Tuberkulose - undersøkelser og diagnostikk
Tuberkuloseundersøkelser og diagnostikk av aktiv lungetuberkulose skjer ved lungerøntgen, mikroskopi, dyrkning og bakteriepåvisning i spyttprøver. Dyrkning gir også informasjon om tuberkelbakteriene er motstandsdyktig overfor medisiner.

Sist oppdatert:
29. mars 2019
Bakgrunn
Diagnosen av en akutt, primær lungetuberkulose stilles ved påvisning av tuberkulosebakterien i oppspytt eller ved lungerøntgen. Ofte er forløpet mildt, og sykdommen oppdages ikke. Etter smitte og gjennomgått første infeksjon, faller sykdommen til ro. Det finnes hos mange noen få levende bakterier som ligger innkapslet i celler i kroppen, uten å gjøre skade. Hos omtrent fem til ti prosent vil infeksjonen blusse opp en eller annen gang i løpet av livet, som regel i forbindelse med at allmenntilstanden svekkes på grunn av annen sykdom, på grunn av høy alder, eller på grunn av behandling som svekker immunsystemet. Denne tilstanden med tidligere smitte kalles latent (skjult) tuberkulose. Skjult tuberkulose smitter ikke.
Påvisning av skjult tuberkulose gjøres ved hjelp av blodprøve og/eller lungerøntgen. Tidligere benyttet man også en hudtest (Mantoux test) for å identifisere de som kunne være smittet. Mantoux brukes ikke lenger (fra okt. 2014), og er erstattet av blodprøven IGRA.
IGRA
Blodprøven (IGRA = Interferon-gamma Release Assays) brukes for å påvise smittestoff (tuberkulosebakterier) i kroppen. Blodprøven er mer pålitelig enn hudprøven, og gir også mye raskere svar. Med denne blodtesten kan man også skille mellom reaksjon som skyldes vaksinasjon, og den som vi egentlig vil påvise som skyldes tidligere infeksjon med tuberkulosebakterier. Blodprøven har litt høyere feilprosent hos barn enn hos voksne.
Dersom man nylig har vært utsatt for tuberkulosesmitte, for eksempel ved at et familiemedlem har fått påvist aktiv lungetuberkulose, må det gå minimum åtte til ti uker før man med sikkerhet kan stole på en negativ test. Det blir derfor tatt en prøve straks. Dersom den ikke viser smitte, tas en ny prøve åtte til ti uker senere. Dersom begge testene er negative, kan man med høy grad av sikkerhet fastslå at personen ikke er smittet.
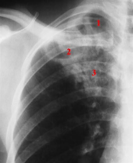
Lungerøntgen

Lungetuberkulose er den viktigste tuberkuloseformen, og den eneste varianten av tuberkulose som er smittsom. Når det påvises en positiv blodtest (IGRA), tas det derfor alltid lungerøntgen etterpå for å bekrefte eller avkrefte om det foreligger aktiv lungetuberkulose.
Hos personer eldre enn 35 år som undersøkes for tuberkulosesmitte, for eksempel arbeidsinnvandrere eller asylsøkere, er lungerøntgen første undersøkelse, og blodprøve er ikke nødvendig.
Mikroskopi og dyrkningsprøver
Hvis lungerøntgen viser tegn til aktiv tuberkulose, må det gjøres direkte mikroskopi og tas dyrkningsprøver av oppspytt eller skyllevæske fra bronkiene. Pasienter med positiv mikroskopi er mer smittefarlige enn de med negativ mikroskopi. Resultat av direkte mikroskopi av oppspytt (ekspektorat) er avgjørende for å kunne vurdere smittsomhet. Dersom tuberkelbakteriene lar seg påvise ved mikroskopi, vil diagnosen være klar i løpet av få timer.
Rutinemessig tas tre oppspyttprøver til dyrkning av bakteriene. Prøvematerialet sendes til et laboratorie for dyrkning. Prøven sås ut på et vekstmedium, og det tar en til tre uker før bakteriene vokser fram. Eventuelle bakterier som vokser opp, kan så testes mot ulike medikamenter som brukes i behandlingen av tuberkulose. På den måten kan man fastslå hvilke medisiner som virker best, og påvise eventuell resistens mot antibiotika.
Diagnostikk hos barn
Å stille diagnosen tuberkulose hos barn er vanskeligere enn hos voksne. De har ofte mindre typiske symptomer og tegn på sykdommen, men kan bli alvorlig syke. Det kan også være vanskeligere å få barn til å hoste opp spytt, noe som umuliggjør dyrkning. Dersom det er mistanke om tuberkulosesykdom eller nylig smitte, henvises de minste barna straks til spesialisthelsetjenesten for utredning med blodprøve og lungerøntgen.
Quiz
Har du fått med deg det viktigste i dette dokumentet? Da utfordrer vi deg til å ta vår quiz om tuberkulose!
Dette dokumentet er basert på det profesjonelle dokumentet Tuberkulose . Referanselisten for dette dokumentet vises nedenfor
- Horne DJ, Narita M. Pulmonary tuberculosis. BMJ Best Practice, last updated March 2018. bestpractice.bmj.com
- Folkehelseinstituttet. Årsrapport. Tuberkulose i Norge 2017 – med behandlingsresultater for 2016. September 2018. legehandboka.no
- Tuberkuloseveilederen. Tuberkulose globalt og i Norge. Folkehelseinstituttet, sist oppdatert 11.09.2018. fhi.no
- Dye C. Global epidemiology of tuberculosis. Lancet 2006; 367: 938-40. PubMed
- WHO. Tuberculosis. Siden besøkt 17.07.2020. www.who.int
- Mukherjee JS, Rich ML, Socci AR, et al. Programmes and principles in treatment of multidrug-resistant tuberculosis. Lancet 2004; 363: 474-81. PubMed
- Velayati AA, Masjedi MR, Farnia P, et al. Emergence of new formsof totally drug-resistant tuberculosis bacilli: super extensivelydrug-resistant tuberculosis or totally drug-resistant strains in Iran.Chest 2009; 136: 420–5.
- Horsburgh CR Jr. Priorities for the treatment of latent tuberculosis infection in the United States. N Engl J Med 2004; 350: 2060-7. New England Journal of Medicine
- Corbett EL, Watt CJ, Walker N, et al. The growing burden of tuberculosis: global trends and interactions with the HIV epidemic. Arch Intern Med 2003; 163: 1009-21. PubMed
- Schaaf HS, Beyers N, Gie RB, Schaaf HS, Beyers N, Gie RP, et al. Respiratory tuberculosis in children: the diagnostic value of clinical features and special investigations. Pediatr Infect Dis J 1995; 14: 189-94. PubMed
- Enarson PM, Enarson DA, Gie R. Management of tuberculosis in children in low-income countries. Int J Tuberc Lung Dis 2005; 9: 1299-304. PubMed
- Morland L, Gulsvik A. Nye analysemetoder av blod for påvisning av tuberkulose. Tidsskr Nor Lægeforen 2005; 125: 2995-6. PubMed
- Pai M, Zwerling A, Menzles D. Systematic review: T-cell-based assays for the diagnosis of latent tuberculosis infection: an update. Ann Intern Med 2008; 149:
- Lewinsohn DM, Leonard MK, LoBue PA, et al. Official American Thoracic Society/Infectious Diseases Society of America/Centers for Disease Control and Prevention clinical practice guidelines: diagnosis of tuberculosis in adults and children. Clin Infect Dis. 2017;64:e1-e33.
- Morgan MA, Horstmeier CD, DeYoung DR, Robers GD. Comparison study of a radiometric method (BACTEC) and conventional culture media for recovery of mycobacteria from smear-negative specimens. J Clin Microbiol 1983; 18: 384-88. PubMed
- Storla, D. Tar vi tuberkulose på alvor?. Tidsskr Nor Legeforen 2012; 132: 6. Tidsskrift for Den norske legeforening
- WHO: Tuberculosis fact sheet, reviewed Oct. 2016.
- Fox W, Ellard GA, Mitchison DA. Studies on the treatment of tuberculosis undertaken by the British Medical Research Council tuberculosis units, 1946-1986, with relevant subsequent publications. Int J Tuberc Lung Dis 1999; 3: S231-79. PubMed
- Johnson JL, Hadad DJ, Dietze R, et al. Shortening treatment in adults with non-cavitary tuberculosis and 2-month culture conversion. Am J Respir Crit Care Med 2009; 180: 558-63. PubMed
- Tuberkuloseveilederen. Forebyggende behandling av latent tuberkulose (LTB). Folkehelseinstituttet, sist oppdatert 20.02.2019. fhi.no
- Tuberkuloseveilederen. Behandling av tuberkulose. Folkehelseinstituttet, sist oppdatert 23.01.2018. fhi.no
- World Health Organization Global Tuberculosis Programme. Treatment of tuberculosis: guidelines for national programmes, 3rd edn (WHO/CDS/TB/2003.13). Geneva: WHO, 2003.
- American Academy of Pediatrics. The transfer of drugs and other chemicals into human milk. Pediatrics 2001; 108: 776-89. Pediatrics
- Inge LD, Wilson JW. Update on the treatment of tuberculosis. Am Fam Physician 2008; 78: 457-65. American Family Physician
- Frieden TR, Sterling TR, Munsiff SS, Watt CJ, Dye C. Tuberculosis. Lancet 2003; 362: 887-99. PubMed
- Roy A, Eisenhut M, Harris RJ, et al. Effect of BCG vaccination against Mycobacterium tuberculosis infection in children: systematic review and meta-analysis. BMJ 2014; 349. www.bmj.com
- Rodrigues LC, Mangtani P, Abubakar I. How does the level of BCG vaccine protection against tuberculosis fall over time? BMJ 2011;343:d5974. www.bmj.com
- Aavitsland P. Behandling av tuberkulose hos personer som skal sendes ut av landet. MSIS-rapport 2004; 32: 28.
- Tuberkuloseveilederen. Grupper med plikt til tuberkuloseundersøkelse. Folkehelseinstituttet, sist oppdatert 01.11.2018. fhi.no
- Statens strålevern. . Graviditet og røntgenstråling. Stråleverninfo nr. 5, 2005.
- Gelband H. Regimens of less than six months for treating tuberculosis, a systematic review. In: The Cochrane Library. Issue 4, 1999. Last amandment: June 16 1999. The Cochrane Library
- Sotgiu G, Centis R, D'ambrosio L, Migliori GB. Tuberculosis Treatment and Drug Regimens. Cold Spring Harb Perspect Med. 2015 May; 5(5): a017822. . www.ncbi.nlm.nih.gov
- Villarino ME, et al. Treatment for preventing tuberculosis in children and adolescents: A randomized clinical trial of a 3-month, 12-dose regimen of a combination of rifapentine and isoniazid JAMA Pediatr 2015; doi: 10.1001/jamapediatrics.2014.3158 DOI
- Thwaites GE, Nguyen DB, Nguyen HD, et al. Dexamethasone for the treatment of tuberculous meningitis in adolescents and adults. N Engl J Med 2004; 351: 1741-51. New England Journal of Medicine
- Tuberkulosevaksinasjon, Vaksinasjonsboka. Folkehelseinstituttet 2014. Faglig revidert april 2014.