CT av bukhulen
CT baserer seg på røntgenstråler, men brukes ikke bare til å se på beinstrukturer. Undersøkelsen skiller også mellom ulike indre organ, såkalte bløtdeler - f.eks. organene i bukhulen.

Sist oppdatert:
6. juni 2018
Hva er CT?
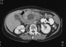
Pseudocyste i bukspyttkjertelenCT er en forkortelse for Computed Tomography. CT bilder dannes av samme type røntgen-stråler som ved vanlig røntgen. CT teknikken skiller seg fra røntgen ved at man benytter en mer avansert metode for å registrere strålene enn vanlig film, og en datamaskin brukes for å sette dataene sammen til et bilde. Røntgenkildene og de delene som fanger opp strålene, røntgen-mottakerne eller detektorene, beveger seg rundt området som avbildes, og muliggjør framstilling i tverrsnitt og tre dimensjoner. Fordelen med denne metoden er at den kan påvise svært små forandringer og den kan fremstille bilder av bløtvevet, i motsetning til røntgen som først og fremst kan fremstille beinvev.
CT-bilder er svarthvite. Organene fremstilles i ulike grader av grått. Vev med lav tetthet, f.eks. luftfylte hulrom, vises som mørke eller svarte partier. Vev med høyere tetthet vises i lysere gråtoner. Jo høyere tetthet, jo lysere. Beinvev fremstilles hvitt.
Strålebelastningen er større enn ved de fleste vanlige røntgenundersøkelser, men denne ulempen oppveies av at behandleren får mye større utbytte (mer informasjon) fra CT - man får rett og slett bedre bilder. Moderne CT-maskiner har betydelig reduserte stråledoser i forhold til eldre maskiner.
Dette dokumentet er basert på det profesjonelle dokumentet CT av abdomen . Referanselisten for dette dokumentet vises nedenfor
- ESUR (European Society of Urogenital Radiology) Guidelines on Contrast Agents, 10th version (2018). Nettsiden besøkt 06.06.18. www.esur-cm.org