Lungefibrose
Lungefibrose er en tilstand med arrdannelse i lungevevet. Det reduserer gassutvekslingen mellom lunge og blod, noe som skaper økende pusteproblemer.

Sist oppdatert:
23. juli 2018
Hva er lungefibrose?
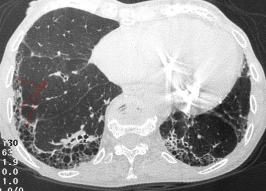
Lungefibrose (HRCT)Lungefibrose er en tilstand med betennelse og økt mengde bindevev (arrvev) i lungene. Arrdannelse er kroppens måte å reparere vevsskade på, ikke bare i lungene, men i hele kroppen. Det er sammenlignbart med et arr i huden etter et skrubbsår. Ved lungefibrose er det unormal arrdannelse i lungeblærene. Når det dannes arr isteden for normalt lungevev, blir gassutvekslingen mellom lunge og blod dårligere enn normalt. Lungene blir stivere og mindre bevegelige, og det arealet som kan brukes til gassutveksling, minker. Har man lett grad av lungefibrose, er det ikke sikkert man merker det på pusten, men jo mer fibrose som dannes, jo tyngre blir det å puste.
Vil du vite mer
Dette dokumentet er basert på det profesjonelle dokumentet Lungefibrose, idiopatisk . Referanselisten for dette dokumentet vises nedenfor
- Flesch JD, Kreider ME. Idiopathic pulmonary fibrosis. Best Practice, last updated Feb 2017.
- Travis WD, Costabel U, Hansell DM, et al. An official American Thoracic Society/European Respiratory Society statement: Update of the international multidisciplinary classification of the idiopathic interstitial pneumonias. Am J Respir Crit Care Med 2013; 188: 733. pmid:24032382 PubMed
- King Jr TE, Pardo A, Selman M. Idiopathic pulmonary fibrosis. Seminar. Lancet 2011; 378: 1949-61. PubMed
- Gross TJ, Hunninghake GW. Idiopathic pulmonary fibrosis. N Engl J Med 2001; 345: 517-25. New England Journal of Medicine
- Collard HR, Moore BB, Flaherty KR, et al. Acute exacerbations of idiopathic pulmonary fibrosis. Am J Respir Crit Care Med. 2007;176:636-643. PubMed
- Raghu G, Mageto YN, Lockhart D, Schmidt RA, Wood DE, Godwin JD. The accuracy of the clinical diagnosis of new-onset idiopathic pulmonary fibrosis and other interstitial lung disease: a prospective study. Chest 1999; 116: 1168-74. PubMed
- Raghu G, Collard HR, Egan JJ, et al. An official ATS/ERS/JRS/ALAT statement: idiopathic pulmonary fibrosis: evidence-based guidelines for diagnosis and management. Am J Respir Crit Care Med. 2011;183:788-824. PubMed
- Hunninghake GW, Lynch DA, Galvin JR, et al. Radiologic findings are strongly associated with a pathologic diagnosis of usual interstitial pneumonia. Chest 2003; 124: 1215-23. PubMed
- Hunninghake GW, Zimmerman MB, Schwartz DA, et al. Utility of a lung biopsy for the diagnosis of idiopathic pulmonary fibrosis. Am J Respir Crit Care Med 2001; 164: 193-6. PubMed
- Raghu G, Rochwerg B, Zhangh Y, et al . An official ATS/ERS/JRS/ALAT clinical practice guideline: Treatment of idiopathic pulmonary fibrosis. An update of the 2011 clinical practice guideline. Am J Resp Crit Care Med 2015; 192: e3-e19. doi:10.1164/rccm.201506-1063ST DOI
- Dempsey TM, Sangaralingham LR, Yao X, et al. Clinical Effectiveness of Antifibrotic Medications for Idiopathic Pulmonary Fibrosis. Am J Respir Crit Care Med. 2019; 200: 168-74. pmid:31150266 PubMed
- Loveman E, Copley VR, Colquitt J, et al. The clinical effectiveness and cost-effectiveness of treatments for idiopathic pulmonary fibrosis: a systematic review and economic evaluation. Health Technol Assess. 2015 Mar;19(20):1-336. PubMed
- Cheng L, Tan B, Yin Y, et al. Short- and long-term effects of pulmonary rehabilitation for idiopathic pulmonary fibrosis: a systematic review and meta-analysis. Clin Rehabil. 2018. PMID: 29843523 PubMed
- Noble PW, Albera C, Bradford WZ, et al. Pirfenidone in patients with idiopathic pulmonary fibrosis (CAPACITY): two randomised trials. Lancet 2011; 377: 1760-9. PubMed
- King TE, Bradford WZ, Castro-Bernardini S, et al. A phase 3 trial of pirfenidone in patients with idiopathic pulmonary fibrosis. N Engl J Med 2014. doi:10.1056/NEJMoa1402582 DOI
- Kang J, Han M, Song JW. Antifibrotic treatment improves clinical outcomes in patients with idiopathic pulmonary fibrosis: a propensity score matching analysis. Sci Rep 2020; 10: 15620. pmid:32973215 PubMed
- Wuyts WA, Antoniou KM, Borensztajn K, et al. Combination therapy: the future of management for idiopathic pulmonary fibrosis? Lancet Respir Med. 2014 Nov;2:933-42. doi: 10.1016/S2213-2600(14)70232-2 DOI
- Richeldi L, Costabel U, Selman M, et al. Efficacy of a tyrosine kinase inhibitor in idiopathic pulmonary fibrosis. N Engl J Med 2011; 365: 1079-87. New England Journal of Medicine
- Richeldi L, du Bois RM, Raghu G, et al. Efficacy and safety of nintedanib in idiopathic pulmonar fibrosis. N Engl J Med 2014. doi:10.1056/NEJMoa1402584 DOI
- Raghu G, Anstrom KJ, King TE, et al. Prednisone, azathioprine, and N-acetylcysteine for pulmonary fibrosis. N Engl J Med 2012; 366: 1968-77. New England Journal of Medicine
- Kolb M, Raghu G, Wells AU, et al. Nintedanib plus Sildenafil in Patients with Idiopathic Pulmonary Fibrosis. N Engl J Med 2018. pmid:30220235 PubMed
- Horton MR, Santopietro V, Mathew L, et al. Thalidomide for the treatment of cough in idiopathic pulmonary fibrosis: a randomized trial. Ann Intern Med 2012; 157: 398-406. Annals of Internal Medicine
- Ley B, Collard HR, King TE Jr. Clinical course and prediction of survival in idiopathic pulmonary fibrosis. Am J Respir Crit Care Med 2011; 183: 431-40. PubMed