Albuebrudd i collum radii
Hos barn kan et albuebrudd skyldes brudd i øvre del av spolbeinet, i collum radii. Bare unntaksvis er det nødvendig med operasjon for å feste bruddendene.

Sist oppdatert:
10. mai 2019
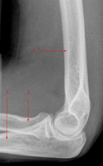
Underarmen og collum radii
Underarmen består av to bein: spolebeinet (radius) på tommelsiden og albuebeinet (ulna) på lillefingersiden. Disse to beina danner ledd med overarmsbeinet i albuen og med håndrotsbeina i håndleddet. Beina holdes fast sammen av bindevev. Se røntgenbilder av et normalt albueledd sett forfra og fra siden:


Brudd i øvre del av radius, ved overgangen til radiushodet (som danner ledd med overarmsbeinet), og utgjør 5-10% av alle bruddtyper hos barn.
Skademekanisme
Skaden oppstår enten ved fall på strak arm, eller ved direkte slag mot denne delen av albuen.
Diagnosen
Skaden gir umiddelbart smerte, hevelse, nedsatt bevegelighet. Ved undersøkelse er albuen hoven. Den skadde angir smerter på tommelsiden av albuen og er øm ved trykk på radiushodet. Det er ikke mulig å strekke ut fullt i albuen, og det er smerter ved utover- og innoverrotasjon i underarmen. Legen vil forsikre seg om at det ikke foreligger samtidig skade i skulderledd eller håndledd.
Diagnosen bekreftes ved røntgen.
Behandling
Målet med behandlingen er å få bruddet til å gro i riktig stilling slik at den skadde gjenvinner normal funksjon i albuen. Behandlingen er konservativ hvis bruddet står i rett stilling eller bare er litt ut av stilling, eller at legen klarer å trykke det på plass i god stilling (gjøres i narkose). Hvis legen ikke klarer å sette på plass et brudd som er ute av stilling, kan det bli aktuelt å operere.
Konservativ behandling
Dersom bruddet står i god stilling, gipses armen i 1 uke med albuen i 90 graders vinkel, eventuelt holdes armen i slynge i 3-4 uker. Er bruddet litt ute av stilling, beholdes gipsen i 2-3 uker. Må legen presse bruddet på plass, får du en kortvarig narkose for å unngå smertene, deretter gipses armen.
Etter at gipsen er fjernet, starter du med forsiktig opptrening av bevegeligheten. Unngå kraftig bruk av armen de første 2-3 måneder. Bevegeligheten kommer seg som regel fint, men det kan ta flere måneder i enkelte tilfeller.
Hvis bruddet står pent, er det tilstrekkelig med kontroll med røntgen 1 uke etter skaden. For de øvrige bruddtypene kontrolleres vanligvis med røntgen 1, 2, 3 og 6 uker etter skaden.
Operasjon
Ved mislykket forsøk på å få bruddet på plass vurderes operasjon. Man setter da bruddet i tilfredsstillende stilling og fester bruddet med en pinne - vanligvis uten å avstive leddet. Gipsing, opptrening og kontroller er som ved konservativ behandling.
Prognose
Prognosen er vanligvis god. Bevegeligheten i albuen blir oftest bra, men det kan ta flere måneder. Mulige seinfølger er nedsatt bevegelighet ved utadrotasjon (supinasjon) i underarmen, skader i leddet som gir nedsatt bevegelighet i albuen og tidlig lukning av voksesonen i radius, dvs. beinet blir kortere enn det var tiltenkt.
Albuesmerter, bevegelsesinnskrenkning eller manglende tilheling kan bli resultatet hos voksne.