10.4045/tidsskr.18.0786 DOI
- Filippi M, Rocca MA, Ciccarelli O, et al . MRI criteria for the diagnosis of multiple sclerosis: MAGNIMS consensus guidelines. Lancet Neurol 2016; 15: 292-303. pmid:26822746 PubMed
- Tintoré M, Rovira A, Martinez MJ, Rio J, Diaz-Villoslada P, Brieva L et al. Isolated demyelinating syndromes: comparison of different MRI imaging criteria to predict conversion to clinically definite multiple sclerosis. Am J Neuroradiol 2000; 21: 702 - 6. PubMed
- Bakke SJ, Lilleås, F, Smievoll AI, Myhr G, Nakstad PJ, Bajic R et al. Bruk av MR i diagnostikk av multippel sklerose Tidsskr Nor Lægeforen 2003; 123: 1349 - 51. PubMed
- Whiting P, Harbord R, Main C, et al. Accuracy of magnetic resonance imaging for the diagnosis of multiple sclerosis: systematic review. BMJ 2006; 15: 875-84. British Medical Journal
- Andersson M, Alvarez-Cermeño J, Bernardi G, Cogato I, Fredman P, Frederiksen J et al. Cerebrospinal fluid in the diagnosis of multiple sclerosis: a consensus report. J Neurol Neurosurg Psychiatry 1994; 57: 897 - 902. PubMed
- Berger T, Rubner P, Schautzer F, et al. Antimyelin antibodies as a predictor of clinically definite multiple sclerosis after a first demyelinating event. N Engl J Med 2003; 349: 139-45. PubMed
- Lennon VA, Wingerchuk DM, Kryzer TJ, Pittock SJ, Lucchinetti CF, Fujihara K et al. A serum autoantibody marker of neuromyelitis optica: distinction from multiple sclerosis. Lancet 2004; 364: 2106-12. PubMed
- Lennon VA, Kryzer TJ, Pittock SJ, Verkman AS, Hinson SR. IgG marker of optic-spinal multiple sclerosis binds to the aquaporin-4 water channel. JEM 2005; 202: 473-7. PubMed
- Varhaug KN, Barro C, Bjørnevik K, et al. Neurofilament light chain predicts disease activity in relapsing-remitting MS. Send to Neurol Neuroimmunol Neuroinflamm. 2017; 5: 422. pmid:29209636 PubMed
- Tjelle TE, Rose C, Ohm IK, Pike E, Håheim, LL, Bidonde J, Fretheim A, Ju-vet LK, Disease-modifying treatments for relapsing remitting multiple sclerosis, including rituximab. A health technology assessment. Report from Norwegian Institute of Public Health, Folkehelseinstituttet, Oslo, June 2019 www.fhi.no
- Montalban X, Gold R, Thompson AJ, et al. ECTRIMS/EAN guideline on the pharmacological treatment of people with multiple sclerosis. Eur J Neurol 2018. pmid:29352526 PubMed
- Rae-Grant A, Day GS, Marrie RA, et al. Practice guideline recommendations summary: Disease-modifying therapies for adults with multiple sclerosis. Neurology 2018; 90: 777-88. pmid:29686116 PubMed
- Polman CH, Uitdehaag BMJ. Drug treatment of multiple sclerosis. BMJ 2000; 321: 490-4. PubMed
- Giovannoni G, Comi G, Cook S, et al. A Placebo-Controlled Trial of Oral Cladribine for Relapsing Multiple Sclerosis. N Engl J Med 2010; 362: 416-26. pmid:20089960 PubMed
- Leist TP, Comi G, Cree BAC, et al. Effect of oral cladribine on time to conversion to clinically definite multiple sclerosis in patients with a first demyelinating event (ORACLE MS): a phase 3 randomised trial. Lancet Neurol 2014; 13: 257-67. pmid:24502830 PubMed
- Hauser SL, Bar-Or A, Comi G, et al. Ocrelizumab versus Interferon Beta-1a in Relapsing Multiple Sclerosis. N Engl J Med 2017; 376: 221-34. pmid:28002679 PubMed
- Granqvist M, Boremalm M, Poorghobad A, et al. Comparative Effectiveness of Rituximab and Other Initial Treatment Choices for Multiple Sclerosis. JAMA Neurol 2018; 75: 320-7. pmid:29309484 PubMed
- Pearson M, Dieberg G, Smart N. Exercise as a Therapy for Improvement of Walking Ability in Adults With Multiple Sclerosis: A Meta-Analysis. Arch Phys Med Rehabil. 2015; 96: 1339-48. doi:10.1016/j.apmr.2015.02.011 DOI
- European study group on interferon b -1b in secondary progressive MS. Placebo-controlled multicentre randomised trial of interferon b -1b in treatment of secondary progressive multiple sclerosis. Lancet 1998; 352: 1491-7. PubMed
- Aarli JA. Betainterferon ved multippel sklerose - hvem skal behandles? Tidsskr Nor Lægeforen 1999; 119: 3114. PubMed
- Jacobs LD, Beck RW, Simon JH, Kinkel RP, et al. Intramuscular interferon beta-1-a therapy initiated during a first demyelinating event in multiple sclerosis. CHAMPS Study Group. N Engl J Med 2000 28; 343: 898-904. PubMed
- Comi G, Filippi M, Barkhof F et al. Effect of early interferon treatment on conversion to definite multiple sclerosis. Lancet 2001; 357: 1576-82. PubMed
- Filippi M, Rovaris M, Inglese M, Barkhof F et al. Interferon beta-1a for brain tissue loss in patients at presentation with syndromes suggestive of multiple sclerosis: a randomised, double-blind, placebo-controlled trial. Lancet 2004; 364: 1489-96. PubMed
- Soelberg Sorensen P, Ross C, Clemmesen KM, Bendtzen K, Frederiksen JL, Jensen K, Kristensen O, Petersen T, Rasmussen S, Ravnborg M, Stenager E, Koch-Henriksen N and the Danish MS Study Group. Clinical importance of neutralising antibodies against interferon beta in patients with relapsing-remitting multiple sclerosis. Lancet 2003; 362: 1184-91. PubMed
- Sørensen PS, Deisenhammer F, Duda P, Hohlfeld R, Myhr KM, Palace J et al. Guidelines on use of anti-IFN-beta antibody measurements in multiple sclerosis: report of an EFNS Task Force on IFN-? antibodies in multiple sclerosis. Eur J Neurol 2005; 12: 817-27. PubMed
- Comi G, Martinelli M, Rodegher M, et al. Eff ect of glatiramer acetate on conversion to clinically defi nite multiple sclerosis in patients with clinically isolated syndrome (PreCISe study): a randomised, double-blind, placebo-controlled trial. Lancet 2009; 374: 1503-11. PubMed
- Papadopoulou A, Kappos L, Sprenger T. Teriflunomide for oral therapy in multiple sclerosis. Expert Rev Clin Pharmacol. 2012; 5): 617-28. PubMed PMID: 23234322 PubMed
- O'Connor P, Wolinsky JS, Confavreux C, Comi G, Kappos L, Olsson TP, Benzerdjeb H, Truffinet P, Wang L, Miller A, Freedman MS; TEMSO Trial Group. Randomized trial of oral teriflunomide for relapsing multiple sclerosis. N Engl J Med. 2011;365:1293-303. doi: 10.1056/NEJMoa1014656.
- Vermersch P, Czlonkowska A, Grimaldi LM, et al; for the TENERE Trial Group. Teriflunomide versus subcutaneous interferon beta-1a in patients with relapsing multiple sclerosis: a randomised, controlled phase 3 trial. Mult Scler. 2013 Nov 21. Epub ahead of print PubMed PMID: 24126064 PubMed
- Miller et al. TOPIC main outcomes: efficacy and safety of once-daily oral teriflunomide in patients with clinically isolated syndrome. ECTRIMS Copenhagen 2013.
- He D, Zhang C, Zhao X, et al. Teriflunomide for multiple sclerosis. Cochran Database Syst Rev 2016; 3: CD009882. pmid: 27003123 PubMed
- Sartori A, Carle D, Freedman MS. Teriflunomide: a novel oral treatment for relapsing multiple sclerosis. Expert Opin Pharmacother. 2014;15(7):1019-27. PMID: 24742277. PubMed
- Linker RA, Gold R. Dimethyl fumarate for treatment of multiple sclerosis: mechanism of action, effectiveness, and side effects. Curr Neurol Neurosci Rep. 2013 Nov;13(11):394 PubMed
- Xu Z, Zhang F, Sun F, Gu K, Dong S, He D. Dimethyl fumarate for multiple sclerosis. Cochrane Database of Systematic Reviews 2015, Issue 4. Art. No.: CD011076. DOI: 10.1002/14651858.CD011076.pub2. DOI
- Polman CH, O'Connor PW, Havrdova E, et al. A randomized, placebo-controlled trial of natalizumab for relapsing multiple sclerosis. N Engl J Med 2006; 354: 899-910. New England Journal of Medicine
- Miller DH, Soon D, Fernando KT, et al. For the AFFIRM investigators. MRI outcomes in a placebo-controlled trial of natalizumab in relapsing MS. Neurology 2007; 68: 1390-1401. Neurology
- Havrdova E, Galetta S, Hutchinson M, et al. Effect og natalizumab on clinical and radiological disease activity in multiple sclerosis: a retrospective analysis of the Natalizumab safety and efficacy in relapsing-remitting multiple sclerosis (AFFIRM) study. Lancet 2009; 8: 254-60. PubMed
- Zhovtis Ryerson L, Frohman TC, Foley J, et al. Extended interval dosing of natalizumab in multiple sclerosis. J Neurol Neurosurg Psychiatry 2016. pmid: 26917698 PubMed
- Bomprezzi R, Pawate S. Extended interval dosing of natalizumab – a two-center, 7-year experience. Ther Adv Neurol Disord. ; 7: 227-31. pmid:25342976 PubMed
- Bloomgren G, Richman S, Hotermans C, et al. Risk of natalizumab-associated progressive multifocal leukoencephalopathy. N Engl J Med 2012; 366: 1870-80. New England Journal of Medicine
- Sosial- og helsedirektoratet: Behandling av multippel sklerose (MS) med natalizumab Oppstart, gjennomføring og avslutning av behandling. 6/2007.
- Kappos L, Bates D, Hartung H-P et al. Natalizumab treatment for multiple sclerosis: recommendations for patient selection and monitoring. Lancet Neurol 2007; 6: 431-41. PubMed
- Kappos L, Radue E-W, O'Connor P, et al. A placebo-controlled trial of oral fingolimod in relapsing multiple sclerosis. N Engl J Med 2010; 362: .
- Cohen JA, Barkhof F, Comi G, et al. Oral fingolimode or intramuscular interferon for relapsing multiple sclerosis. N Engl J Med 2010; 362: .
- Brown JW, Coles AJ. Alemtuzumab: evidence for its potential in relapsing-remitting multiple sclerosis. Drug Des Devel Ther. 2013;7:131-8. doi: 10.2147/DDDT.S32687 DOI
- Cohen JA, Coles AJ, Arnold DL, et al; CARE-MS I investigators. Alemtuzumab versus interferon beta 1a as first-line treatment for patients with relapsing-remitting multiple sclerosis: a randomised controlled phase 3 trial. Lancet. 2012; 380:1819-28. doi: 10.1016/S0140-6736(12)61769-3. DOI
- Coles AJ, Twyman CL, Arnold DL, et al; CARE-MS II investigators. Alemtuzumab for patients with relapsing multiple sclerosis after disease-modifying therapy: a randomised controlled phase 3 trial. Lancet. 2012 Nov 24;380(9856):1829-39. doi: 10.1016/S0140-6736(12)61768-1. DOI
- Haghikia A, Dendrou CA, Schneider R, et al. Severe B-cell-mediated CNS disease secondary to alemtuzumab therapy. Lancet Neurology 2017; 16: 104-6. doi:10.1016/S1474-4422(16)30382-9 DOI
- Demko S, Summers J, Keegan P, Pazdur R. FDA drug approval summary: alemtuzumab as single-agent treatment for B-cell chronic lymphocytic leukemia. Oncologist. 2008 Feb;13(2):167-74. PMID: 18305062 PubMed
- Hawker J, O’Connor P, Freedman MS et al. Rituximab in patients with primary progressive multiple sclerosis: results of a randomized double-blind placebo-controlled multicenter trial. Ann Neurol 2009; 66: 460-71 PubMed
- Alping P, Frisell T, Novakova L, et al. Rituximab versus fingolimod after natalizumab in multiple sclerosis patients. Ann Neurol 2016; 79: 950-8. pmid: 27038238 PubMed
- Nye Metoder: Siponimod (Mayzent). Beslutning 21.06.21. Nettsiden besøkt 05.10.11. nyemetoder.no
- Nevro-NEL: Behandling av MS. Nettside besøkt 05.10.21. nevrologi.legehandboka.no
- Burt RK, Balabanov R, Han X, et al. Association of Nonmyeloablative Hematopoietic Stem Cell Transplantation With Neurological Disability in Patients With Relapsing-Remitting Multiple Sclerosis. JAMA 2015; 313(3): 275-84. doi:10.1001/jama.2014.17986 DOI
- Muraro PA, Pasquini M, Atkins HL et al. Long-term Outcomes After Autologous Hematopoietic Stem Cell Transplantation for Multiple Sclerosis. JAMA Neurol. Published online February 20, 2017. doi:10.1001/jamaneurol.2016.5867 DOI
- Burman J et al. Autologous hematopoietic stem cell transplantation for aggressive multiple sclerosis. The Swedish experience. J Neurol Neurosurg Psychiatry 2014; Feb 19 – Epub ahead of print
- Atkins HL, Bowman M, Allan D, et al. Immunoablation and autologous haemopoietic stem-cell transplantation for aggressive multiple sclerosis: a multicentre single-group phase 2 trial. Lancet 2016. pmid:27291994 PubMed
- Burton JM, O'Connor PW, Hohol M, Beyene J. Oral versus intravenous steroids for treatment of relapses in multiple sclerosis. Cochrane Database of Syst Rev 2012, Issue 12. Art. No.: CD006921. DOI: 10.1002/14651858.CD006921.pub3. DOI
- Morrow SA, Stoian CA, Dmitrovic J, Chan SC, Metz LM. The bioavailability of IV methylprednisolone and oral prednisone in multiple sclerosis. Neurology 2004; 63: 1079-80. Neurology
- Sellebjerg F, Barnes D, Fillippini G, Midgard R, Montalban X, Rieckmann P et al. EFNS guideline on treatment of multiple sclerosis relapses: report of an EFNS task force on treatment of multiple sclerosis relapses. Eur J Neurol 2005; 12: 939-46. PubMed
- Montalban X, Hauser SL, Kappos L et al. Ocrelizumab versus Placebo in Primary Progressive Multiple Sclerosis. N Engl J Med 2017; 376: 209-20. pmid:28002688 PubMed
- Chataway J, Schuerer N, Alsanousi A, et al. Effect of high-dose simvastatin on brain atrophy and disability in secondary progressive multiple sclerosis (MS-STAT): a randomised, placebo-controlled, phase 2 trial. Lancet. 2014 Mar 18.
- Shakespeare D, Boggild M, Young CA. Anti-spasticity agents for multiple sclerosis. Cochrane Database of Systematic Reviews 2003, Issue 4. Art. No.: CD001332. DOI: 10.1002/14651858.CD001332. DOI
- Smedal T, Gjelsvik B, Lygren H, Borgmann R, Waje-Andreassen U, Grønning M. Botulinumtoksin A - effekt på spastisitet. Tidsskr Nor Lægeforen 2001; 121: 3277-80. PubMed
- Zajicek JP, Sanders HP, Wright DE, Vickery PJ, Ingram WM, Reilly SM et al. Cannabinoids in multiple sclerosis (CAMS) study: safety and efficacy data for 12 months follow up. J Neurol Neurosurg Psychiatry 2005; 76: 1664-9. PubMed
- Novotna A et al. A randomised, double-blind, placebo-controlled, parallell-group, enriched study of nabiximols (Sativex®), as add-on therapy, in subjects with refractory spasticity caused by multiple sclerosis. Eur J Neurol 2011; 18: 1122-31. PubMed
- Rog DJ, Nurmikko TJ, Friede T, Young CA. Randomised, controlled trial of cannabis-based medicine in central pain in multiple sclerosis. Neurology 2005; 65: 812-9. Neurology
- Svendsen KB, Jensen TS, Bach FW. Does the cannabinoid dronabinol reduce central pain in multiple sclerosis? Randomised double blind placebo controlled crossover trial. BMJ, doi:10.1136/bmj.38149.566979.AE (published 16 July 2004).
- Freeman RM, Adekanmi O, Waterfield MR, Waterfield AE, Wright D, Zajicek J. The effect of cannabis on urge incontinence in patients with multiple sclerosis: a multicenter, randomised placebo-controlled trial (CAMS-LUTS). Int Urogynecol J Pelvic Floor Dysfunct 2006; Mar 22 Epub ahead of print
- Yadav V, Bever C, Bowen J, et al. Summary of evidence-based guideline: Complementary and alternative medicine in multiple sclerosis. Neurology 2014; 82: 1083-92. Neurology
- Stankoff B, Waubant E, Confavreux C, Edan G, Debouverie M, Rumbach L et al. Modafinil for fatigue in MS. Neurology 2005; 64: 1139-43. Neurology
- Goodman AD, Brown TR, Krupp LB, et al. Sustained-release oral fampridine in multiple sclerosis: a randomised, double-blind, controlled trial. Lancet 2009; 373: 732-38. PubMed
- Simpson R, Simpson S, Ramparsad N, et al. Mindfulness-based interventions for mental well-being among people with multiple sclerosis: a systematic review and meta-analysis of randomised controlled trials. J Neurol Neurosurg Psychiatry. 2019. PMID: 31196913 PubMed
- McLoughlin JV, Lord SR, Barr CJ, et al. Dorsiflexion assist orthosis reduces the physiological cost and mitigates deterioration in strength and balance associated with walking in people with multiple sclerosis.. Arch Phys Med Rehabil 2015; 96: 226-32. doi:10.1016/j.apmr.2014.09.005 DOI
- Thomas S, Thomas PW, Kersten P, et al. A pragmatic parallel arm multi-centre randomised controlled trial to assess the effectiveness and cost-effectiveness of a group-based fatigue management programme (FACETS) for people with multiple sclerosis. J Neurol Neurosurg Psychiatry 2013. pmid:23695501 PubMed
- Heine M, van de Port I, Rietberg MB, et al. Exercise therapy for fatigue in multiple sclerosis. Cochrane Database Syst Rev 2015; 9: CD009956. doi:10.1002/14651858.CD009956.pub2 DOI
- Dalgas U, Stenager E. Multipel sklerose og fysisk træning. Ugeskr Læger 2005; 167: 1495-9. PubMed
- Petajan JH, White AT. Recommendations for physical activity in patients with multiple sclerosis. Sports Med 1999; 27: 179-91. PubMed
- Sutherland G, Andersen MB. Exercise and multiple sclerosis: physiological, psychological, and quality of life issues. J Sports Med Phys Fitness 2001; 41: 421-32. PubMed
- Krysko KM, Rutatangwa A, Graves J et al. Association Between Breastfeeding and Postpartum Multiple Sclerosis Relapses A Systematic Review and Meta-analysis. JAMA Neurol 2019. epub 4173. pmid:31816024 PubMed
- Lublin FD, Reingold SC, Cohen JA, et al. Defining the clinical course of multiple sclerosis: the 2013 revisions. Neurology. 2014 Jul 15;83(3):278-86. Epub 2014 May 28. PMID: 24871874; PMCID.
- Weinshenker BG, Bass B, Rice GPA, et al. The natural history of multiple sclerosis: a geographically based study. 1. Clinical course and disability. Brain 1980; 112: 133-46. PubMed
- Nicholas R, Rashid W. Multiple sclerosis. Am Fam Physician. 2013 May 15;87(10):712-4. PMID: 23939450 PubMed
- Marrie RA, Elliott L, Marriott J, et al. Effect of comorbidity on mortality in multiple sclerosis. Neurology 2015. pmid:26019190 PubMed
- Bø L. MS-behandlingen – og behovet for bedre beslutningsprosesser. Dagens Medisin 24.02.2020. www.dagensmedisin.no
- RELIS. Lavdose naltrekson (LDN): Mindre smertestillende, men uendret MS-medisinering. 08.11.2017, siden besøkt 22.03.18. relis.no
- Myhr K-M, Harbo HF. Multippel sklerose - en sykdom med kompleks genetikk. Tidsskr Nor Lægeforen 2003; 123: 2723-6. PubMed
- Levin LI, Munger KL, Rubertone MV, et al. Multiple sclerosis and Epstein-Barr virus. JAMA 2003; 289: 1533-6. PubMed
- Achiron A, Kishner I, Sarova-Pinhas I, et al. Intravenous immunoglobulin treatment following the first demyelinating event suggestive of multiple sclerosis: a randomized, double-blind, placebo-controlled trial. Arch Neurol 2004; 61: 1515-20. PubMed
- Polman CH, Reingold SC, Banwell B, et al. Diagnostic criteria for multiple sclerosis: 2010 revisions to the McDonald criteria. Ann Neurol 2011; 69: 292-302. PubMed
- Martinelli Boneschi F, Vacchi L, Rovaris M, Capra R, Comi G. Mitoxantrone for multiple sclerosis. Cochrane Database of Systematic Reviews 2013, Issue 5. Art. No.: CD002127. DOI: 10.1002/14651858.CD002127.pub3. DOI