Håndleddsbrudd
Håndleddsbrudd er den vanligste bruddtypen som forekommer. Bruddet er lokalisert til nedre del av spolbeinet (radius), underarmsbeinet som befinner seg på samme side som tommelen, noen få centimeter ovenfor håndleddet.

Sist oppdatert:
29. mars 2021
Innhold i artikkelen
Hva er et håndleddsbrudd?
Underarmen består av to bein, spolebeinet (radius) på tommelsiden og albuebeinet (ulna) på lillefingersiden. Disse to beina holdes fast sammen av bindevev (syndesmose). Beina danner albueleddet sammen med overarmsbeinet (humerus), og håndleddet sammen med håndrotsbeina.


Brudd i nedre del av radius, mindre enn 4 cm fra nedre ende av beinet, betegnes på fagspråket som distalt radiusbrudd eller fractura radii typica. Denne bruddtypen kan medføre at de to bruddendene spriker eller blir forskjøvet i forhold til hverandre, men bruddet kan også være uten forskyvning av bruddendene. I unntakstilfelle kan bruddet skade nerver som ligger nær.

Brudd i håndleddet er den vanligste bruddskaden som forekommer. Bruddtypen er hyppigst hos eldre kvinner, men det er heller ikke uvanlig hos yngre personer. Cirka 90 prosent av bruddene innebærer at det ytterste bruddstykket er skjøvet opp (dorsalt, mot håndryggssiden) - denne bruddtypen kalles også Colles brudd (se tegningen over).
Selv om vi bruker betegnelsen håndleddsbrudd, så er det ikke et brudd i selve håndleddet, men noen få centimeter ovenfor leddet.
Diagnosen
Skaden oppstår som regel etter et fall hvor man tar seg for, gjerne med strak arm. Bruddet fører umiddelbart til sterke smerter i håndleddet.
Ved undersøkelse finnes hevelse, blålig misfarging, "knitring" ved bevegelser i bruddspalten, og ofte feilstilling av håndleddet med forskyvning av det nederste bruddstykket. Det er lokal smerte som forverres ved trykk mot området. Bevegelse av håndleddet er smertefullt. Legen vil også undersøke om det kan foreligge skade på nerver eller blodårer.


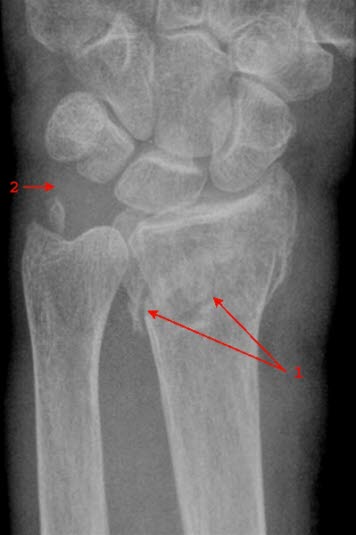
Røntgenbilder tatt forfra og fra siden bekrefter diagnosen (se over). Man ser etter feilstillinger, om det er brudd som innbefatter selve håndleddet, om det er ujevnheter i leddspalten, eller om det foreligger andre beinskader.
Behandling av håndleddsbrudd
Målet med behandlingen er å få satt bruddet tilfredsstillende på plass slik at det tilheler uten feilstilling og slik at du unngår senplager.
Brudd eller brist i beinet som står i god stilling, trenger ikke annen behandling enn gipsing. Brudd som er moderat ute av stilling, men vurderes som stabile, vil man oftest forsøke å reponere (dra på plass) før de gipses. Ved ustabile brudd anbefales operasjon.
Brudd i tilfredsstillende stilling
Disse bruddene gipses med en gipsskinne (video) på håndryggssiden og elastisk bandasje sirkulært, eller det anlegges sirkulær gips som klippes opp slik at den ikke skal bli for trang. Gipsen fjernes vanligvis etter 4 uker. Som regel er det ikke påkrevd med avsluttende røntgenkontroll når bruddet i utgangspunktet stod i god stilling.
Barn med brudd litt høyere opp på radius må følges nøyere.
Stabile brudd
Bruddet må først settes på plass i tilfredsstillende stilling. Du vil få lokalbedøvelse sprøytet inn rundt bruddet når bruddet skal trekkes og trykkes på plass.
Når bruddet er i god stilling, gipses armen fra albuen og ned til knokene, litt kortere på håndflatesiden. Armen immobiliseres i nøytral stilling, og det kontrolleres at det er fri finger- og albuebevegelse. Gipsen skal være på i maksimalt 5-6 uker.
Du må komme til flere røntgenkontroller, slik at man er trygg på at bruddet gror i riktig stilling. Første røntgenkontroll gjøres umiddelbart etter at bruddet er satt på plass. Senere røntgenkontroller avtales i hvert enkelt tilfelle. Avsluttende røntgenkontroll utføres etter 4-6 uker (aldersavhengig).
Det er viktig at du bruker fingrene flittig mens du har gipsen på. Vær oppmerksom på misfarging av fingrene og om gipsen blir for trang. Skjer det, må du snarest kontakte legen din. Det kan hjelpe på hevelse i fingrene å holde armen høyt. Bruk en pute under armen når du ligger eller sitter.
Etter at gipsen er fjernet, er det viktig at du starter å trene opp armen. Dagligdagse aktiviteter som lek, sport og håndarbeid er gode former for opptrening. Etter hvert øker du belastningen.
Ustabile brudd
Det anbefales operasjon dersom man på røntgenbildene finner tegn til manglende stabilitet i bruddet. Kompliserte brudd som går inn i leddet, eller hvor det er knusning av beinvev, vil alltid bli operert. Den mest brukte operasjonsmetoden er innsetting av en metallplate over bruddspalten. Det er også mulig å stabilisere bruddet med metallpinner som går gjennom huden.
Rehabilitering
Et par uker etter fjerning av gips bør det være fremgang vedrørende funksjon og smerter. I motsatt fall kan henvisning til gjenopptrening være påkrevd.
Som nevnt, dagligdagse aktiviteter som lek, sport og håndarbeid er ofte den beste form for opptrening. Gjenopptrening i samarbeid med fysioterapeut eller ergoterapeut kan være aktuelt ved kompliserte brudd. Ved stabile brudd som står på plass, er det ikke vist at slik behandling fører til bedre resultat enn om man gjør øvelser selv. Alle som behandles for underarmsbrudd, skal få instruksjon om øvelser og aktiviteter som bidrar til et godt resultat.
Varsko!
Får du smerter og hevelse i fingrene, må du snarest ta kontakt med lege! Det kan skyldes at gipsen er for trang. Går du for lenge med for trang gips, kan det gi skader.
Slike håndleddsbrudd i kombinasjon med trang gips kan føre til en kronisk smertetilstand i armen og hånden - såkalt refleksdystrofi. Derfor er det viktig at du tar snarlig kontakt med lege/legevakt dersom gipsen klemmer, og du mistenker for trang gips.
Studier tyder på at forebyggende behandling med vitamin C, 500 mg per dag i 50 dager, kan bidra til å redusere risiko for refleksdystrofi. Det er en enkel og ufarlig behandling.
Komplikasjoner som kan oppstå
De vanligste komplikasjoner til håndleddsbrudd er feilstillinger, nerveskader av medianusnerven og ulnarisnerven, muskellosjesyndrom med skader på muskler og sener i armen, eventuelt refleksdystrofi. Du kan oppleve redusert kraft og bevegelighet i underarm og hånd som kan vedvare lenge. I de fleste tilfeller går dette seg til og armen blir nesten som før. Feilstillinger kan forårsake smerter, slitasjeforandringer i leddet og seneskader.
Hvordan er prognosen?
Prognosen er vanligvis god dersom bruddet blir satt riktig på plass. Jo dårligere bruddstykkene settes sammen, jo større er risikoen for langvarige og noen ganger kroniske problemer med stivhet, nedsatt kraft og smerter.
Video
- Sirkulær radiusgips - hard gips som benyttes når hevelse ikke lenger er et problem
Dette dokumentet er basert på det profesjonelle dokumentet Radiusbrudd distalt . Referanselisten for dette dokumentet vises nedenfor
- Nelson DL. Distal radius fractures. Medscape, last updated Jun 24, 2020. emedicine.medscape.com
- Enger M. Distal radiusfraktur (Colles). Oslo legevakt, sist oppdatert 20.10.2020. skadelegevakten.no
- Kvernmo HD, Krukhaug Y. Behandling av distale radiusfrakturer. Tidsskr Nor Legeforen 2013; 133: 405-10. doi: 10.4045/tidsskr.12.0297 DOI
- Kvernmo HD, Hove LM, Odinsson A, et al. Behandlingsretningslinjer for håndleddsbrudd hos voksne. Norsk Ortopedisk forening, sist oppdatert Aug 10, 2015. docplayer.me
- Slutsky DJ. Predicting the outcome of distal radius fractures. Hand Clin 2005; 21: 289-94. PubMed
- Handoll HHG, Elliott J. Rehabilitation for distal radial fractures in adults. Cochrane Database of Systematic Reviews 2015, Issue 9. Art. No.: CD003324. DOI: 10.1002/14651858.CD003324.pub3. DOI
- Zollinger PE, Tuinebreijer WE, Breederveld RS, Kreis RW. Can vitamin C prevent complex regional pain syndrome in patients with wrist fractures? A randomized, controlled, multicenter dose-response study. J Bone Joint Surg Am 2007; 89: 1424-31. PubMed