Myelomatose
Myelomatose er en kreftform kjennetegnet av ukontrollert vekst i en bestemt gruppe av beinmargens celler, de såkalte plasmacellene.

Sist oppdatert:
18. jan. 2021
Hva er myelomatose?
Myelomatose eller multiple myelomer er en kreftform kjennetegnet av ukontrollert vekst i en bestemt gruppe av beinmargens celler, plasmacellene.
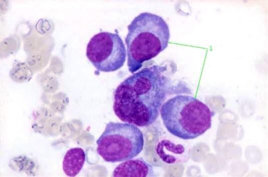
Plasmaceller ved myelomatosePasienter med denne sykdommen har ofte en periode uten symptomer hvor sykdommen kun vises i blodprøver. Etter hvert utvikles symptomer:
- Anemi (lav blodprosent), som kan gi tretthet, svimmelhet, nedsatt fysisk yteevne, hjertebank, tungpust, hodepine, øresus.
- Nedsatt immunforsvar og hyppige infeksjoner - slapphet, feber, hodepine, frysninger.
- Kreftspredning - smerter og brudd i skjelettet på grunn av ansamling av kreftceller som svekker skjelettet.
Andre symptomer kan skyldes sviktende produksjon av blodplater i beinmargen med blødninger i huden og fra slimhinner. Nyresvikt som kan gi kvalme, tørste, slapphet, kløe og vannansamling i kroppen.
Sykdommen opptrer sjelden hos mennesker under 40 år. Gjennomsnittsalder når diagnosen stilles, er ca. 68 år. Årlig oppdages cirka 16 nye pasienter med myelomatose per 100.000 mennesker, i 2019 ble det registrert 506 nye tilfeller her i landet.
Dette dokumentet er basert på det profesjonelle dokumentet Myelomatose . Referanselisten for dette dokumentet vises nedenfor
- Rajkumar SV, Kumar S. Myeloma: Diagnosis and Treatment. Mayo Clin Proc 2016;91:101-19. pmid:26763514 PubMed
- Rajkumar SV, Dimopoulos MA, Palumbo A, Blade J, et al.International Myeloma Working Group updated criteria for the diagnosis of multiple myeloma. Lancet Oncol 2014;15:e538-48. Pmid: 25439696 PubMed
- Michels TC, Petersen KE. Multiple myeloma: diagnosis and treatment. Am Fam Physician. 2017 Mar 15;95(6):373-383A. . pmid:28318212 PubMed
- Kreftregisteret. Cancer in Norway 2019. Oslo: Kreftregisteret, 2020. www.kreftregisteret.no.
- Sirohi B, Powles R. Multiple myeloma. Lancet 2004; 363: 875-87. PubMed
- Bianchi G, Anderson KC. Understanding biology to tackle the disease: multiple myeloma from bench to bedside, and back. CA Cancer J Clin. 2014;64(6):422–444.
- Kyle RA, Larson DR, Therneau TM, et al. Long-term follow-up of monoclonal gammopathy of undertemined significance. N Engl J Med 2018; 378: 241-9. pmid:29342381 PubMed
- Helsedirektoratet. Nasjonalt handlingsprogram med retningslinjer for diagnostikk, behandling og oppfølging av maligne blodsykdommer, 2020. www.helsebiblioteket.no
- Wolf MB, Murray F, Kilk K, Hillengass J, Delorme S, Heiss C, et al. Sensitivity of whole-body CT and MRI versus projection radiography in the detection of osteolyses in patients with monoclonal plasma cell disease. Eur J Radiol 2014;83(7):1222-30 PubMed
- Regelink JC, Minnema MC, Terpos E, et al. Comparison of modern and conventional imaging techniques in establishing multiple myeloma-related bone disease: a systematic review. Br J Haematol. 2013;162(1):50–61.
- Stewart AK, Bergsagel PL, Greipp PR, Dispenzieri A, Gertz MA, Hayman SR, et al. A practical guide to defining high-risk myeloma for clinical trials, patient counseling and choice of therapy. Leukemia 2007;21(3):529-34. PubMed
- Mhaskar R, Kumar A, Miladinovic B, Djulbegovic B. Bisphosphonates in multiple myeloma: an updated network meta‐analysis. Cochrane Database of Systematic Reviews 2017, Issue 12. Art. No.: CD003188. DOI: 10.1002/14651858.CD003188.pub4. DOI
- Himelstein AL, Foster JC, Khatcheressian JL et al. Effect of Longer-Interval vs Standard Dosing of Zoledronic Acid on Skeletal Events in Patients With Bone Metastases A Randomized Clinical Trial. JAMA 2017; 317(1): 48-58. pmid:28030702 PubMed
- Terpos E, Morgan G, Dimopoulos MA, et al. International Myeloma recommendations for the treatment of multiple myeloma-related bone disease. J Clin Oncol. 2013;31(18):2347–2357.
- Lyman GH, Bohlke K, Khorana AA, et al.; American Society of Clinical Oncology. Venous thromboembolism prophylaxis and treatment in patients with cancer: American Society of Clinical Oncology clinical practice guideline update 2014. J Clin Oncol. 2015;33(6):654–656. PMID: 25605844. PubMed
- Blimark C, Holmberg E, Mellqvist U-H. A population-based study on 9253 multiple myeloma patients. Haematologica 2014. doi:10.3324/haematol.2014.107714 DOI
- Greipp PR, San MJ, Durie BG, et al. International staging system for multiple myeloma. J clin Oncol 2005; 23: 3412-20. PubMed
- Ludwig H, Durie BGM, Bolejack V, et al. Myeloma in patients under age 50 presents with more favorable features and shows better survival: an analysis of 10,549 patients from the International Myeloma Working Group. Blood 2008; 111: 4039-47. Blood
- Rajkumar SV, Kyle RA, Therneau TM, et al. Serum free light chain ratio is an independent risk factor for progression in monoclonal gammopathy of undetermined significance. Blood 2005; 106(3): 812-7. pmid:15855274 PubMed