Mellomhåndsbrudd, metakarpbrudd
Brudd i mellomhåndsbena, metakarpene, er ikke uvanlig. De fleste kan behandles konservativt, mens noen må opereres.

Sist oppdatert:
7. mai 2019
Innhold i artikkelen
Metakarp
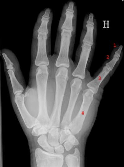
Mellomhåndsbenene, metakarpene, forbinder håndroten med hver av de fem fingrene. De nummereres fra tommelfingersiden til lillefingersiden - fra 1 til 5. Mellomhåndsbena danner ytterst ledd (MCP-leddet) med det innerste fingerbeinet og i den andre enden danner de ledd (CMC-leddet) med håndrotsbena (karpalbena). Det enkelte mellomhåndsbeinet består av to leddhoder og et langt skaft.
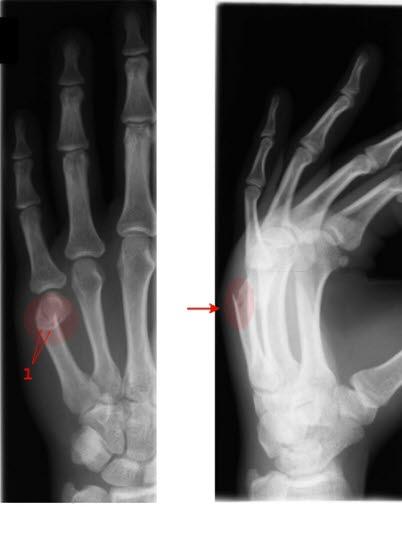
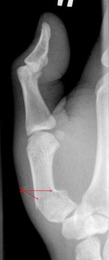
Brudd gjennom leddflaten i basis av 1. metakarp der skaftdelen av det brukne beinet dras ut av stilling fordi en kraftig muskel er festet til dette beinet, betegnes Bennet-bruddBrudd oppstår enten i metakarp-skaftet og/eller i leddhodet. To brudd har fått spesiell oppmerksomhet:
- Brudd i lillefingerens metakarp gjennom leddflaten mot CMC-leddet, betegnes omvendt Bennet-brudd
Brudd i skaftet i metakarpene forekommer hyppig, spesielt i 5. metakarp.


Skademekanismer
Metakarpbrudd oppstår ofte som følge av direkte slagskader på tvers av knokkelens lengderetning. Støt i lengderetningen som ved slag med knyttet hånd ved slagsmål eller slag mot en vegg eller liknende, er også ganske vanlige. Likeledes kan kraftige vridninger gi metakarpbrudd.
Diagnosen
Etter forutgående skade blir hånden eller fingeren opphovnet og smertefull. Beinet kan ha blitt slått skjeivt, og diagnosen er da åpenbar. Et Bennet-brudd skyldes ofte et slag der tommelen tvinges bakover langs sin lengdeakse eller at den bøyes sterkt bakover (abduksjon). På samme måte oppstår et omvendt Bennet-brudd gjerne etter et slag der lillefingeren tvinges bakover langs sin lengdeakse eller at den bøyres sterkt bakover.
Ved undersøkelsen finnes hevelse. Trykk mot beinet utløser smerte. Det er også stukningsømhet på bruddstedet (f.eks. ved lett dunk mot knokene). I noen tilfeller foreligger rotasjonsfeilstilling - ved knyting av hånden vil fingeren krysse over nabofinger. Ved metakarpbrudd vil det ofte foreligge nedsatt bevegelighet i tilstøtende MCP-ledd.
Ved Bennet-brudd er det hevelse og ømhet over 1. metakarp nær håndroten. Av og til er det tydelig feilstilling. Ved omvendt Bennet-brudd er det hevelse og ømhet over 5. metakarp på håndrotssiden.


Røntgen bekrefter diagnosen. Bilder tas alltid i to plan, forfra og fra siden. Det tas vanligvis kontrollbilder etter 1-2 uker og etter 6 uker.
Behandling
Målet med behandlingen er å få satt bruddet pent på plass, stive det av og forhindre seinkomplikasjoner. Brudd som er uten rotasjonsfeilstilling og som ikke har andre større feilstillinger, behandles konservativt. I første, fjerde og femte metakarp aksepteres vinkelfeil på inntil 10-20°. Ja, i 5. metakarp kan feilstilling på opptil 45° aksepteres. I andre og tredje metakarp aksepteres en noe mindre vinkelfeil. Brudd med større feilstillinger opereres. Det samme gjelder brudd man ikke klarer å trykke tilfredsstillende på plass. Bennet-brudd behandles operativt.
Konservativ behandling
De fleste brudd behandles konservativt. Før legen kan dra/trykke bruddet på plass, får du lokalbedøvelse via sprøyte. For å unngå fremtidige plager er det avgjørende at bruddet kommer pent på plass. Avstiving av bruddet skjer enten med å plassere en skinne i håndflaten eller ved å legge på gips. Hånden immobiliseres ved at håndleddet er noe bakoverbøyd samt at fingrene er bøyd 90° i MCP-leddene. Det må være minst 3 fingre i gipsen for å gi stabilitet til bruddet. Mellom fingrene polstres det godt for å unngå gnagsår. Bruddet kontrolleres vanligvis med røntgen 1 og 3 uker etter skaden. Ved ukompliserte metakarpbrudd er immobiliseringen ca 4 uker.
Operativ behandling
Operasjon er nødvendig ved brudd som innbefatter et ledd, ved større skader og feilstillinger og ved rotasjonsfeilstillinger. Som regel brukes pinner eller små plater og skruer til å feste bruddet.
Bennet-brudd må opereres fordi de er ustabile på grunn av sener som drar i bruddendene. Oftest festes de med pinnefiksasjon (Kirschner-pinner) og deretter gips i 6 uker. Etter at gipsen er fjernet, startes opptrening av håndfunksjonen.
Omvendt Bennet-brudd må også opereres fordi bruddet er ustabilt som følge av trekk og drag i senene. Vanligvis gjøres pinnefiksasjon (Kirschner-pinner) og deretter immobiliseres med gips i 6 uker. Etter at gipsen er fjernet, startes opptrening av håndfunksjonen.
Komplikasjoner og prognose
Hvis et brudd gror i rotasjonsfeilstilling, vil fingeren etter tilheling krysse nabofinger når fingrene bøyes. Et brudd som gror i feilstilling, vil medføre redusert bevegelighet og kraft i hånden.
Prognosen etter vanlig metakarpbrudd er god dersom bruddet gror i god stilling. Dersom frakturen tilheler i feilstilling, kan det være kosmetisk skjemmende, og pasienten får eventuelt redusert funksjon av hånden. Også Bennet-brudd gir som regel god funksjon i hånden etter en tids trening.
Video
- Metacarpgips myk - denne typen gips forutsetter at pasienten klarer å være skånsom mot bruddet/hånden
Dette dokumentet er basert på det profesjonelle dokumentet Metakarpbrudd . Referanselisten for dette dokumentet vises nedenfor
- Dye TM. Metacarpal fractures. Medscape, last updated Aug 21, 2018. emedicine.medscape.com
- Bloom JM, Hammert WC. Evidence-based medicine: Metacarpal fractures. Plast Reconstr Surg. 2014 May. 133 (5):1252-60.
- Leggit JC, Meko CJ. Acute finger injuries: Part II. Fractures, dislocations, and thumb injuries. Am Fam Physician 2006; 73: 827-34. PubMed
- Daniels JM II, Zook EG, Lynch JM. Hand and wrist injuries: Part II. Emergent evaluation. Am Fam Physician 2004; 69: 1949-56. American Family Physician
- Kollitz KM, Hammert WC, Vedder NB, Huang JI. Metacarpal fractures: treatment and complications. Hand (N Y). 2014 Mar. 9(1):16-23.
- Neumeister MW, Webb K, McKenna K. Non-surgical Management of Metacarpal Fractures. Clin Plast Surg. 2014 Jul. 41(3):451-461.
- Statius Muller MG, Poolman RW, van Hoogstraten MJ, Steller EP. Immediate mobilization gives good results in boxer's fractures with volar angulation up to 70 degrees: a prospective randomized trial comparing immediate mobilization with cast immobilization. Arch Orthop Trauma Surg 2003; 123: 534-7. PubMed
- Meals C, Meals R. Hand fractures: a review of current tratment strategies. J Hand Surg Am 2013;38(5): 1021-31. PubMed
- Carlsen BT, Moran SL. Thumb trauma: Bennett fractures, Rolando fractures and ulnar collateral ligament injuries. J Hand Surg Am 2009;34(5): 945-52. PubMed
- Haugstvedt J-R. Fingerskader. I: Idrettsskader. Bahr R, Mæhlum S (red.). Oslo: Gazette AS, 2003.
- Eiff MP, Hatch RL, Calmbach WL. Fracture management for primary care. 2nd ed. Philadelphia, Pa.: Saunders, 2003: 63-79.
- Bushnell BD, Draeger RW, Crosby CG, Bynum DK. Management of intraarticular metacarpal base fractures of the second through fifth metacarpals. J Hand Surg Am 2008;33(4): 573-83. PubMed