Epifysiolyse i hoften
I pubertetsårene kan en sykdom oppstå i vekstsonen til lårbeinet, en såkalt epifysiolyse. Toppen av hoftekula (lårbeinshodet), som befinner seg ovenfor vekstsonen, begynner å gli bakover og nedover.

Sist oppdatert:
13. mai 2019
Innhold i artikkelen
Hva er epifysiolyse?
I de lange rørknoklene i beina og armene finnes vekstsoner eller vekstskiver der lengdeveksten i knoklene foregår. Denne vekstsonen betegnes på fagspråket for epifysen, og den befinner seg nær enden på et bein, det vil si nær leddet. I hoftekula på lårbeinet finnes en slik epifyseskive. I pubertetsårene kan vekstskiven svekkes og løsne fra benet, en såkalt epifysiolyse. Toppen av hoftekula (lårbeinshodet), som befinner seg ovenfor vekstsonen, begynner å gli bakover og nedover. Situasjonen kan sammenlignes med en softis som glir av kjeksen. Tilstanden må korrigeres raskt for å unngå livslange hofteplager.

Epifysiolyse av lårbeinshodet er en av de vanligste hoftelidelser hos barn i puberteten, men likevel er det en forholdsvis sjelden tilstand. Det er funnet forekomsten av nye tilfeller er ca. 5 per 100.000 i aldersgruppen 0-16 år. Hos gutter forekommer epifysiolyse i aldersgruppen 10-17 år, hyppigst rundt 14 års alder. Hos jenter ses sykdommen i aldersgruppen 8-15 år, hyppigst rundt 12 års alder. I ett av fire tilfeller finnes tilstanden i begge hofteleddene samtidig. Dersom tilstanden er ensidig, er risikoen 60-80% for at tilstanden utvikler seg også i den andre hoften på et senere tidspunkt. Overvektige barn har økt risiko for tilstanden.
Årsak
Vi vet ikke hva årsaken er, men det er sannsynligvis en rekke faktorer som kan ha betydning. Overvekt er en risikofaktor fordi den økte kroppsvekten bidrar til å skyve toppen av hoftekula ned av vekstskiven. I noen tilfeller kan arv spille en rolle fordi i 5-7 prosent av tilfellene forekommer tilstanden i familien.
I de sjeldne og atypiske tilfellene der tilstanden forekommer hos barn under 10 år, kan årsaken være en underliggende forstyrrelse i kroppens hormonomsetning. Disse barna har oftere samtidige forandringer i begge hofteleddene.
Symptomer
I de fleste tilfeller utvikler tilstanden seg gradvis over flere uker. Ubehag går etter hvert over i smerter. Lokalisasjon av smertene kan variere noe, men vanligvis klager barnet/ungdommen over smerter i hoften, på innsiden av låret og/eller i kneet. Noen opplever bare smerter i kneet. Smertene forverres ved belastning. Barnet/tenåringen begynner å halte og bevegeligheten i hofteleddet innskrenkes.
Diagnosen
Tilstanden kan lett overses tidlig i forløpet. Det er derfor viktig at lege og eventuelt foreldre mistenker tilstanden hos barn i den aktuelle aldersgruppen som begynner å halte og som klager over smerter i hoften, lysken, låret eller kneet.
Ved undersøkelsen vil legen ofte finne at barnet/tenåringen ligger med hoften litt bøyd og rotert utover. Særlig evnen til å rotere hofteleddet innover er innskrenket. Men også evnen til å bøye opp i hofteleddet og bevege det ut til siden er innskrenket. Barnet/tenåringen halter ved gange. Hos noen blir plagene så uttalte at de ikke klarer å belaste foten.
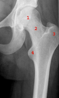
Diagnosen bekreftes ved røntgenundersøkelse av hofteleddet. Man ser da hvordan toppen på hoftekula glir av resten av leddhodet.
Behandling
Målet med behandlingen er å forhindre ytterligere skade og begrense risikoen for fremtidige hofteplager.
Rask behandling er viktig. Det er nødvendig å stanse glidningen før den blir altfor uttalt. Det gjøres ved å operere inn en eller flere pinner eller skruer gjennom de to delene av leddhodet, slik at man får "spikret sammen" hoftekula. Barnet/tenåringen må bruke krykker og avlaste hoften både før og etter inngrepet. For å redusere risikoen for fremtidige og livslange plager fra hoften, bør barnet/tenåringen avlaste hoftene og bruke krykker i 6-8 uker, fram til første kontroll på sykehuset.
Prognose
Dersom man kommer tidlig til med behandling, og glidningen er bare moderat, er utsiktene gode. Hoften vil bli tilnærmet normal, og barnet vil unngå fremtidige plager. Er glidningen stor før man får stoppet den, og det foreligger en ustabil tilstand, er risikoen for fremtidige plager større. Unntaksvis hender det at inngrepet også kan medføre varige skader på hoftekulen.
På kort sikt kan det oppstå flere komplikasjoner. Den alvorligste er såkalt avaskulær nekrose av leddhodet. Det betyr at blodforsyningen til leddhodet svikter, og beinvev dør. Risikoen for denne komplikasjonen er naturlig nok større jo større den opprinnelige glidningen var.
Også brusken kan på sikt skades, noe som kan føre til stivhet i leddet og smerter.
På lengre sikt kan en gjennomgått epifysiolyse øke risikoen for forkalkninger og feilbelastninger i hofteleddet (hofteartrose).
Det er viktig at barnet blir fulgt opp med jevnlige kontroller, blant annet med røntgen, fordi sykdommen ofte kan opptre også i den andre hofta.
Etter lukning av vekstskiven i cirka 15-årsalderen kan tenåringen tillates å delta i sport og idrett, som det å løpe, og etter hvert også i kontaktidretter.
Vil du vite mer
Dette dokumentet er basert på det profesjonelle dokumentet Epifysiolysis capitis femoris . Referanselisten for dette dokumentet vises nedenfor
- Wensaas A, Svenningsen S. Behandling av epiphysiolysis capitis femoris med spesialkonstruert collumskrue. Tidsskr Nor Lægeforen 2005; 125: 2788-90. PubMed
- Peck D. Slipped capital femoral epiphysis: diagnosis and management. Am Fam Physician 2010; 82: 258-62. American Family Physician
- Perry DC, Metcalfe D, Costa ML, Van Staa T. A nationwide cohort study of slipped capital femoral epiphysis. Arch Dis Child 2017; 102: 1132. pmid:28663349 PubMed
- Gundersen T. Epifysiolysis capitis femoris. Metodebok i ortopedisk kirurgi. Haukeland Universitetssykehus 2018. Sist oppdatert 16.03.2018. Siden lest 10.05.2019 www.prosedyrer.no
- Novais EN, Millis MB. Slipped capital femoral epiphysis: prevalence, pathogenesis, and natural history. Clin Orthop Relat Res 2012;470: 3432-3438. PubMed
- Walter KD. Slipped capital femoral epiphysis. Medscape, last updated Dec 03, 2018. emedicine.medscape.com
- Gholve PA, Cameron DB, Millis MB. Slipped capital femoral epiphysis update. Curr Opin Pediatr 2009; 21: 39-45. PubMed
- Murray AW, Wilson NI. Changing incidence of slipped capital femoral epiphysis: a relationship with obesity? J Bone Joint Surg Br 2008; 90: 92-4. PubMed
- Bhatia NN, Pirpiris M, Otsuka NY. Body mass index in patients with slipped capital femoral epiphysis. J Pediatr Orthop 2006; 26: 197-9. PubMed
- Papavasiliou KA, Kirkos JM, Kapetanos GA, Pournaras J. Potential influence of hormones in the development of slipped capital femoral epiphysis: a preliminary study. J Pediatr Orthop B 2007; 16: 1-5. PubMed
- Houghton KM. Review for the generalist: evaluation of pediatric hip pain. Pediatr Rheumatol Online J 2009; 710.
- Manoff EM, Banffy MB, Winell JJ. Relationship between body mass index and slipped capital femoral epiphysis. J Pediatr Orthop 2005; 25: 744-6. PubMed
- Rahme D, Comley A, Foster B, Cundy P. Consequences of diagnostic delays in slipped capital femoral epiphysis. J Pediatr Orthop B 2006; 15: 93-7. PubMed
- Katz DA. Slipped capital femoral epiphysis: the importance of early diagnosis. Pediatr Ann 2006; 35: 102-11. PubMed
- Kocher MS, Bishop JA, Weed B, et al. Delay in diagnosis of slipped capital femoral epiphysis. Pediatrics 2004; 113: e322-e325.
- Green DW, Reynolds RA, Khan SN, Tolo V. The delay in diagnosis of slipped capital femoral epiphysis: a review of 102 patients. HSS J 2005; 1: 103-6. PubMed
- Lowndes S, Khanna A, Emery D, et al. Management of unstable slipped upper femoral epiphysis: a meta-analysis. Br Med Bull. 2009;90:133-146. PubMed
- Loder RT, Starnes T, Dikos G, Aronsson DD. Demographic predictors of severity of stable slipped capital femoral epiphyses. J Bone Joint Surg Am 2006; 88: 97-105. PubMed
- Roaten J, Spence DD. Complications Related to the Treatment of Slipped Capital Femoral Epiphysis. Orthop Clin North Am. 2016; 47: 405-13. PMID: 26772949. PubMed
- Jarrett DY, Matheney T, Kleinman PK. Imaging SCFE: diagnosis, treatment and complications. Pediatr Radiol 2013;43 Suppl 1: S71-82.
- Bittersohl B, Hosalkar HS, Zilkens C, Krauspe R. Current concepts in management of slipped capital femoral epiphysis. Hip international : the journal of clinical and experimental research on hip pathology and therapy. 2015; 25: 104-14.
- Peck K, Herrera-Soto J. Slipped capital femoral epiphysis: what's new?. Orthop Clin North Am 2014;45: 77-86. PubMed
- Kalogrianitis S, Tan CK, Kemp GJ, Bass A, Bruce C. Does unstable slipped capital femoral epiphysis require urgent stabilization? J Pediatr Orthop B 2007; 16: 6-9. PubMed
- Örtegren J, Björklund-Sand L, Engbom M, et al. Unthreaded Fixation of Slipped Capital Femoral Epiphysis Leads to Continued Growth of the Femoral Neck.. J Pediatr Orthop 2016; 36: 494-8. PubMed
- Abu Amara S, Leroux J, Lechevallier J. Surgery for slipped capital femoral epiphysis in adolescents.. Orthop Traumatol Surg Res 2014; 100: S157-67. PubMed
- Boero S, Brunenghi GM, Carbone M, Stella G, Calevo MG. Pinning in slipped capital femoral epiphysis: long-term follow-up study. J Pediatr Orthop B 2003; 12: 372-9. PubMed
- Loder RT. Correlation of radiographic changes with disease severity and demographic variables in children with stable slipped capital femoral epiphysis. J Pediatr Orthop 2008; 28: 284-90. PubMed
- Lehmann CL, Arons RR, Loder RT, Vitale MG. The epidemiology of slipped capital femoral epiphysis: an update. J Pediatr Orthop 2006; 26: 286-90. PubMed
- Kishan S, Upasani V, Mahar A, et al. Biomechanical stability of single-screw versus two-screw fixation of an unstable slipped capital femoral epiphysis model: effect of screw position in the femoral neck. J Pediatr Orthop 2006; 26:601. PubMed
- Guzzanti V, Falciglia F, Stanitski CL. Slipped capital femoral epiphysis in skeletally immature patients. J Bone Joint Surg 2004; 86: 625-780. PubMed