Pantotenat kinase-assosiert nevrodegenerativ sykdom (PKAN)
Sist oppdatert:
12. feb. 2021
Sammendrag
Definisjon:
Arvelig (autosomal recessiv) og progressiv tilstand som oftest skyldes spontane mutasjoner. Den vanligste av de nevrodegenerative jernavleiringssykdommene. Årsaken er en feil på genet PANK2. Feilen fører til en svikt i dannelsen av proteinet pantotenat kinase, og til opphopning av cystein og jern i basalgangliene. Stor variasjon i symptombilde og prognose
Forekomst:
1-3 per million
Symptomer:
For de fleste (75%) vil sykdommen debutere før 10 års alder, som regel ved 3-4 års alderen. Nedsatt nattesyn kan være første symptom. Forsinket psykomotorisk utvikling. Etterhvert vil både kognitive ferdigeheter og motorikk endres i avvikende retning, og utviklingen kan gå via slageaktige dyskinetiske bevegelser til forvridde stillinger og en tale som er vanskelig å forstå. Behov for rullestol vil ofte melde seg i tenårene, og spising blir en utfordring. For noen debuterer tilstanden senere i livet (etter 10 år), og ufrivillige bevegelser, utvikling av lærevansker og kognitiv svikt blir etterhvert tydelig
Funn:
Nedsatt nattesyn, amorfe erytrocytter. Motoriske avvik, spasmeutvikling. Tiltagende kognitiv svikt
Diagnostikk:
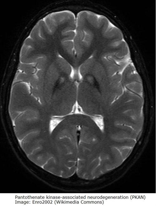
Klinisk bilde og avvik i erytrocyttenes form kan gi mistanke om sykdommen, MR kan vise relativt karakteristiske forandinger. Diagnosen stilles ved gentest som påviser PANK2-mutasjon
Behandling:
Symptomatisk behandling, ingen etablert behandling rettet mot årsaken eksisterer (ennå). Spasmedempende tiltak, ev. implantert elektrode for å dempe ufrivillige bevegelser. Jernbindende behandling har kanskje en effekt (deferipron). Legemidler rettet mot tilstanden er under utprøvning. Mange har betydelig forkortet levetid som følge av komplikasjoner, og dør i 20-årene (ofte av lungebetennelse), mens andre har tilnærmet normal levetid. Tett oppfølging av både pasient og pårørende
Legehandboka har kun et sammendrag av Frambus omtale av denne tilstanden. Frambu har følgende omtale av diagnosen, deres nettside ble besøkt 12.02.21:
- Panthothenate kinase-assosiert nevrodegenerativ sykdom
- Video om tilstanden (6 minutter)
Illustrasjoner
Bilder

Kompetansesenter
Frambu
- Frambu er et landsdekkende kompetansesenter for sjeldne og lite kjente funksjonshemninger
- Frambu er et statlig finansiert supplement til det ordinære hjelpeapparatet
- Frambu er en møteplass for familier og fagersoner
- Frambus tilbud er like mye til voksen som til barn - hele livsløpet