Skader på muskler, bein og ledd
Skader på muskler, bein og ledd forekommer hyppig. Noen skader skjer særlig ofte, som ankelforstuvninger, håndleddsbrudd, overrivning av akillessenen.

Sist oppdatert:
8. sep. 2020
Ulike skadetyper

Skader mot bein, ledd og muskler innbefatter beinbrudd, ledd ut av stilling (dislokasjoner), overstrekninger og overrivninger. Et bein kan være brekt tvers over, på langs (ofte spiralformet) eller beinet er knust/sprukket. Et ledd kommer ut av stilling når et av dets bein blir skjøvet ut av sin normale posisjon. En overrivning skjer når leddbånd som holder beinene sammen i leddet, blir overrevet. En overstrekning er en overstrukket muskel eller sene (den delen som fester muskelen til beinet).
Diagnostikk
Det kan være vanskelig å skille mellom skader på bein, ledd og muskler. Kjennskap til hvordan skaden skjedde, er viktig i forhold til hvilken skade som bør mistenkes. Er du i tvil, er den tryggeste måten å behandle skaden på, å mistenke at det foreligger et beinbrudd.
Unngå å flytte unødvendig på de skadete delene fordi det kan øke skadeomfanget og gi ødeleggelser på blodkar, vev og indre organer.
Ikke gi den skadete noe å spise eller drikke da det kan bli aktuelt å gi vedkommende narkose i forbindelse med en eventuell operasjon.
Beinbrudd


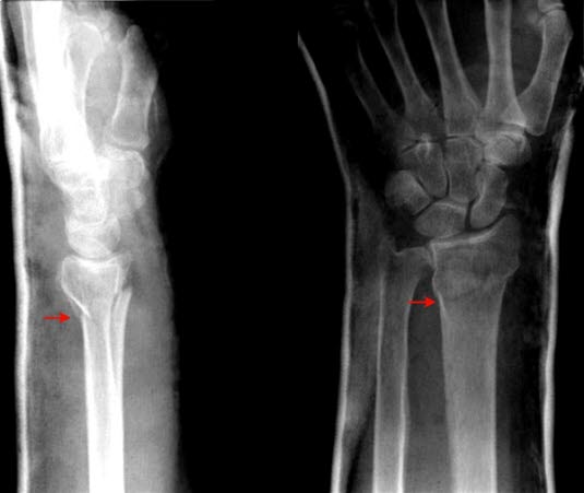
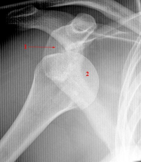
Det kreves en betydelig kraft for å brekke et bein, hvis da ikke beinet er svekket på forhånd av sykdom. Kraften kan være direkte, indirekte eller vridende. En direkte kraft, som et spark, vil brekke beinet på det stedet kraften treffer. Det vanligste beinbruddet er håndleddsbrudd etter fall. En indirekte kraft vil forårsake beinbrudd et stykke unna treffstedet. For eksempel vil et fall på en utstrakt hånd kunne føre til brudd på kragebeinet. En vridende kraft kan også brekke et bein, for eksempel hvis foten setter seg fast og den påfølgende vridningen fører til ankelbrudd.
Et brekt bein er en svært smertefull skade. Hvis et stort bein brekker, vil det dessuten oppstå indre blødning fra ødelagte blodkar i beinet. Hvis et beskyttende bein, som et ribbein, brekkes, er det risiko for skade på innvendige organer. Barn får sjelden vanlige brudd, de får brister i beinet fordi beinvevet er mer elastisk enn hos voksne personer.
Bruddet kan være stabilt, der bruddendene står riktig mot hverandre, eller ustabilt, der bruddendene ikke står mot hverandre og kan beveges i forhold til hverandre. Ustabile brudd kan føre til at beinpipene stikker ut gjennom huden. Hvis en bruddende stikker gjennom huden, sier vi at bruddet er åpent. Hvis huden er inntakt, er bruddet lukket. Et åpent brudd innebærer en betydelig infeksjonsrisiko.
Leddskader


De hyppigste skadene mot ledd er overstrekninger og et ledd som kommer ut av posisjon (dislokasjon), som kan være smertefulle tilstander som tilheler langsomt. Et ledd overstrekkes etter en plutselig og uventet vridning der leddbånd som støtter et ledd, strekkes kraftig eller revner. Ofte oppstår bloduttredelse og hevelse rundt leddet, og bevegeligheten i leddet blir gjerne nedsatt. Slike skader oppstår særlig hyppig i ankelleddene etter å ha tråkket over (ankelforstuvning).
Et ledd som er ute av stilling, dislokert, kan skyldes en sterk kraft som vrir et av bena i leddet ut av sin normale posisjon. Slike skader er vanligst i skulder, kjeve og fingre - en dislokert tommel er en hyppig skiskade. Leddet får da en annen form enn normalt. Det kan også foreligge hevelse og bloduttredelse rundt leddet. Et dislokert ledd i ryggen kan være en alvorlig tilstand fordi det kan skade ryggmargen. I noen tilfeller kan en skulder eller hofte ut av ledd skade nerver i området.
Muskelskader

Musklene som beveger skjelettet, er festet til benene via sener. En muskel eller sene kan bli strukket eller overrevet. Denne typen skade skjer ofte nær overgangen mellom muskel og sene. Det kan være bare noen få eller det kan være mange muskelfibre som er overrevet - ja, det hender at hele senen kan rives over, f.eks. avrevet akillessene. Slike skader forårsaker kraftig blødning i området. Siden blødningen skjer dypt i vevet, blir den ikke alltid synlig, men den kan gi sterke smerter og ubehag. En overrevet muskel eller sene trenger vanligvis lang tid på å tilhele.