Nyrearteriestenose, trang nyrepulsåre
Hos noen oppstår en innsnevring av pulsåren, arterien, som forsyner nyren med blod. Det kan føre til et forhøyet blodtrykk som er vanskelig å behandle, og det kan skade nyren og på sikt føre til nyresvikt.

Sist oppdatert:
22. feb. 2019
Innhold i artikkelen
Nyrene

Nyrene er to knyttnevestore organer som ligger på hver sin side av ryggsøylen høyt oppe i bukhulen. Nyrene får blod fra hver sin nyrearterie, som er sidegrener til hovedpulsåren.
I nyrene skilles avfallstoffer og små mengder væske ut fra blodet slik at det dannes urin. På denne måten kvitter kroppen seg med skadelige stoffer. Nyrene har også en viktig funksjon ved å regulere mengden med salt og væske i kroppen. Når vi drikker mye, lager nyrene mer urin enn når vi drikker lite. Dermed beholder kroppen omtrent samme mengde væske uansett hvor stort inntaket er. For at avfallsstoffene skal kunne skilles ut, bør vi imidlertid drikke minst 1-2 liter vann hver dag.
I tillegg til dette bidrar nyrene til produksjon av noen hormoner som er med på å regulere blodtrykket. Disse hormonene kalles renin, angiotensin og aldosteron. Økt utskillelse av disse hormonene gir redusert urinproduksjon og sammentrekning av en rekke blodårer i kroppen. Dette fører til økt blodtrykk, hypertensjon. I noen situasjoner, for eksempel ved alvorlig væskemangel, er dette gunstig. Men i andre situasjoner kan det føre til skadelig høyt blodtrykk som noen ganger behøver behandling.
Nyrearteriestenose
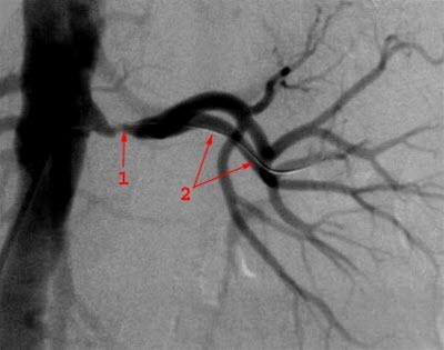
Nyrearteriestenose, kontrastrøntgen.Ved nyrearteriestenose er det en forsnevring (stenose) av en eller begge nyrearteriene. Det er hovedsakelig to årsaker til en slik forsnevring:
- Hos unge personer dreier det seg vanligvis om en fortykkelse av muskellaget i karveggen. Dette kalles fibromuskulær dysplasi. Man kjenner ikke årsaken til denne fortykkelsen, men det kan blant annet ha genetiske årsaker. Denne tilstanden utgjør ca. 10% av alle som har nyrearteriestenose.
- Hos eldre er årsaken som regel åreforkalkning i nyrearteriene, aterosklerose. Det er samme typen forandringer som man finner f. eksempel i kransårene i hjertet hos personer med angina eller hjerteinfarkt. Denne typen utgjør mer enn 80% av alle med nyrearteriestenose.
Høyt blodtrykk utvikles på grunn av økt utskillelse av hormoner (renin/angiotensin/aldosteron) som følge av reduksjon i nyreblodstrømmen. En slik tilstand (renovaskulær hypertensjon) kan opptre selv når bare den ene nyrearterien er trang, men hos 25% er begge arteriene forsnevret.
Små nyrearteriestenoser er vanlige, og de gir ingen plager. Men når mer enn 50% av åpningen er blokkert, kan det etter hvert få konsekvenser. De vanligste problemene er høyt blodtrykk og svekket nyrefunksjon. Stenosen kan i seg selv forårsake nyresvikt på grunn av for dårlig sirkulasjon, men også det høye blodtrykket kan gi utvikling av nyresvikt på sikt.
Nyrearteriestenose er vanlig hos pasienter med generell aterosklerose. Langt de fleste av disse stenosene, som er tilfeldig påvist, har liten praktisk betydning. Men dersom stenosen blir så trang at den lokale hormonproduksjonen og blodtrykket stiger, fører det ofte til en kraftig forhøyelse av blodtrykket, og et trykk som det er vanskelig å behandle.
Når bør tilstanden mistenkes?
Tilstanden bør mistenkes ved
- debut av hypertensjon under 20 år eller etter 50 år
- betydelig eller alvorlig høyt blodtrykk
- alvorlig høyt blodtrykk som ikke lar seg kontrollere med 3 blodtrykksenkende middel
- aterosklerotisk sykdom i hovedpulsåren (aorta) eller bena
- plutselig svekkelse av nyrefunksjonen med mer enn 20% ved bruk av et blodtrykksmiddel av typen ACE-hemmer
Diagnostikk
Legen kan få mistanke om sykdommen på grunn av noen av overnevnte observasjoner. I noen tilfeller er det mulig å høre (med stetoskop) en "stenoselyd" fra den trange nyrearterien ved å lytte over nyren fra ryggsiden, men dette er et uspesifikt funn som bare forekommer hos 25%.
Blodprøver (kreatinin og kalium) kan vise forandringer i nyreprøver. Målinger av enzymet renin og hormonet aldosteron kan vise forhøyede verdier. Som regel blir pasienter med alvorlig høyt blodtrykk ganske raskt vurdert i sykehus for å avdekke årsaken til det økte blodtrykket. En slik utredning gjør det mulig å gi en bedre tilpasset behandling.
I tillegg finnes det ulike metoder for å påvise og kartlegge omfanget av forsnevringen. Blant de mest brukte alternativene er ultralyd eller isotopundersøkelse. Eventuelt benyttes CT eller MR. For endelig bekreftelse benyttes angiografi, som er en røntgenundersøkelse der nyrearteriene fremstilles ved hjelp av kontrastvæske.
Behandling
Når nyrearteriestenoser fører til høyt blodtrykk, er det alltid nødvendig med behandling, både på grunn av blodtrykket, og på grunn av faren for nyreskade. Den medikamentelle behandlingen består i blodtrykkssenkende medikamenter, kolesterolsenkende midler og blodproppbeskyttende medisin.
Dersom det er en ung person med fibromuskulær dysplasi, er den anbefalte metoden å reparere forsnevringen med ballong-utvidelse av arterien (PTRA). Metoden går ut på at et tynt rør føres inn i lyskepulsåren og derfra inn i nyrearterien, der forsnevringen så kan utvides fra innsiden.
Hos den store gruppen av eldre personer med nyrearteriestenose hvor årsaken er åreforkalkning, har det vist seg at intens medikamentell behandling er like bra som stenting + medikamenter. En er derfor i ferd med å gå bort fra blokking og stenting i denne gruppen.
Tilfeldig oppdaget nyrearteriestenose uten blodtrykkstigning eller andre symptomer behøver ingen behandling.
Prognose
Utsiktene avhenger av hva forsnevringen skyldes. Personer med fibromuskulær dysplasi har som regel svært god prognose og får lite problemer. Opp mot halvparten helbredes etter ballong-utvidelse, og trenger ingen medikamenter.
Eldre personer med kalkavleiringer får medikamentell behandling som bremser utviklingen av sykdommen. Medikamenter sammen med sunt kosthold, røykeslutt og mosjon bidrar til å redusere risiko for komplikasjoner.
Dette dokumentet er basert på det profesjonelle dokumentet Nyrearteriestenose . Referanselisten for dette dokumentet vises nedenfor
- Spinowitz BS. Renal artery stenosis. Medscape, last updated Aug 05, 2016. emedicine.medscape.com
- Sommer M, Von der Lippe N, Kløw N-E, Høieggen A. Renal fibromuskulær dysplasi og hypertensjon. Tidsskr Nor Legeforen 2019. doi:10.4045/tidsskr.18.0226 DOI
- Plouin PF, Bax L. Diagnosis and treatment of renal artery stenosis. Nat Rev Nephrol. 2010 Mar. 6(3):151-9.
- Gottam N, Nanjundappa A, Dieter RS. Renal artery stenosis: pathophysiology and treatment. Expert Rev Cardiovasc Ther 2009; 7: 1413-20. PubMed
- Cooper CJ, Murphy TP, Cutlip DE, et al. Stenting and medicaltherapy for atherosclerotic renal-artery stenosis. N Engl J Med 2013. doi:10.1056/NEJMoa1310753 DOI
- Trinquart L, Mounier-Vehier C, Sapoval M, et al. Efficacy of revascularization for renal artery stenosis caused by fibromuscular dysplasia: a systematic revie andt meta-anaøysis. Hypertension 2010; 56: 525-32. PMID: 20625080 PubMed
- Balk E, Raman G, Chung M, et al. Effectiveness of management strategies for renal artery stenosis: a systematic review. Ann Intern Med 2006; 145: 901-12. Annals of Internal Medicine
- Tanemoto M. Diagnosis and therapy of atheromatous renal artery stenosis. Clin Exp Nephrol 2013. pmid:23529543 PubMed
- Bax L, Woittiez AJ, Kouwenberg HJ, et al. Stent placement in patients with atherosclerotic renal artery stenosis and impaired renal function: a randomized trial. Ann Intern Med 2009; 150: 840-8. Annals of Internal Medicine
- Baumgartner I, Lerman LO. Renovascular hypertension: screening and modern management. Eur Heart J 2011; 32: 1590-8. European Heart Journal
- Wheatley K, Ives N, Gray R, Kalra PA, . Revascularization versus medical therapy for renal-artery stenosis. N Engl J Med 2009; 361: 1953-62. New England Journal of Medicine
- Riaz IB, Husnain M, Riaz H, et al. Meta-analysis of Revascularization Versus Medical Therapy for Atherosclerotic Renal Artery Stenosis. Am J Cardiol 2014 Jul 18.
- Paulsen D, Kløw N-E, Lien B, Fauchald P. Behandling av nyrearteriestenose. Tidsskr Nor Lægeforen 2001; 121: 3264-9. PubMed
- Carr TM 3rd, Sabri SS, Turba UC, et al. Stenting for atherosclerotic renal artery stenosis. Tech Vasc Interv Radiol 2010; 13: 134-45. PubMed
- Edenberg J, Paulsen D, Enge I. Diagnostikk av nyrearteriestenose med ultralyddoppler. Tidsskr Nor Lægeforen 2003; 123: 308-10. Tidsskrift for Den norske legeforening
- Herrmann SM, Textor SC. Diagnostic criteria for renovascular disease: where are we now?. Nephrol Dial Transplant 2012; 27: 2657-63. PubMed