Skulderen ute av ledd
Skulderen kan komme ut av ledd ved fall eller slag mot skulderen.

Sist oppdatert:
29. apr. 2019
Innhold i artikkelen
Det er viktig å få skulderen i ledd igjen så snart som mulig.
Hva skjer når skulderen kommer ut av ledd?
SkulderleddetLuksasjon av skulderleddet betyr at skulderen er "ute av ledd". Skulderleddet dannes i møtepunktet mellom skulderbladet (scapula) og overarmsbeinet (humerus). Skulderbladet er leddskålen, og den beskytter godt mot forskyvninger av leddhodet oppover og bakover. Fremover derimot er det først og fremst muskler som hindrer at leddhodet forskyves, og det kan ved kraftige skader bli en for svak beskyttelse.
Fremre luksasjon er når hodet til overarmsbeinet ligger foran leddhulen i skulderbladet. Leddhodet kan skyves ut av leddskåla i flere retninger, men fremre luksasjon er den hyppigste formen for skulderluksasjon. Tilstanden skyldes oftest en skade (støt, slag, fall, voldsom bevegelse) som etterfølges av sterke smerter i skulderen. Den skadede har problemer med å bevege skulderen. 90-95% av skulderluksasjonene er fremre luksasjoner, dvs. leddhodet glir opp på fremsiden av skulderleddet.
Årsak
Luksasjon skyldes nedsatt stabilitet i skulderen. Skader utløser ofte luksasjonene. Ved fremre luksasjon er den typiske skaden fall mot en arm som holdes ut fra siden (abdusert) og er utadrotert, men slik skade kan også oppstå ved et slag mot armen til en håndballspiller som er i ferd med å kaste ballen. Tidligere luksasjoner er en risikofaktor. Har man hatt skulderen ute av ledd én gang, er risikoen for nye luksasjoner klart økt.
Diagnosen
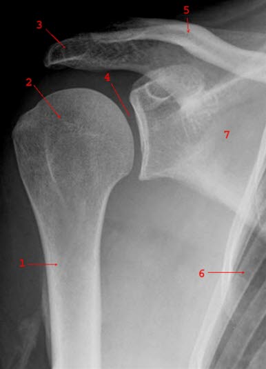
Røntgenbilde av normalt skulderleddDiagnosen er vanligvis lett å stille. Plutselig oppstått smerte og tap av bevegelighet etter en skade er den typiske sykehistorien. Ved skulderundersøkelsen vil det ved fremre luksasjon være et søkk i skulderbuen (den normale skulderkonturen er endret), og hodet til overarmsbeinet kan kjennes fortil i armhulen. Om mulig vil man forsøke å få skulderen på plass igjen, reponert, så snart som mulig. Etter reponering, ved mislykket reponering eller ikke utført reponering, bør vedkommende undersøkes av lege. Legen vil kontrollere nerver og blodkar i armen for å utelukke skade av disse strukturene. Røntgen av skulderen er nødvendig. I sykehus tas det ofte røntgenbilder før og etter behandling.
Behandling
Målet med behandlingen er å bringe skulderen tilbake i leddet (reposisjon) og unngå komplikasjoner. Det er en fordel å få satt skulderen raskt på plass igjen, fordi det hurtig oppstår muskelsammentrekninger som gjør reponering vanskelig. Tidlig reponering gir også mindre skader, og reponering kan gjerne gjøres uten å gi smertestillende. Ved sterke smerter eller senere reponering gis det vanligvis smertestillende og beroligende midler i forkant av reposisjonen.
Reposisjon
Det finnes ulike metoder for dette. Ved den hengende arms metode ligger pasienten på magen på en benk mens armen henger ned. Legen trekker så i armen. Når skulderen er tilbake i leddet, må armen holdes rolig i 2-3 uker. Etterbehandling består i opptrening av armen og skulderen for å øke stabiliteten og bevare funksjonen og balanseevnen.
Operasjon
Yngre pasienter (under 20 år) vil i over 50% av tilfellene få tilbakefall. Derfor er operasjon for å bedre stabiliteten i skulderen aktuelt etter gjentatte episoder med skulderen ute av ledd.
Det finnes imidlertid studier som tyder på at operasjon allerede etter første episode med skulderen ute av ledd, gir bedre langtidsresultatet med færre tilbakefall.
En metaanalyse av gjennomførte studier gir støtte til primærkirurgi blant unge voksne som deltar i krevende idretter eller jobbaktiviteter - der det er økt risiko for nye luksasjoner. Det mangler bevis for at primærkirurgi er bedre for andre pasientgrupper.
Hold armen i ro
Etter at skulderen har kommet på plass, er det viktig både for å unngå ubehag og for å påskynde tilheling, å holde armen i ro. I hvor stor grad armen skal holdes i ro, avhenger av omfanget av skaden. Dersom skulderen har vært ute av ledd en kort stund (minutter til et par timer), og den uten særlig plunder ble satt på plass, er kravet til å holde armen i ro mindre enn om det var en kraftig skade, det tok lang tid før leddet ble satt på plass, det var komplisert å få leddet på plass eller du måtte opereres.
Det kan være nyttig å kjøle ned skulderen med ispakke (ikke is direkte mot huden) de første dagene etter reposisjonen, noe som reduserer den lokale betennelsesreaksjonen (inflammasjonen) og smerten. Kjøl ned 15 til 20 min om gangen. Gjør dette hver 2. til 3. time det første døgnet eller to. Etter 2-3 dager når smerten og betennelsen er mildnet, kan du skifte fra kuldepakninger til varmepakninger som kan bidra til å få stramme og såre muskler til å slappe av. Ikke anvend lokal varme lengre enn 20 min. I samme periode, det vil si de første 3 til 5 dagene, kan det være nyttig å bruke betennelsesdempende medisiner (NSAIDs). Det vil legen din avgjøre, fordi slike medisiner er reseptbelagte. Alternativt brukes paracetamol.
De første dagene etter reposisjonen bør du holde armen immobilisert i et fatle eller slynge. Etter 1 eller 2 dager kan du forsiktig begynne å bruke armen. Unngå den aktiviteten som forårsaket at skulderen kom ut av ledd og forsøk å unngå smertefulle bevegelser. Du kan starte med øvelser som lege eller fysioterapeut har instruert deg i. Start forsiktig, ikke overdriv bevegelsene. Etter hvert som du føler at dette går bra, kan du gradvis øke bevegelsene. Formålet med øvelsene er å bevare bevegeligheten i skuldren. Total inaktivitet vil gjøre at skulderen stivner, og du kan få den tilstanden som kalles "frozen shoulder" eller kapsulitt, noe som gir langvarige skulderplager.
Når skaden i løpet av noen uker er tilhelet, og bevegeligheten er god, kan du begynne å trene skuldrene. Daglige skuldertøyninger og styrkeøvelser kan bidra til å forebygge nye skulderluksasjoner.
Prognose
Yngre pasienter har stor tendens til nye luksasjoner. Pasienter over 40 år får nesten aldri tilbakefall. Komplikasjoner til skulderen ute av ledd kan være ytterligere nedsatt stabilitet i skulderen, karskade og nerveskade. Nerveskade kan ses hos 10% av pasientene. I de fleste tilfeller blir skaden bra i løpet av 3-6 måneder.
Vil du vite mer?
- Skulderluksasjon - for helsepersonell
Dette dokumentet er basert på det profesjonelle dokumentet Skulderluksasjon . Referanselisten for dette dokumentet vises nedenfor
- Cothran VE. Shoulder dislocation. Medscape, last updated Jan 02, 2018. emedicine.medscape.com
- Thangarajah T, Lambert S. Management of the unstable shoulder. BMJ. 2015 May 28;350:h2537. doi: 10.1136/bmj.h2537 DOI
- Quillen DM, Wuchner M, Hatch RL. Acute shoulder injuries. Am Fam Physician 2004; 70: 1947-54. PubMed
- Aune AK. Kroniske skulderlidelser. I: Bahr R, Mæhlum S (red.) Idrettsskader. Oslo: Gazettebok, 2003.
- Jakobsen BW, Johannsen HV, Suder P, Sojbjerg JO. Primary repair versus conservative treatment of first-time traumatic anterior dislocation of the shoulder: A randomized study with 10-year follow-up. Arthroscopy 2007; 23: 118-123. PubMed
- Longo UG, Loppini M, Rizzello G, et al. Management of primary acute anterior shoulder dislocation: systematic review and quantitative synthesis of the literature. Arthroscopy. 2014 Apr;30(4):506-522. PubMed
- Miller SL, Cleeman E, Auerbach J, Flatow EL. Comparison of intra-articular lidocaine and intravenous sedation for reduction of shoulder dislocations: a randomized, prospective study. J Bone Joint Surg Am 2002; 84-A: 2135-9.
- Wakai A, O'Sullivan R, McCabe A. Intra-articular lignocaine versus intravenous analgesia with or without sedation for manual reduction of acute anterior shoulder dislocation in adults. Cochrane Database of Systematic Reviews 2011, Issue 4. Art. No.: CD004919. DOI: 10.1002/14651858.CD004919.pub2 DOI
- Burra G, Andrews JR. Acute shoulder and elbow dislocations in the athlete. Orthop Clin North Am 2002; 33: 479-95. PubMed
- Davy AR, Drew SJ. Management of shoulder dislocation-are we doing enough to reduce the risk of recurrence? Injury 2002; 33: 775-9. PubMed
- DeBerardino TM, Arciero RA, Taylor DC, Uhorchak JM. Prospective evaluation of arthroscopic stabilization of acute, initial anterior shoulder dislocations in young athletes. Two- to five-year follow-up. Am J Sports Med 2001; 29: 586-92. PubMed
- Bottoni CR, Wilckens JH, DeBerardino TM, D'Alleyrand JC, Rooney RC, Harpstrite JK, et al. A prospective, randomized evaluation of arthroscopic stabilization versus nonoperative treatment in patients with acute, traumatic, first-time shoulder dislocations. Am J Sports Med 2002; 30: 576-80. PubMed
- Larrain MV, Botto GJ, Montenegro HJ, Mauas DM. Arthroscopic repair of acute traumatic anterior shoulder dislocation in young athletes. Arthroscopy 2001; 17: 373-7. PubMed
- Cunningham N. A new drug free technique for reducing anterior shoulder dislocations. Emerg Med (Fremantle) 2003; 15: 521-4. PubMed
- Olds M, Ellis R, Donaldson K, Parmar P, Kersten P. Risk factors which predispose first-time traumatic anterior shoulder dislocations to recurrent instability in adults: a systematic review and meta-analysis. Br J Sports Med. 2015 Jul. 49 (14):913-22.
- Vavken P, Sadoghi P, Quidde J, et al. Immobilization in internal or external rotation does not change recurrence rates after traumatic anterior shoulder dislocation. J Shoulder Elbow Surg 2013 Sep 30.