Malignt melanom i øyet
Malignt melanom, ondartet føflekkskreft, forekommer også i øyet. Prognosen er ganske god, men 1 av 4 av de som behandles for sykdommen, får spredning og dør av sykdommen.

Sist oppdatert:
24. jan. 2020
Hva er malignt melanom i øyet?
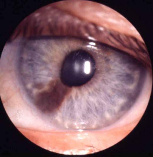
Malignt melanom er kreftutvikling som har sitt utspring i melanocytter, kroppens pigmentceller. De aller fleste maligne melanomer oppstår i huden, men de kan også oppstå i øyet.

Majoriteten (95 prosent) av tilfeller av malignt melanom i øyet oppstår i uvea, en samlebetegnelse for de pigmenterte delene av øyet (iris, corpus ciliare og choroidea). Resten oppstår i øyets ytterste hinne, konjunktiva. Uvea er det midtre blodforsyningslaget i øyet og er beskyttet av senehinnen (sclera) og hornhinnen (kornea). Uvea sørger for blodforsyningen til netthinnen (retina).
Malignt melanom i øyet er den vanligste kreftsvulsten i øyet. Slike svulster er vanligere i nordlige land, med mer enn 8 tilfeller per 1 million innbyggere. Antall nye tilfeller av kreft i øyet var i 2018 i Norge var 41 menn og 41 kvinner. Aldersjusterte rater var samme år for menn 1,6/100.000 og for kvinner 1,5/100.000.
Dette dokumentet er basert på det profesjonelle dokumentet Malignt melanom i øyet . Referanselisten for dette dokumentet vises nedenfor
- Helsedirektoratet. Nasjonal handlingsprogram med retningslinjer for diagnostikk, behandling og oppfølging av maligne melanomer 2017. helsedirektoratet.no
- Harbour JW, Shih HA. Initial management of uveal and conjunctival melanomas. UpToDate, last updated Aug 03, 2018. UpToDate
- Kreftregisteret. Cancer in Norway 2018. Oslo, 2019: www.kreftregisteret.no.
- Shields CL, Furuta M, Berman EL, et al. Choroidal nevus transformation into melanoma: analysis of 2514 consecutive cases. Arch Ophthalmol 2009; 127:981. PubMed
- Missotten GS, Keijser S, De Keizer RJ, De Wolff-Rouendaal D. Conjunctival melanoma in the Netherlands: a nationwide study. Invest Ophthalmol Vis Sci 2005; 46:75. PubMed
- Weis E, Shah CP, Lajous M, et al. The association between host susceptibility factors and uveal melanoma: a meta-analysis. Arch Ophthalmol 2006; 124:54. PubMed
- Weis E, Shah CP, Lajous M, et al. The association of cutaneous and iris nevi with uveal melanoma: a meta-analysis. Ophthalmology 2009; 116:536. PubMed
- Shah CP, Weis E, Lajous M, et al. Intermittent and chronic ultraviolet light exposure and uveal melanoma: a meta-analysis. Ophthalmology 2005; 112:1599. PubMed
- Collaborative Ocular Melanoma Study Group. The COMS randomized trial of iodine 125 brachytherapy for choroidal melanoma: V. Twelve-year mortality rates and prognostic factors: COMS report No. 28. Arch Ophthalmol 2006; 124:1684. PubMed