Leddundersøkelse med kontrast
Artrografi er en røntgenundersøkelse av et ledd i kroppen etter innsprøyting av kontrastvæske i leddet. Undersøkelsen gir bilder av det indre av leddet. Undersøkelsen er stort sett erstattet av MR.

Sist oppdatert:
10. juli 2019
Hva er artrografi?
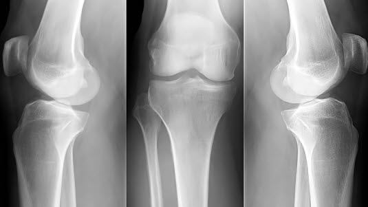
Artrografi er en røntgenundersøkelse av et ledd i kroppen etter innsprøyting av kontrastvæske i leddet. Undersøkelsen gir bilder av det indre av leddet. Artrografi benyttes først og fremst i undersøkelsen av kneledd, skulderledd, hofteledd, albueledd, håndledd, kjeveledd.
Når gjøres artrografi?
Undersøkelsen gjøres ved utredning av vedvarende, uklare leddsmerter. Man ønsker å finne ut hva som er galt med leddet. Undersøkelsen er imidlertid i økende grad blitt erstattet av MR-undersøkelse hvor leddene kan framstilles uten kontrastinnsprøytning.
Ved en normal undersøkelse fylles leddet greitt med kontrastvæske og man får en normal framstilling av strukturene på innsiden av leddkapselen: Leddspalte, slimposer, eventuelle menisker (kneleddet), leddbånd og leddbrusk.
Undersøkelsen
Siden det dreier seg om å sprøyte kontrastvæske inn i et ledd, er det avgjørende at undersøkelsen foregår under sterile betingelser, så det ikke oppstår betennelse i leddet etterpå. Huden rundt innstikkstedet gjøres derfor ren (aseptisk) og omgivende hud dekkes med sterile duker. Lokalbedøvelse sprøytes inn i vevet rundt leddet. Dersom leddet er hovent på grunn av økt mengde leddvæske i leddet, suges noe av leddvæsken ut med en sprøyte. Kontrastvæsken sprøytes inn i leddet. Etter at nålen er fjernet, blir det bøyd og vridd litt på leddet for at kontrastvæsken skal bli jevnt fordelt. Noen ganger blir pasienten bedt om å gå litt eller bruke leddet noen minutter. Røntgenbilder blir så tatt i ulike retninger.
En sjelden gang kan det oppstå bakteriebetennelse i leddet etter undersøkelsen.
Pasientforberedelser
Undersøkelsen krever ingen spesielle forberedelser. Er du allergisk mot jod, må du si ifra, for da kan man ikke bruke jodholdig kontrastvæske. Du kan merke litt ubehag i forbindelse med kontrastinjeksjonen og under manipuleringen med leddet. Etter undersøkelsen bør leddet avlastes i 12 timer. Det er normalt at det kan knake og klikke litt i leddet de første 1-2 dagene etter undersøkelsen.
Hva kan man finne?
De vanligste funnene er forandringer forenlig med leddbetennelse (artritt), leddbåndskader, meniskskader i kneleddet, forandringer i leddhinnen (synovitt), trangere leddspalte og cyster.
Vil du vite mer?
Se animasjon om røntgen
Dette dokumentet er basert på det profesjonelle dokumentet Artrografi . Referanselisten for dette dokumentet vises nedenfor
- Johns Hopkins Medicine. Arthrography. Accessed July 10, 2019.