Sarkoidose
Sarkoidose kan ramme mange organer, men først og fremst lungene. Knuteliknende betennelser finnes spredt. Opptil halvparten er uten symptomer, men noen vil trenge langvarig behandling med kortikosteroider.

Sist oppdatert:
17. juli 2020
Hva er sarkoidose?
Sarkoidose i lungeneSarkoidose er en sykdom som kan angripe mange organer i kroppen. Den typiske forandringen er en knuteliknende betennelse (granulomatøs betennelse) som kan finnes i ulike organer. Sarkoidose finnes som oftest i lungene og i lymfeknuter i lungehulen (hiluskjertlene), men forandringer utenfor brysthulen er hyppige. De vanligste lokalisasjonene der man finner betennelsen, er foruten i lungene, i hud, øyne, sentralnervesystemet, skjelettet og hjertet.
Sykdommen kan starte akutt eller utvikle seg langsomt med få eller ingen symptomer over tid. I de fleste tilfeller er sarkoidose en selvhelbredende sykdom.
Forekomst
Sarkoidose er en relativt sjelden sykdom. Forekomsttallene er usikre, dels fordi en betydelig andel av sykdomstilfellene er uten symptomer, dels fordi de diagnostiske retningslinjene varierer i ulike studier. Sykdommen oppdages som regel hos personer mellom 30-55 år, og den forekommer kanskje litt hyppigere hos kvinner enn hos menn.
Forekomsten på verdensbasis er høyest i nordiske land og hos afroamerikanere i USA. I Sverige har man funnet at det er ca. 160 tilfeller per 100 000 innbyggere. Antall nye tilfeller per år der er rundt 12 per 100 000 per år.
Årsaker
Årsaken er ukjent, men både arvelige og miljømessige faktorer synes å spille en rolle. Flere aktuelle gener er blitt lokalisert. Leting etter en mulig infeksiøs årsak har vært mislykket. Sarkoidose er ikke en ondartet sykdom, men sykdommen regnes som en forstyrrelse i immunsystemet. Dog vet man ikke hvilke stoffer som utløser immunreaksjonen. Kjennetegnet på sykdommen er granulomene, knuter med betennelsesforandringer. Som nevnt er lungene det organet som oftest er angrepet.
Hos omtrent fem prosent av sarkoidose-pasientene er nervesystemet merkbart angrepet. Oftest oppstår forandringene i hjernenervene, spesielt synsnerven, men også ryggmargen kan være angrepet. Nevrosarkoidose er en tilstand med stor variasjon i sykdomsbildet fra pasient til pasient og uten entydige diagnostiske markører. Men diagnosen er viktig å stille fordi sykdommen kan behandles.
Hos pasienter med sarkoidose finnes granulomer i hjertemuskelen hos 30 prosent, mens åpenbare tegn på hjerte-sarkoidose ses bare hos fem prosent. Slike tegn kan være hjerteposebetennelse (perikarditt), hjerterytmeforstyrrelser, klaffesvikt, utposninger på hjertekammer, hjertesvikt og plutselig hjertedød. Riktig behandling bedrer prognosen.
Det kan forekomme andre tilfeller av sarkoidose i familien.
Symptomer og tegn
Sykehistorien avhenger av omfanget og graden av betennelse i involverte organ. 30-50 prosent er symptomfrie og oppdages ved et rutinemessig røntgenbilde av lungene. Hos pasienter med symptomer skiller man mellom akutt og smygende oppstart av sykdommen. Lungene er involvert hos mer enn 90 prosent av pasientene, og hyppige symptomer er derfor hoste, tungpusthet og diffuse brystsmerter. En tredjedel av pasientene har uspesifikke symptomer som feber, slapphet, vekttap og nedsatt allmenntilstand. Det kan også foreligge symptomer og plager fra hud, lever, nyre, øyne, nerver, skjelettet eller hjerte.
Akutt sarkoidose
To sykdomsbilder peker seg ut:
- Löfgrens syndrom
- Feber, leddsmerter, muskelsmerter, vekttap, slapphet og tungpust som har utviklet seg over noe tid
- Leddbetennelse med hevelse og belastningssmerter, særlig i ankelledd/fotledd
- Ved hudpåvirkning er det klassiske symptomet såkalt knuterosen. Det er et smertefullt, rødt og sirkulært utslett på fremsiden av leggen (ofte over skinnebeinet)
- Forhøyet blodsenkning (SR) og røntgen av lungene viser forstørrede kjertler på begge sider i mellomrommet mellom lungene (hilusglandlene)
- Herfords syndrom
- Øynene kan bli smertefulle med tåkesyn, noe som skyldes betennelse på regnbuehinnen (iridosyklitt)
- Noen ganger eneste tegn på akutt sarkoidose
- Betennelse i spyttkjertel (parotitt)
- Ansiktslammelse (facialisparese)
- Forstørrede hilusglandler
- Øynene kan bli smertefulle med tåkesyn, noe som skyldes betennelse på regnbuehinnen (iridosyklitt)
Sarkoidose med smygende sykdomsdebut
Ved smygende sykdomsdebut kan pasientene ha symptomer på en lengre tids tiltakende tungpusthet ved anstrengelse, tretthet, hoste, diffuse brystsmerter og eventuelt vekttap.
Kronisk sarkoidose
Dersom det foreligger kliniske tegn på sykdommen i mer enn to år, betegnes tilstanden som kronisk. I denne gruppen har lungeforandringene vanligvis rukket å bli mer uttalte. Forstørrede lymfeknuter inne i lungehulen og betennelsesforandringer i lungevevet er vanlig. Hos to tredjedeler går lungeforandringene spontant tilbake, hos én tredjedel vedvarer de.
Tilstanden kan også presentere seg med symptomer fra hud, øyne, perifere nerver, lever, nyrer eller hjerte. Økende lungefibrose kan hos noen få lede til alvorlige pustevansker. Angrep av nervesystem, hjerte, skjelett og øyne, likeledes høyt kalsium forekommer også.
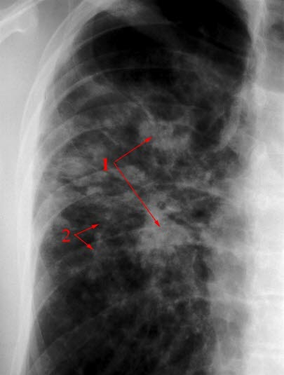
Diagnostikk
Sarkoidose i lungerSymptomene kan gi mistanke, men oftest vil det være røntgenbilder som viser de typiske forandringene i lungene (se bilde). For å kunne stille en sikker diagnose er det likevel nødvendig med mikroskopisk undersøkelse av en vevsprøve fra lungene, noe som vanligvis blir tatt i forbindelse med bronkoskopi. På bakgrunn av røntgenbildene kan sarkoidose inndeles i ulike stadier fra stadium I (minst uttalt) til stadium IV (mest uttalt).
Andre aktuelle bildediagnostiske metoder som noen ganger brukes i utredningen av mistenkt sarkoidose, er CT, MR og PET.
Behandling
Sarkoidose som bare påvirker lungene, er ofte selvhelbredende. For mange vil det ikke være nødvendig med noen behandling av sykdommen. Det anbefales imidlertid nøye overvåkning av eventuelle symptomer, røntgen av lungene og blodprøver med 3 til 6 måneders intervall.
Löfgrens syndrom er ofte selvhelbredende og behøver vanligvis ingen behandling. Ved lungesarkoidose som gir plagsomme symptomer er forøvrig kortikosteroider (prednisolon) hovedbehandlingen. Internasjonalt er det imidlertid forskjeller i hvordan slik behandling gjennomføres.
Prednisolonbehandling er en langvarig behandling som strekker seg fra omtrent 3 måneder og opptil ett år. Spesielt ved sykdom utenfor lungene kan behandlingen noen ganger bli langvarig. Kortikosteroider er også hovedbehandlingen ved sarkoidose utenfor lungene.
I noen tilfeller kan det være nødvendig å gi tilleggsmedisiner eller alternative medisiner. Antimalariamidler og cellegift har blitt brukt som kortisonsparende medikamenter, og nye medikamentgrupper som biologiske medisiner prøves nå ut. Metotreksat virker kortisonsparende og er aktuelt ved kronisk sarkoidose der kortisonbehandling alene ikke har ført fram. En rekke biologiske legemidler for behandling av inflammatoriske sykdommer har kommet ut på markedet de siste årene.
Prognose
Avhengig av hvilke organer som påvirkes, vil forløpet til sykdommen være forskjellig. For to av tre pasienter er dette en sykdom som etter en tid vil ha helbredet seg selv. Ved akutt sarkoidose (Löfgrens eller Herfords syndrom) regner ekspertene at sykdommen går tilbake av seg selv innen 2 år, over 90 prosent er friske innen 1 år.
Hos opptil en tredjedel av pasientene må man regne med et kronisk sykdomsforløp. Opptil halvparten av dem vil utvikle varige sykdomsforandringer i lungene (fibrose), som medfører redusert lungekapasitet.
Det er videre viktig å vite at sarkoidose ikke er en smittsom sykdom. Det kan også være lurt å informere familie og venner om at du som følge av sykdommen, kan ha perioder da du har lett for å føle deg trett og slapp.
Dette dokumentet er basert på det profesjonelle dokumentet Sarkoidose . Referanselisten for dette dokumentet vises nedenfor
- Soto-Gomez N, Peters JI. Diagnosis and management of sarcoidosis. Am Fam Physician. 2016 May 15;93(10):840-850.
- Iannuzzi MC, Rybicki BA, Teirstein AS. Sarcoidosis. N Engl J Med 2007; 357: 2153-65. PubMed
- Shinn J, Paauw DS. The Management of Sarcoidosis: A Primary Care Approach. Med Clin North Am. 2015;99:1123-48. doi: 10.1016/j.mcna.2015.05.008 DOI
- Milman N, Mortensen SAa. Kardial sarkoidose. Ugeskr Læger 2006; 168: 3801-5. PubMed
- Borchsenius F. Sarkoidose. Norsk legemiddelhåndbok, sist oppdatert 27.01.2016. legemiddelhandboka.no
- Boeck C. Multiple benign sarcoid of the skin. J Cutan Genitourin Dis 1899; 17: 543-50. PubMed
- Arkema EV, Cozier YC. Epidemiology of sarcoidosis: current findings and future directions. Ther Adv Chronic Dis 2018; 9(11): 227-240. pmid:30364496 PubMed
- King TE. Clinical manifestations and diagnosis of pulmonary sarcoidosis. UpToDate, last updated Aug 06, 2019. www.uptodate.com
- Arkema EV, Grunewald J, Kullberg S, et al. Sarcoidosis incidence and prevalence: a nationwide register-based assessment in Sweden. Eur Respir J 2016; 48(6): 1690-1699. pmid: 27471207 PubMed
- Baughman RP, Field S, Costabel U, et al. Sarcoidosis in America. Analysis Based on Health Care Use. Ann Am Thorac Soc 2016; 13(8): 1244-52. pmid:27509154 PubMed
- Duchemann B, Annesi-Maesano I, Jacobe de Naurois C, et al. Prevalence and incidence of interstitial lung diseases in a multi-ethnic county of Greater Paris. Eur Respi J 2017; 50(2): pii: 1602419. pmid:28775045 PubMed
- Valeyre D, Prasse A, Nunes H, et al. Sarcoidosis. Lancet. 2014 Mar 29;383(9923):1155-67. pmid: 24090799 PubMed
- King TE. Treatment of pulmonary sarcoidosis: Initial therapy with glucocorticoids. UpToDate, last updated Jan 25, 2017. UpToDate
- Hernandez-Pando R, Bornstein QL, Aguilar Leon D, Orozco EH, Madrigal VK, Martinez Cordero E. Inflammatory cytokine production by immunological and foreign body multinucleated giant cells. Immunology 2000; 100: 352-8. PubMed
- Brean A, Bekkelund SI. Nevrosarkoidose. Tidsskr Nor Lægeforen 2003; 123: 645-7. PubMed
- Vinas FC, Rengachary S. Diagnosis and management of neurosarcoidosis. J Clin Neurosci 2001; 8: 505 - 13. PubMed
- Birnie DH, Sauer WH, Bogun F, et al. HRS expert consensus statement on the diagnosis and management of arrhythmias associated with cardiac sarcoidosis. Heart Rhythm. 2014;11(7):1305–1323.
- Kouranos V, Sharma R. Cardiac sarcoidosis: state-of-the-art review. Heart 2021. doi:10.1136/heartjnl-2019-316442 DOI
- Norsk forening for lungemedisin: Faglige retningslinjer for sarkoidose. Norsk sarkoidoseforening, 2019. Oversatt fra Svensk Lungmedicinsk Förenings Vårdprogram för Sarkoidos 2014 (0ppdatert 2018). Oversetter: Trond Bjørge. sarkoidose.no
- Cox CE, Donohue JF, Brown CD, et al. Health-related quality of life of persons with sarcoidosis. Chest 2004; 125: 997-1004. PubMed
- Grunewald J, Eklund A. Sex-specific manifestations of Löfgren's syndrome. Am J Respir Crit Care Med 2007; 175(1): 40-4. pmid:17023727 PubMed
- Costabel U. Sarcoidosis: clinical update. Eur Respir J Suppl 2001; 32: 56s-68s. PubMed
- Sand M, Sand D, Thrandorf C. Cutaneous lesions of the nose. Head Face Med 2010. pmid:20525327 PubMed
- Idali F, Wikén M, Wahlström J, et al. Reduced Th1 response in the lungs of HLA-DRB1*0301 patients with pulmonary sarcoidosis. Eur Respir J 2006; 27: 451-9. PubMed
- Yanardag H, Pamuk ON, Pamuk GE. Lupus pernio in sarcoidosis: clinical features and treatment outcomes of 14 patients. J Clin Rheumatol 2003; 9: 72-6. PubMed
- Dempsey OJ, Paterson EW, Kerr KM, Denison AR. Sarcoidosis. Clinical review. BMJ 2009; 339: b3206. BMJ (DOI)
- Bonfioli AA, Orefice F. Sarcoidosis. Semin Ophthalmol 2005; 20: 177-82. PubMed
- Uemura A, Morimoto S, Hiramitsu S, Kato Y, Ito T, Hishida H. Histologic diagnostic rate of cardiac sarcoidosis: evaluation of endomyocardial biopsies. Am Heart J 1999; 138: 299-302. PubMed
- Spencer TS, Campellone JV, Maldonado I, Huang N, Usmani Q, Reginato AJ. Clinical and magnetic resonance imaging manifestations of neurosarcoidosis. Semin Arthritis Rheum 2005; 34: 649-61. PubMed
- Eurelings LEM, Miedema JR, Dalm VASH, et al. Sensitivity and specificity of serum soluble interleukin-2 receptor for diagnosing sarcoidosis in a population of patients suspected of sarcoidosis. PLoS One. 2019;14(10):e0223897. Published 2019 Oct 17. doi:10.1371/journal.pone.0223897 DOI
- Baughman RP. Pulmonary sarcoidosis. Clin Chest Med 2004; 25: 521. PubMed
- Baughman RP, Teirstein AS, Judson MA, et al. Clinical characteristics of patients in a case control study of sarcoidosis. Am J Respir Crit Care Med 2001; 164: 1885-9. PubMed
- Nunes H, Brillet PY, Valeyre D, Brauner MW, Wells AU. Imaging in sarcoidosis. Semin Respir Crit Care Med 2007; 28: 102-20. PubMed
- Sobic-Saranovic D, Artiko V, Obradovic V. FDG PET imaging in sarcoidosis. Semin Nucl Med. 2013;43(6):404–411.
- Annema JT, Veseliç M, Rabe KF. Endoscopic ultrasound-guided fine-needle aspiration for the diagnosis of sarcoidosis. Eur Respir J 2005; 25: 405-9. PubMed
- von Bartheld MB, Dekkers OM, Szlubowski A, et al. Endosonography vs conventional bronchoscopy for the diagnosis of sarcoidosis: the GRANULOMA randomized clinical trial. JAMA. 2013;309(23):2457–2464.
- Kamangar N. Sarcoidosis. Medscape, last updated Jun 20, 2019. emedicine.medscape.com
- Stern BJ. Neurological complications of sarcoidosis. Curr Opin Neurol. 2004;17(3):311–316.
- Paramothayan NS, Lasserson TJ, Jones P. Corticosteroids for pulmonary sarcoidosis. Cochrane Database of Systematic Reviews 2005, Issue 2. Art. No.: CD001114. DOI: 10.1002/14651858.CD001114.pub2. DOI
- Pietinalho A, Tukiainen P, Haahtela T, Persson T, Selroos O; Finnish Pulmonary Sarcoidosis Study Group. Early treatment of stage II sarcoidosis improves 5-year pulmonary function. Chest 2002; 121: 24-31. PubMed
- Baughman RP, Lower EE. Treatment of Sarcoidosis. Clin Rev Allergy Immunol. 2015;49(1):79-92. PubMed
- Baughman RP, Costabel U, du Bois RM. Treatment of sarcoidosis. Clin Chest Med 2008; 29: 533. PubMed
- Baughman RP, Lower EE, du Bois RM. Sarcoidosis. Lancet 2003; 361: 1111-8. PubMed
- Rothova A. Ocular involvement in sarcoidosis. Br J Ophathalmol 2000; 84: 110-6. PubMed
- Dev S, McCallum RM, Jaffe GJ. Methotrexate treatment for sarcoid-associated panuveitis. Ophthalmology 1999; 106: 111-8. PubMed
- Stern BJ, Schonfeld SA, Sewell C, Krumholz A, Scott P, Belendiuk G. The treatment of neurosarcoidosis with cyclosporine. Arch Neurol 1992; 49: 1065-72. PubMed
- Sekiguchi M, Yazaki Y, Isobe M, Hiroe M. Cardiac sarcoidosis: diagnostic, prognostic, and therapeutic considerations. Cardiovasc Drugs Ther 1996; 10: 495-510. PubMed
- Weill D, Benden C, Corris PA, et al. A consensus document for the selection of lung transplant candidates: 2014—an update from the Pulmonary Transplantation Council of the International Society for Heart and Lung Transplantation. J Heart Lung Transplant. 2015;34(1):1–15.
- Ungprasert P, Crowson CS, Matteson EL. Risk of cardiovascular disease among patients with sarcoidosis: a population-based retrospective cohort study, 1976-2013. Eur Respir J. 2017. PMID: 28182567 PubMed
- Svensk Lungmedicinsk Förening. Nationellt vårdprogram om Sarkoidos, oktober 2014. www.slmf.se
- Rossides M, Kullberg S, Askling J et al. Sarcoidosis mortality in Sweden: a population-based cohort study. Eur Respir J 2018. pmid:29467203 PubMed
- Statement on sarcoidosis. Joint Statement of the American Thoracic Society (ATS), the European Respiratory Society (ERS) and the World Association of Sarcoidosis and Other Granulomatous Disorders (WASOG) adopted by the ATS Board of Directors and by the ERS Executive Committee, February 1999. Am J Respir Crit Care Med. 1999;160(2):736–755.