Brudd i tå
Brudd i en tå er forholdsvis vanlig. Brudd i de minste tærene er ca fire ganger vanligere enn brudd i stortåen. I de aller fleste tilfeller gror slike brudd uten spesielle tiltak.

Sist oppdatert:
15. nov. 2019
Innhold i artikkelen
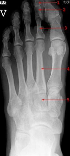
Foten
Foten består av totalt 26 bein. I bakfoten finnes hælbeinet (calcaneus) og ankelbeinet (talus). I midtfoten finnes båtbeinet (naviculare), kube-beinet (cuboideum) og tre såkalte cuneiforme-bein. Fremfoten består av fem mellomfotsbein (metatarser) og 14 tåbein (falanger). Rørknokler som metatarser og falanger har en bakre (proksimal) og en fremre (distal) ende. Den midtre delen av rørknoklene er smal og lang (skaftet), og de ytre delene er fortykkede. Den proksimale enden kalles basis, og den distale benevnes caput. Se tegninger nedenfor:


Ca. 10 prosent av alle brudd forekommer i foten.
Diagnosen

Brudd i foten skyldes en eller annen form for skade. Det oppstår smerter, hevelse og nedsatt funksjon. Ved undersøkelse kan man se hevelse, hudblødning, eventuelt skjevstilling eller åpent sår. Legen kan påvise ømhet, eventuelt ustabilitet og "knitring" mellom bruddendene. Bevegelsesutslag og leddfunksjon blir testet. Det er viktig at legen også kontrollerer sirkulasjonen og nervefunksjonene i foten.
Røntgen bekrefter diagnosen. Brudd i fotens metatarser og falanger kan være vanskelige å påvise hos barn pga. de mange vokstsentrene. I slike tilfeller er det nødvendig å sammenligne med bilder av den andre foten. Annen bildediagnostikk kan noen ganger være nødvendig, eks. scintigrafi, CT, MR, ultralyd.
Behandling
Målet er å sikre god tilheling og gjenvinning av normal funksjon. Førstehjelp kan begrense skadeomfanget: Nedkjøling, immobilisering, heve foten og smertestillende.
Vanligvis trengs ingen aktiv behandling eller immobilisering av tåbrudd, men brudd som står ut av stilling, må settes på plass. Etterpå kan det være aktuelt å teipe den skadde tåen til nabotåen (legg gas eller liknende mellom tærne) i 3 uker, eventuelt må denne immobiliseringen vare noe lengre ved ustabile brudd. Det vil gjerne være god smertestillende effekt av sko med stive såler. Selv om bruddet trenger 3-8 uker for å gro, vil smertene som regel forsvinne lenge før. Ingen rutinekontroll er påkrevd.
Brudd som går gjennom stortåens grunnledd, bør opereres dersom bruddstykkene står ute av stilling. De bør kontrolleres etter 1 og 4 uker. Pasienten kan ha smerter i opptil et år etter et brudd gjennom stårtåens grunnledd.
Andre brudd i foten
Komplikasjoner og prognose
Trykksyndrom (kompartmentsyndrom) som følge av kraftig hevelse i foten, er den alvorligste akutte komplikasjonen til brudd i foten. Vanligvis er det forbundet med midtfot-brudd som følge av en knusningsskade. Det medfører markert hevelse (tidlig) og skader på blodårer og nerver (sent).
Senere komplikasjoner er slitasjeforandringer, manglende tilheling (pseudartrose), ustabil fot og/eller gangvansker.
Prognosen er god dersom man blir behandlet riktig og med tilfredsstillende resultat i akuttfasen.
Vil du vite mer
Dette dokumentet er basert på det profesjonelle dokumentet Metatarsbrudd . Referanselisten for dette dokumentet vises nedenfor
- Hatch RL, Alsobrook JA, Clugston JR. Diagnosis and management of metatarsal fractures. Am Fam Physician 2007; 76: 817-26. PubMed
- Rajiah P. Metatarsal fracture imaging. Medscape, last updated Dec 28, 2015. http://emedicine.medscape.com/article/399372-overview
- Fetzer GB, Wright RW. Metatarsal shaft fractures and fractures of the proximal fifth metatarsal. Clin Sports Med. 2006 Jan. 25(1):139-50, x.
- Boutefnouchet T, Budair B, Backshayesh P, Ali SA. Metatarsal fractures: a review and current concepts. Trauma. 2014;16(3):147–163.
- Dean BJ, Kothari A, Uppal H, Kankate R. The jones fracture classification, management, outcome, and complications: a systematic review. Foot Ankle Spec. 2012 Aug. 5 (4):256-9.
- Chuckpaiwong B, Queen RM, Easley ME, Nunley JA. Distinguishing Jones and proximal diaphyseal fractures of the fifth metatarsal. Clin Orthop Relat Res. 2008 Aug. 466(8):1966-70.
- Gudmundssom B, Arnason O. Metatars og tåfrakturer. Prosedyrer.no. Sist oppdatert 15.03.2018. www.prosedyrer.no
- Nunley JA, Vertullo CJ. Classification, investigation, and management of midfoot sprains: Lisfranc injuries in the athlete. Am J Sports Med 2002; 30: 871-8. PubMed
- Canagasabey MD, Callaghan MJ, Carley S. The sonographic Ottawa Foot and Ankle Rules study (the SOFAR study). Emerg Med J. 2011;28(10):838–840.
- Ekinci S, Polat O, Günalp M, Demirkan A, Koca A. The accuracy of ultrasound evaluation in foot and ankle trauma. Am J Emerg Med. 2013;31(11):1551–1555.
- Zwitser EW, Breederveld RS. Fractures of the fifth metatarsal; diagnosis and treatment. Injury. 2010 Jun. 41(6):555-62.
- Zenios M, Kim WY, Sampath J, Muddu BN. Functional treatment of acute metatarsal fractures: a prospective randomised comparison of management in a cast versus elasticated support bandage. Injury 2005; 36: 832-5. PubMed
- Smith TO, Clark A, Hing CB. Interventions for treating proximal fifth metatarsal fractures in adults: a meta-analysis of the current evidence-base. Foot Ankle Surg. 2011;17(4):300–307.
- Thevendran G, Deol RS, Calder JD. Fifth metatarsal fractures in the athlete: evidence for management. Foot Ankle Clin. 2013;18(2):237–254.
- Mologne TS, Lundeen JM, Clapper MF, O'Brien TJ. Early screw fixation versus casting in the treatment of acute Jones fractures. Am J Sports Med. 2005;33(7):970–975.
- Kerkhoffs GM, Versteegh VE, Sierevelt IN, et al. Treatment of proximal metatarsal V fractures in athletes and non-athletes. BR J Sports Med 2012; doi:10.1136/bjsports-2011-090389. DOI
- Zenios M, Kim WY, Sampath J, Muddu BN. Functional treatment of acute metatarsal fractures: a prospective randomised comparison of management in a cast versus elasticated support bandage. Injury. 2005;36(7):832–835.
- Bica D, Sprouse RA, Armen J. Diagnosis and management of common foot fractures. Am Fam Physician. 2016 Feb 1;93(3):183-191.