CT av hjernen
CT av hjernen er en tredimensjonal røngenfremstilling av hodet/hjernen. Vanlige røntgenbilder sier først og fremst noe om skallen (beinet som omgir hjernen), men CT fremstiller også hjernevev, hinner og blodårer innenfor denne.

Sist oppdatert:
19. juni 2018
Innhold i artikkelen
Hjernen


Hjernen ligger godt beskyttet inne i hjerneskallen, kraniet. Hjernen utgjøres av storhjernen (cerebrum), som består av to halvdeler (hjernehemisfærene), samt lillehjernen (cerebellum) og hjernestammen (se figur). Hjernehemisfærene utgjør nær 90% av hjernevevet. Hver hemisfære måler ca. 15 cm i lengderetningen og ca. 11 cm til sammen i bredden.
Den ytre delen av storhjernen betegnes hjernebarken (cortex) og her finnes områder som styrer våre bevegelser, tanker, følelser, etc (se figur). Hjernebarken, eller hjernens grå substans, består av en rekke folder av nervevev slik at den totale overflaten blir større. Læring og hjernefunksjoner er knyttet til grå substans, og det er et poeng at den er størst mulig. Hvit substans er under hjernebarken, dens funksjuon er først og fremst å sende signaler mellom de ulike områdene av grå substans.
Lillehjernen, som styrer koordineringen av musklene, ligger under bakre del av hemisfærene. Lillehjernen kalles også cerebellum, den består av nerveceller og er delt i to halvdeler (hemisfærer).
Hjernestammen, som er omkring 75 mm lang, forbinder resten av hjernen med ryggmargen og inneholder nervesentra som kontrollerer automatiske funksjoner som f.eks. pusting og hjerterytme.
Inne i hjernen er det fire hulrom (ventrikler) som er forbundet med hverandre, og som er fylt med væske, cerebrospinalvæsken (se nedenfor). Ventriklene har åpen forbindelse med det lange, tynne hulrommet som går nedover i ryggkanalen og med hulrommet mellom det bløte hjernevevet og kraniet (se nedenfor). Alle disse hulrommene inneholder cerebrospinalvæske.


Hva er CT?
CT er en forkortelse for Computed Tomography. CT bilder dannes av samme type røntgen-stråler som ved vanlig røntgen. CT teknikken skiller seg fra røntgen ved at man benytter en mer avansert metode for å registrere strålene enn vanlig film, og en datamaskin brukes for å sette dataene sammen til et bilde. Røntgenkilden og de delene som fanger opp strålene, røntgen-mottakerne eller detektorer, beveger seg rundt området som avbildes, og muliggjør framstilling i tverrsnitt og tre dimensjoner. Fordelen med denne metoden er at den kan påvise svært små forandringer og den kan fremstille bilder av bløtvevet, i motsetning til røntgen som først og fremst kan fremstille beinvev.
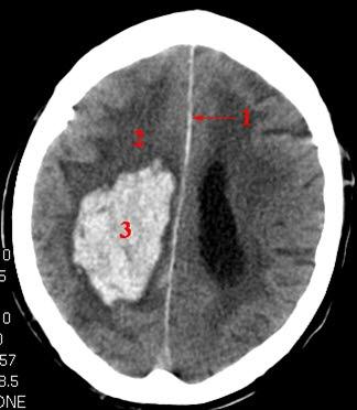
CT-bilde av hjerneblødningStrålebelastningen er større enn ved de fleste vanlige røntgenundersøkelser, men denne ulempen oppveies av at behandleren får mye større utbytte (mer informasjon) fra CT - man får rett og slett bedre bilder. Moderne CT-maskiner har betydelig reduserte stråledoser i forhold til eldre maskiner.
Se animasjon av CT-undersøkelse
CT av hjernen
CT av hjernen betegnes på fagspråket for cerebral CT. Bildene som tas brukes til å fremstille hjernevev, hinner og blodårer inne i hodet. Bløtvev med ulik tetthet kan skilles fra hverandre, og i hjernen kan f. eks. hjernebark og hjernemarg (grå og hvit substans) skilles fra ryggmargsvæsken. CT er godt egnet til å vise f.eks. akutte blødninger i hjernen, men når man skal vurdere hjernevev er MR en langt mer detaljert undersøkelse.
Bildene vises i ulike gråtoner. Jo lysere skygge, jo høyere tetthet har vevet eller strukturen. Bein blir hvitt, mens luft blir svart. Tilførsel av røntgenkontrast via blodet kan gi bedre bildeinformasjon, f.eks lar store blodårer seg lettere fremstille etter tilførsel av kontrast i årene.
Indikasjoner
CT utføres ved mistanke om sykdom eller forandringer i hjernen. Særlig gjelder det i utredningen av akutt tilfeller hvor man mistenker blødning, f.eks. slagtilfeller. CT kan også være første ledd i utredningen av uklare hodeplager, som f.eks. langvarig hodepine.
Undersøkelsen
Tradisjonell CT
Denne måten å fremstille CT-bilder på er først og fremst av historisk betydning, da de aller fleste maskinger bruker spiral-teknologien i dag.
Organene som undersøkes, avbildes i mange horisontale skiver, såkalte tverrsnittsbilder. Et og et tverrsnittsbilde blir tatt. Vanlig røntgen gir et "flatt", todimensjonalt bilde der organ i fremre del av kroppen vil "overskygge" organ som ligger lengre bak. CT fremstiller bilder uten at organer skygger for underliggende organer. Med bearbeiding av bildesignalene i en datamaskin kan man sette snittene sammen til et tredimensjonalt bilde. Supplert med kontrastinnsprøyting kan svulster og betennelsessykdommer fremstilles gjennom å synliggjøre blodforsyning.
Spiral-CT
Spiral CT innerbærer at pasienten flyttes kontinuerlig gjennom strålefeltet mens røntgenkilde og detektorer sirkulerer rundt pasienten og danner registreringer i en spiral. På denne måten lagres informasjon som et kontinuerlig volum på en datamaskin. Det betyr at større områder kan avbildes i én omgang over kortere tid. Volumdataene brukes så av datamaskinen til å lage snittbilder og eventuelt tredimensjonale bilder. Opprinnelig ble undersøkelsen gjort med én røntgensender og én detektor i ringen som omkranser pasienten, men alle nye maskiner har multiple detektorer. Dette gjør undersøkelsen raskere og mer presis.
Hvordan foregår undersøkelsen?
Dette kan variere noe fra røntgenavdeling til røntgenavdeling. Den informasjonen som sendes ut fra den røntgenavdelingen du skal undersøkes på, er den som gjelder. Stort sett foregår undersøkelsen som forklart nedenfor.
Du undersøkes liggende på et motorisert bord som flytter deg inn i en "smultring-liknende" åpning (gantry). Du må ligge helt i ro under undersøkelsen for at bildene ikke skal bli uskarpe.
Apparaturen, røntgen-kilder og røntgen-mottakere, i "smultringen" beveger seg rundt deg mens bildene blir tatt. Bildene vises på en skjerm inne hos røntgenpersonalet. Dersom det er behov for å fremstille et område klarere, gis en kontrastinnsprøyting i blodet. Mange opplever en følelse av varme gjennom kroppen når kontrasten sprøytes inn, og noen få reagerer med uvelhet, kvalme og eventuelt oppkast. Dette er ikke en allergisk reaksjon, og går fort over. Ved å puste langsomt og dypt kan du dempe ubehaget.
Pasientforberedelser
Vanligvis tilrås du å faste 2-4 timer før undersøkelsen hvis det skal gis kontrast. Dette for å dempe eventuelt ubehag fra kontrastinnsprøytingen.
Er du gravid, må du varsle ifra fordi man er tilbakeholden med å gjøre CT under svangerskapet. Både henvisende lege og røntgenavdelingen vil vurdere hvor nødvendig undersøkelsen er.
Klaustrofobiske reaksjoner kan forekomme, men de aller fleste gjennomfører undersøkelsen uten store plager. Smertestillende eller beroligende medisiner kan ved behov gis før undersøkelsen slik at pasienten klarer å ligge stille. Dette må administreres på sengepost/poliklinikk.
Metallgjenstander som knapper, glidelås, belter, smykker, etc. må fjernes fra undersøkelsesområdet for å sikre best mulig kvalitet på bildene.
Ved eventuell bruk av kontrast
Har du allergi, må røntgenavdelingen varsles slik at de både kan vurdere behovet for bruk av eventuell kontrast og/eller treffe forebyggende tiltak mot eventuelle allergiske reaksjoner. Særlig gjelder dette hvis du har reagert allergisk på kontrastinnsprøyting tidligere.
Har du diabetes og bruker medisiner som Glucophage/Metformin/Orabet og det blir gitt kontrast i forbindelse med CT-undersøkelsen, vil du få beskjed om å stanse midlertidig med disse tablettene. Dette er for å sikre at ikke nyrene blir overbelastet.
Også pasienter med nedsatt nyrefunksjon eller sykdommen myelomatose krever et spesielt opplegg fra røntgenavdelingen.
Feilkilder
Hjerneblødninger kan være vanskeligere å se, særlig dersom det er gått noe tid (dager, uker) siden blødningen skjedde. En blodpropp i hjernen (lager et hjerneinfarkt) kan overses dersom det har gått for kort tid, dvs. få timer siden skaden skjedde. Pasientbevegelser reduserer kvaliteten på bildene.
Hva kan man finne?
En lang rekke forandringer i hjernen kan påvises ved CT. De hyppigste sykdommene man kan finne er hjerneblødninger og skader på skallen, hjerneskader som følge av hjerneslag (blødning eller blodpropp, trombose), svulster, spredning fra kreftsykdom annet sted i kroppen, betennelser og demensforandringer.
Ved behov for ytterligere utredning vil det kunne være indisert å gjøre MR eller PET av hjernen.
Vil du vite mer?
- CT av hjernen - for helsepersonell
Dette dokumentet er basert på det profesjonelle dokumentet CT av hjernen . Referanselisten for dette dokumentet vises nedenfor
- Wardlaw JM, Seymour J, Cairns J, et al. Immediate computed tomography scanning of acute stroke is cost-effective and improves quality of life. Stroke 2004; 35:2477. Stroke
- Filho JO, Koroshetz WJ. Neuroimaging of acute ischemic stroke. UpToDate, last updated Jan 09, 2015. UpToDate
- ESUR (European Society of Urogenital Radiology) Guidelines on Contrast Agents, 10th version (2028). Nettsiden besøkt 06.06.18. www.esur-cm.org