Kronisk lymfatisk leukemi (KLL)
Kronisk lymfatisk leukemi er en kreftform hvor modne og spesialiserte lymfocytter vokser og deler seg uhemmet.

Sist oppdatert:
9. okt. 2020
Hva er kronisk lymfatisk leukemi?

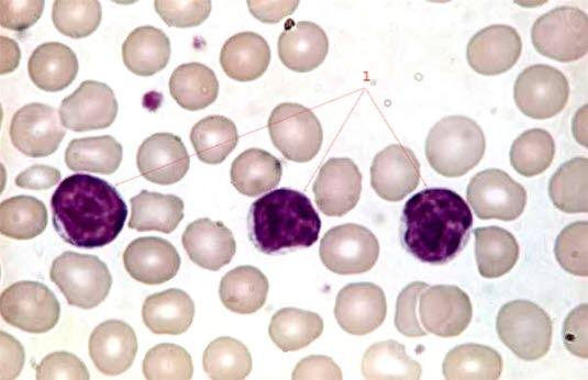
KLL er en form for blodkreft som skyldes at lymfocytter vokser og deler seg uhemmet. Lymfocytter er en av flere typer hvite blodlegemer. De modne lymfocyttene er i starten begrenset til lymfeknuter og annet fast lymfevev. Med tiden vil kreftcellene vokse i beinmargen og antallet av denne typen celler i blodet vil øke. De ondarta cellene er såkalt B-lymfocytter, som er den celletypen som normalt produserer antistoffer.
Opptil åtte av ti med KLL har ingen plager når diagnosen stilles. Det er vanlig å ha flere hovne lymfeknuter. Slapphet, ufrivillig vekttap og tidlig metthet på grunn av forstørret milt, er vanlige symptomer som kan melde seg senere i forløpet. Ved langtkommet sykdom vil det oppstå symptomer som skyldes en svikt i beinmargens produksjon av blodceller:
- Slapphet og tretthet som skyldes lav blodprosent
- Hyppige infeksjoner som skyldes færre friske hvite blodceller
- Blødninger i hud eller slimhinner som skyldes færre blodplater
KLL er den vanligste av blodkreftsykdommene og årlig oppstår rundt 250-300 nye tilfeller i Norge. Sykdommen opptrer vanligvis hos eldre mennesker, og er svært sjelden før 40-årsalder. Gjennomsnittlig alder når diagnosen blir stillt er 72 år.
Dette dokumentet er basert på det profesjonelle dokumentet Kronisk lymfatisk leukemi . Referanselisten for dette dokumentet vises nedenfor
- Helsedirektoratet. Nasjonalt handlingsprogram med retningslinjer for diagnostikk, behandling og oppfølging av maligne blodsykdommer. IS-2746. Oslo, mai 2020. www.helsedirektoratet.no
- Danckert B, Ferlay J, Engholm G et al. NORDCAN: Cancer Incidence, Mortality, Prevalence and Survival in the Nordic Countries, Version 8.2 (26.03.2019). Hentet 18.06.19 www-dep.iarc.fr
- Kanti RR, Stilgenbauer S. Clinical presentation, pathologic features, diagnosis, and differential diagnosis of chronic lymphocytic leukemia. UpToDate, last updated Sep 2016. UpToDate
- Tjønnfjord GE, Jønsson V, Ly BE, Johannesen TB. Familiær forekomst av kronisk lymfatisk leukemi i Norge. Tidsskr Nor Lægeforen 2012; 135: 2060-3. pmid:23038196 PubMed
- Hallek M, Shanafelt TD, Eichhorst B. Chronic lymphocytic leukaemia. Lancet 2018; 391: 1524-37. pmid:29477250 PubMed
- Tjønnfjord GE, Ly BE, Johannesen TB et al. Kronisk lymfatisk leukemi i Norge – insidens og prognose ved diagnosetidspunktet. Tidsskr Nor Legeforen 2012; 132: 2056-9. pmid:23038195 PubMed
- Hallek M. Chronic lymphocytic leukemia: 2015 Update on diagnosis, risk stratification, and treatment. Am J Hematol. 2015 May;90(5):446-60. pmid: 25908509 PubMed
- Fischer K, Bahlo J, Fink AM et al. Long-term remissions after FCR chemoimmunotherapy in previously untreated patients with CLL: updated results of the CLL8 trial. Blood 2016; 127: 208-15. pmid:26486789 PubMed
- Eichhorst B, Fink AM, Bahlo J et al. First-line chemoimmunotherapy with bendamustine and rituximab versus fludarabine, cyclophosphamide, and rituximab in patients with advanced chronic lymphocytic leukaemia (CLL10): an international, open-label, randomised, phase 3, non-inferiority trial. Lancet Oncol 2016; 7: 928-42. pmid:27216274 PubMed
- Tam CS, O'Brien S, Plunkett W et al. Long-term results of first salvage treatment in CLL patients treated initially with FCR (fludarabine, cyclophosphamide, rituximab).. Blood 2014; 124: 3059-64. pmid:25281606 PubMed
- Byrd JC, Brown JR, O`Brien S, et al. Ibrutinib versus Ofatumumab in Previously Treated Chronic Lymphoid Leukemia. N Engl J Med 2014 May 31. pmid: 24881631 PubMed
- O'Brien S, Furman RR, Coutre S et al. Single-agent ibrutinib in treatment-naïve and relapsed/refractory chronic lymphocytic leukemia: a 5-year experience. Blood 2018; 131: 1910-19. pmid:29437592 PubMed
- Sharman JP, Coutre SE, Furman RR et al. Final Results of a Randomized, Phase III Study of Rituximab With or Without Idelalisib Followed by Open-Label Idelalisib in Patients With Relapsed Chronic Lymphocytic Leukemia. J Clin Oncol 2019; 37: 1391-1402. pmid:30995176 PubMed
- Jain N, Keating M, Thompson P et al. Ibrutinib and Venetoclax for First-Line Treatment of CLL. N Engl J Med 2019; 380: 2095-2103. pmid:31141631 PubMed