Asbestose
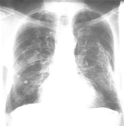
Asbestose er en sykdom som skyldes innånding av asbeststøv. Over tid fører dette til at lungevev omdannes til arrvev eller det som benevnes lungefibrose.

Sist oppdatert:
1. mars 2021
Hva er asbestose?

Asbestose er en sykdom som skyldes innånding av asbeststøv. Over tid fører dette til at lungevev omdannes til arrvev (lungefibrose). Typisk for denne formen for lungefibrose er at den utvikler seg i mellomrommene mellom de ulike delene av lungevevet (interstitielt).
Hos mange er dette en mild og lite plagsom sykdom. Tiden det tar fra du utsettes (eksponeres) for asbest og til sykdommen oppdages, er vanligvis 15-30 år. Andre asbest-relaterte lungesykdommer er lungekreft, lungehinnekreft (mesoteliom) og pleurale plakk. Inhalasjon av asbestfibre ble første gang knyttet til utvikling av lungesykdom i 1890.
Forekomsten av asbestose er usikker. Asbest-relatert sykdom har sin høyeste forekomst 30-40 år etter eksponering. Lungehinnekreft er den tilstanden det tar lengst tid å utvikle, og forekomsten av denne sykdommen har vært økende i Europa over mange år, men forekomsten er nå avtakende. I utviklingsland brukes fortsatt asbest i stort omfang, og forekomsten forventes å være høy i mange år framover.
Animasjon av asbestose
Vil du vite mer
Dette dokumentet er basert på det profesjonelle dokumentet Asbestose . Referanselisten for dette dokumentet vises nedenfor
- Lauridsen HL, Bønløkke JH, Davidsen JR, Eldahl F, Huremovic J, Krüger K, Omland Ø, Shaker SB, Sherson D. Asbestose og pleurale plaques. Ugeskr Laeger. 2018 Jun 18;180(25):V10170773. Danish. PMID: 29938630.
- Rosenman KD. Asbestosis. BestPractice, last updated 12 Nov 2020. bestpractice.bmj.com
- O'Reilly KMA, McLaughlin AM, Beckett WS. Asbestos-related lung disease. Am Fam Physician 2007; 75: 683-8. American Family Physician
- Helland, Å., S. Solberg, and O.T. Brustugun, Incidence and survival of malignant pleural mesothelioma in Norway: a population-based study of 1686 cases. J Thorac Oncol, 2012; 7: 1858-61.
- American Thoracic Society. Diagnosis and initial management of nonmalignant diseases related to asbestos. Am J Respir Crit Care Med 2004; 170: 691-715. PubMed
- Markowitz SB, Levin SM, Miller A, et al. Asbestos, asbestosis, smoking, and lung cancer. New findings from the North American insulator cohort. Am J Respir Crit Care Med. 2013; 188: 90-96. PubMed
- Dale MT, McKeough ZJ, Troosters T, Bye P, Alison JA. Exercise training to improve exercise capacity and quality of life in people with non-malignant dust-related respiratory diseases. Cochrane Database of Systematic Reviews 2015, Issue 11. Art. No.: CD009385. DOI: 10.1002/14651858.CD009385.pub2. DOI