Sarkoidose
Sarkoidose kan ramme mange organer, men først og fremst lungene. Knuteliknende betennelser finnes spredt. Opptil halvparten er uten symptomer, men noen vil trenge langvarig behandling med kortikosteroider.

Sist oppdatert:
17. juli 2020
Hva er sarkoidose?
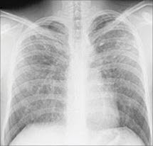
Sarkoidose i lungeneSarkoidose er en sykdom som kan angripe mange organer i kroppen. Den typiske forandringen er en knuteliknende betennelse (granulomatøs betennelse) som kan finnes i ulike organer. Sarkoidose finnes som oftest i lungene og i lymfeknuter i lungehulen (hiluskjertlene), men forandringer utenfor brysthulen er hyppige. De vanligste lokalisasjonene der man finner betennelsen, er foruten i lungene, i hud, øyne, sentralnervesystemet, skjelettet og hjertet.
Sykdommen kan starte akutt eller utvikle seg langsomt med få eller ingen symptomer over tid. I de fleste tilfeller er sarkoidose en selvhelbredende sykdom.
Dette dokumentet er basert på det profesjonelle dokumentet Sarkoidose . Referanselisten for dette dokumentet vises nedenfor
- Soto-Gomez N, Peters JI. Diagnosis and management of sarcoidosis. Am Fam Physician. 2016 May 15;93(10):840-850.
- Iannuzzi MC, Rybicki BA, Teirstein AS. Sarcoidosis. N Engl J Med 2007; 357: 2153-65. PubMed
- Shinn J, Paauw DS. The Management of Sarcoidosis: A Primary Care Approach. Med Clin North Am. 2015;99:1123-48. doi: 10.1016/j.mcna.2015.05.008 DOI
- Milman N, Mortensen SAa. Kardial sarkoidose. Ugeskr Læger 2006; 168: 3801-5. PubMed
- Borchsenius F. Sarkoidose. Norsk legemiddelhåndbok, sist oppdatert 27.01.2016. legemiddelhandboka.no
- Boeck C. Multiple benign sarcoid of the skin. J Cutan Genitourin Dis 1899; 17: 543-50. PubMed
- Arkema EV, Cozier YC. Epidemiology of sarcoidosis: current findings and future directions. Ther Adv Chronic Dis 2018; 9(11): 227-240. pmid:30364496 PubMed
- King TE. Clinical manifestations and diagnosis of pulmonary sarcoidosis. UpToDate, last updated Aug 06, 2019. www.uptodate.com
- Arkema EV, Grunewald J, Kullberg S, et al. Sarcoidosis incidence and prevalence: a nationwide register-based assessment in Sweden. Eur Respir J 2016; 48(6): 1690-1699. pmid: 27471207 PubMed
- Baughman RP, Field S, Costabel U, et al. Sarcoidosis in America. Analysis Based on Health Care Use. Ann Am Thorac Soc 2016; 13(8): 1244-52. pmid:27509154 PubMed
- Duchemann B, Annesi-Maesano I, Jacobe de Naurois C, et al. Prevalence and incidence of interstitial lung diseases in a multi-ethnic county of Greater Paris. Eur Respi J 2017; 50(2): pii: 1602419. pmid:28775045 PubMed
- Valeyre D, Prasse A, Nunes H, et al. Sarcoidosis. Lancet. 2014 Mar 29;383(9923):1155-67. pmid: 24090799 PubMed
- King TE. Treatment of pulmonary sarcoidosis: Initial therapy with glucocorticoids. UpToDate, last updated Jan 25, 2017. UpToDate
- Hernandez-Pando R, Bornstein QL, Aguilar Leon D, Orozco EH, Madrigal VK, Martinez Cordero E. Inflammatory cytokine production by immunological and foreign body multinucleated giant cells. Immunology 2000; 100: 352-8. PubMed
- Brean A, Bekkelund SI. Nevrosarkoidose. Tidsskr Nor Lægeforen 2003; 123: 645-7. PubMed
- Vinas FC, Rengachary S. Diagnosis and management of neurosarcoidosis. J Clin Neurosci 2001; 8: 505 - 13. PubMed
- Birnie DH, Sauer WH, Bogun F, et al. HRS expert consensus statement on the diagnosis and management of arrhythmias associated with cardiac sarcoidosis. Heart Rhythm. 2014;11(7):1305–1323.
- Kouranos V, Sharma R. Cardiac sarcoidosis: state-of-the-art review. Heart 2021. doi:10.1136/heartjnl-2019-316442 DOI
- Norsk forening for lungemedisin: Faglige retningslinjer for sarkoidose. Norsk sarkoidoseforening, 2019. Oversatt fra Svensk Lungmedicinsk Förenings Vårdprogram för Sarkoidos 2014 (0ppdatert 2018). Oversetter: Trond Bjørge. sarkoidose.no
- Cox CE, Donohue JF, Brown CD, et al. Health-related quality of life of persons with sarcoidosis. Chest 2004; 125: 997-1004. PubMed
- Grunewald J, Eklund A. Sex-specific manifestations of Löfgren's syndrome. Am J Respir Crit Care Med 2007; 175(1): 40-4. pmid:17023727 PubMed
- Costabel U. Sarcoidosis: clinical update. Eur Respir J Suppl 2001; 32: 56s-68s. PubMed
- Sand M, Sand D, Thrandorf C. Cutaneous lesions of the nose. Head Face Med 2010. pmid:20525327 PubMed
- Idali F, Wikén M, Wahlström J, et al. Reduced Th1 response in the lungs of HLA-DRB1*0301 patients with pulmonary sarcoidosis. Eur Respir J 2006; 27: 451-9. PubMed
- Yanardag H, Pamuk ON, Pamuk GE. Lupus pernio in sarcoidosis: clinical features and treatment outcomes of 14 patients. J Clin Rheumatol 2003; 9: 72-6. PubMed
- Dempsey OJ, Paterson EW, Kerr KM, Denison AR. Sarcoidosis. Clinical review. BMJ 2009; 339: b3206. BMJ (DOI)
- Bonfioli AA, Orefice F. Sarcoidosis. Semin Ophthalmol 2005; 20: 177-82. PubMed
- Uemura A, Morimoto S, Hiramitsu S, Kato Y, Ito T, Hishida H. Histologic diagnostic rate of cardiac sarcoidosis: evaluation of endomyocardial biopsies. Am Heart J 1999; 138: 299-302. PubMed
- Spencer TS, Campellone JV, Maldonado I, Huang N, Usmani Q, Reginato AJ. Clinical and magnetic resonance imaging manifestations of neurosarcoidosis. Semin Arthritis Rheum 2005; 34: 649-61. PubMed
- Eurelings LEM, Miedema JR, Dalm VASH, et al. Sensitivity and specificity of serum soluble interleukin-2 receptor for diagnosing sarcoidosis in a population of patients suspected of sarcoidosis. PLoS One. 2019;14(10):e0223897. Published 2019 Oct 17. doi:10.1371/journal.pone.0223897 DOI
- Baughman RP. Pulmonary sarcoidosis. Clin Chest Med 2004; 25: 521. PubMed
- Baughman RP, Teirstein AS, Judson MA, et al. Clinical characteristics of patients in a case control study of sarcoidosis. Am J Respir Crit Care Med 2001; 164: 1885-9. PubMed
- Nunes H, Brillet PY, Valeyre D, Brauner MW, Wells AU. Imaging in sarcoidosis. Semin Respir Crit Care Med 2007; 28: 102-20. PubMed
- Sobic-Saranovic D, Artiko V, Obradovic V. FDG PET imaging in sarcoidosis. Semin Nucl Med. 2013;43(6):404–411.
- Annema JT, Veseliç M, Rabe KF. Endoscopic ultrasound-guided fine-needle aspiration for the diagnosis of sarcoidosis. Eur Respir J 2005; 25: 405-9. PubMed
- von Bartheld MB, Dekkers OM, Szlubowski A, et al. Endosonography vs conventional bronchoscopy for the diagnosis of sarcoidosis: the GRANULOMA randomized clinical trial. JAMA. 2013;309(23):2457–2464.
- Kamangar N. Sarcoidosis. Medscape, last updated Jun 20, 2019. emedicine.medscape.com
- Stern BJ. Neurological complications of sarcoidosis. Curr Opin Neurol. 2004;17(3):311–316.
- Paramothayan NS, Lasserson TJ, Jones P. Corticosteroids for pulmonary sarcoidosis. Cochrane Database of Systematic Reviews 2005, Issue 2. Art. No.: CD001114. DOI: 10.1002/14651858.CD001114.pub2. DOI
- Pietinalho A, Tukiainen P, Haahtela T, Persson T, Selroos O; Finnish Pulmonary Sarcoidosis Study Group. Early treatment of stage II sarcoidosis improves 5-year pulmonary function. Chest 2002; 121: 24-31. PubMed
- Baughman RP, Lower EE. Treatment of Sarcoidosis. Clin Rev Allergy Immunol. 2015;49(1):79-92. PubMed
- Baughman RP, Costabel U, du Bois RM. Treatment of sarcoidosis. Clin Chest Med 2008; 29: 533. PubMed
- Baughman RP, Lower EE, du Bois RM. Sarcoidosis. Lancet 2003; 361: 1111-8. PubMed
- Rothova A. Ocular involvement in sarcoidosis. Br J Ophathalmol 2000; 84: 110-6. PubMed
- Dev S, McCallum RM, Jaffe GJ. Methotrexate treatment for sarcoid-associated panuveitis. Ophthalmology 1999; 106: 111-8. PubMed
- Stern BJ, Schonfeld SA, Sewell C, Krumholz A, Scott P, Belendiuk G. The treatment of neurosarcoidosis with cyclosporine. Arch Neurol 1992; 49: 1065-72. PubMed
- Sekiguchi M, Yazaki Y, Isobe M, Hiroe M. Cardiac sarcoidosis: diagnostic, prognostic, and therapeutic considerations. Cardiovasc Drugs Ther 1996; 10: 495-510. PubMed
- Weill D, Benden C, Corris PA, et al. A consensus document for the selection of lung transplant candidates: 2014—an update from the Pulmonary Transplantation Council of the International Society for Heart and Lung Transplantation. J Heart Lung Transplant. 2015;34(1):1–15.
- Ungprasert P, Crowson CS, Matteson EL. Risk of cardiovascular disease among patients with sarcoidosis: a population-based retrospective cohort study, 1976-2013. Eur Respir J. 2017. PMID: 28182567 PubMed
- Svensk Lungmedicinsk Förening. Nationellt vårdprogram om Sarkoidos, oktober 2014. www.slmf.se
- Rossides M, Kullberg S, Askling J et al. Sarcoidosis mortality in Sweden: a population-based cohort study. Eur Respir J 2018. pmid:29467203 PubMed
- Statement on sarcoidosis. Joint Statement of the American Thoracic Society (ATS), the European Respiratory Society (ERS) and the World Association of Sarcoidosis and Other Granulomatous Disorders (WASOG) adopted by the ATS Board of Directors and by the ERS Executive Committee, February 1999. Am J Respir Crit Care Med. 1999;160(2):736–755.