Pleuraplakk
Pleuraplakk forekommer hos omtrent 50 prosent av personer som har vært utsatt for betydelig og langvarig eksponering for asbest.

Sist oppdatert:
1. mars 2021
Hva er pleuraplakk?
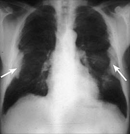
Pleurale plakkPleuraplakk er fortykkelser i lungehinnen (pleura) som omhyller lungene. Påvisning av pleuraplakk forteller at vedkommende person har vært utsatt for, eksponert for, asbest, for eksempel i yrket sitt. Pleuraplakk er den vanligste reaksjonen fra lungene på tidligere asbestinhalasjon. De fleste plakk gir ikke opphav til symptomer, og det er ikke holdepunkter for at plakk omdannes til kreftsykdom. Tilstanden er en utelukkelsesdiagnose. Det betyr at det må gjennomføres en utredning for å utelukke andre underliggende sykdommer.
Pleuraplakk forekommer hos omtrent 50 prosent av personer som har vært utsatt for betydelig og langvarig eksponering for asbest, og tilstanden regnes derfor som en markør for asbesteksponering.
Andre og alvorligere asbest-relaterte sykdommer er asbestose, lungekreft og lungehinnekreft (mesoteliom).
Årsak
Tilstanden er som sagt forårsaket av eksponering for asbest. Pleuralplakk representerer avsettinger av kollagenfibre på den ytre lungehinnen. Med tiden kan denne fortykkelsen forkalkes og bli synlig på røntgen. Pleuraplakk er det tidligste funnet som kan opptre som tegn på asbesteksponering. De kommer gjerne til syne 10-20 år etter eksponeringen. Det antas at plakk-utviklingen skyldes irritasjon fra fibrene mot lungehinnen. Når disse plakkene følges over tid, vil man observere at de vokser og minker. Plakk finnes først og fremst mellom 6. og 9. ribben og langs mellomgulvet (diafragma).
Diagnostikk
Mistanke om tilstanden baseres på kjennskap til at du har vært eksponert for asbest 10-20 år tidligere og funn av typiske lungeforandringer på røntgen. Funnene er imidlertid ikke spesifikke, slik at det må tas vevsprøve av plakket for å utelukke annen sykdom som tuberkulose, lungekreft og lungehinnekreft (mesoteliom).
Forkalkninger (kalsifikasjoner) i plakk oppdages ved lungerøntgen hos 20 prosent, ved høyoppløselig CT hos 50 prosent og ved mikroskopisk undersøkelse av vevsprøve (biopsi) hos 80 prosent. Ethvert nytt pleuraplakk som oppstår, krever en grundig utredning, inklusive tuberkulose-testing og vevsprøve. En vevsprøve innebærer at en tynn nål stikkes gjennom brystveggen og inn i den fortykkede lungehinnen.
Behandling
Det finnes ingen behandling som påvirker det naturlige forløpet av tilstanden. Siden funn av pleuraplakk forteller om asbesteksponering, innebærer det økt risiko for utvikling av andre lungesykdommer senere. Det er derfor viktig at asbesteksponeringen opphører hvis den ikke allerede har gjort det. Du bør også slutte og røyke fordi kombinasjonen asbest + røyk øker din risiko for senere lungesykdom.
Prognose
Pasienter med pleuraplakk er i risiko for å utvikle andre og alvorligere asbest-relaterte lungesykdommer som asbestose, lungekreft, malignt mesoteliom, men de aller fleste asbesteksponerte utvikler ikke slike sykdommer. Plakkene i seg selv omdannes ikke til kreftsykdom.
Vil du vite mer
Dette dokumentet er basert på det profesjonelle dokumentet Pleuraplakk . Referanselisten for dette dokumentet vises nedenfor
- O'Reilly KMA, McLaughlin AM, Beckett WS. Asbestos-related lung disease. Am Fam Physician 2007; 75: 683-8. American Family Physician
- American Thoracic Society. Diagnosis and initial management of nonmalignant diseases related to asbestos. Am J Respir Crit Care Med 2004; 170: 691-715. PubMed
- Stark P. Imaging of pleural plaques, thickening, and tumors. UpToDate, Aug 05, 2019. UpToDate
- Robinson BW, Lake RA. Advances in malignant mesothelioma. N Engl J Med 2005; 353: 1591-603. New England Journal of Medicine