Ankelartrose
Slitasje i et ankelledd kan oppstå som følge av sykdom, skade eller langvarig belastning. Tilstanden behandles vanligvis med justering av skotøy, øvelser, smertestillende medisiner. De færreste trenger operasjon.

Sist oppdatert:
2. mai 2019
Innhold i artikkelen
Hva er ankelartrose?
1. Os calcaneus (hælbenet) 2. Os cuboideum (terningbenet) 3. Os cuneiforme laterale (laterale kileben) 4. Os cuneiforme mediale (mediale kileben) 5. Os naviculare (båtbenet) 6. Os talus (ankelbenet) 7. Os fibula (det lille leggbenet) 8. Os tibia (skinnebenet)Ankelartrose er betegnelse på slitasjeforandringer (artrose) i ankelleddet. Slike forandringer er vanligvis bare lokalisert til den ene foten. Ankelleddet består av beinflater som er dekket med et lag brusk. Ved begynnende slitasje er det brusken som først blir slitt. Med tiden kan brusken bli så nedslitt at bein gnisser mot bein. Det kan også dannes ujevnheter og forkalkninger i leddet. Dette medfører at det ikke lenger er glatte leddflater som glir mot hverandre, og da blir bevegelsene i leddet smertefulle.
Ankelartrose er ikke så hyppig som artrose i hofte- og kneledd. Som ved andre slitasjetilstander, er det først og fremst eldre personer som får ankelartrose.
Årsaker
Ankelartrose, skrå frontSkade eller sykdom i leddet disponerer for utvikling av artrose. Dette kan for eksempel være ankelbrudd eller kraftig overtråkk som ikke er tilstrekkelig tilhelet. Overvekt disponerer også for artrose. Ellers vil arbeid eller aktivitet som innebærer store belastninger på bena gjennom et langt liv, være en viktig disponerende faktor.
Symptomer

De vanlige symptomene er smerter og stivhet i ankelleddet. Til å begynne med er smertene hovedsakelig til stede i startfasen av fysisk aktivitet og bedrer seg når man har vært i aktivitet og fått "varmet opp" leddet. Senere vil tilstanden ofte utvikles slik at smertene er til stede ved all belastning, og til slutt vil man også kunne være plaget med smerter i hvile. Det er typisk at plagene er mest uttalt ved gange på hardt underlag.
Ankelen kan være opphovnet, og bevegeligheten blir etter hvert nedsatt. Gangfunksjonen kan forstyrres både av smerter og nedsatt bevegelighet.
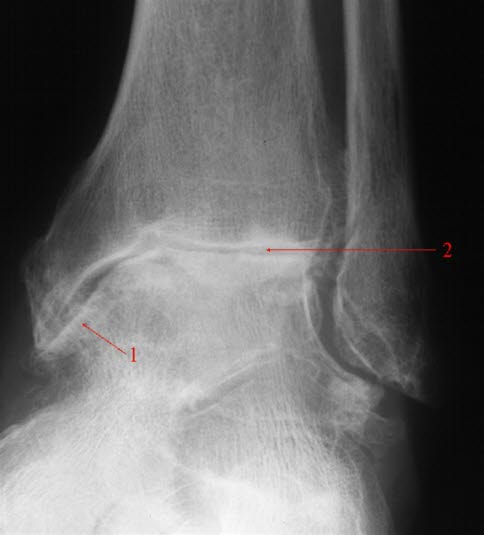
Diagnosen
Forkalkninger og redusert leddspalte.Plagene er typiske. Kombinert med vanlig legeundersøkelse av ankelen kan diagnosen være sannsynlig uten andre undersøkelser. Sikker diagnose fås ved røntgenundersøkelse som viser nedslitt brusk og eventuelt forandringer i selve beinstrukturen.
Behandling
Sko med god støtdemping og oppbygging under hælen kan være nyttig. Det kan dempe plagene og muligens bidra til å bremse den videre utviklingen. Videre gjelder det å unngå overbelastninger, samtidig som en viss fysisk aktivitet bør opprettholdes for å unngå at leddet mister bevegelighet og stivner. Dersom du har et yrke som medfører særlige belastninger på anklene, kan det være nødvendig med omskolering eller skifte av arbeidsplass.
Medikamentell behandling i form av smertestillende og såkalte NSAIDs kan gi lindrende hjelp. Som regel vil det bare være behov for medisiner i korte perioder, f.eks. etter belastninger.
I uttalte tilfeller kan operasjon komme på tale. Dette gjelder spesielt dersom du har smerter også i hvile. Under operasjonen stives leddet av. Dette fører til smertefrihet, men gangfunksjonen blir betydelig redusert. Etter en slik operasjon må pasienten benytte spesiallaget fottøy for å oppveie noe av den nedsatte bevegeligheten i leddet.
Det er også mulig å operere inn en ankelprotese. I 2017 ble det utført 96 slike operasjoner i Norge, 46 av disse var reoperasjoner.
Prognose
Tilstanden vil ofte forverre seg gradvis. Men utviklingen av ankelartrose kan bremses hvis tiltak settes inn på riktig tidspunkt. Bare et fåtall av tilfellene utvikler seg så langt at operasjon er nødvendig.
Dette dokumentet er basert på det profesjonelle dokumentet Artrose, ankel . Referanselisten for dette dokumentet vises nedenfor
- Lozada CJ. Osteoarthritis. Medscape, last updated Mar 27, 2015. emedicine.medscape.com
- Recht MP, Goodwin DW, Winalski CS, White LM. MRI of articular cartilage: revisiting current status and future directions. AJR Am J Roentgenol. 2005 Oct. 185(4):899-914.
- Lin J, Zhang W, Jones A, Doherty M. Efficacy of topical non-steroidal anti-inflammatory drugs in the treatment of osteoarthritis: meta-analysis of randomised controlled trials. BMJ 2004; 329: 324-6. British Medical Journal
- DeGroot H 3rd, Uzunishvili S, Weir R, et al. Intra-articular injection of hyaluronic acid is not superior to saline solution injection for ankle arthritis. J Bone Joint Surg Am 2012; 94: 2-8. PubMed