Fibrøs dysplasi
Fibrøs dysplasi (FD) er en medfødt og svært sjelden tilstand hvor små partier av normalt skjelett (beinvev) erstattes av bindevev.

Sist oppdatert:
7. mars 2023
Hva er fibrøs dysplasi?
Fibrøs dysplasi (FD) er en medfødt og svært sjelden tilstand hvor små partier av normalt skjelett (beinvev) erstattes av bindevev. Bindevev er mykt og elastisk, og kan derfor bule ut fra beinvevet, og beinvevet blir svekket i dette området.
Noen har denne forandringen bare ett sted på kroppen, mens andre kan ha forandringene i flere eller mange knokler.
Forekomst
Tilstanden er sjelden. Antatt forekomst i Norge er ca. 1 person per 100.000 innbyggere.
Årsaker
Sykdommen er medfødt og skyldes en genfeil som oppstår i fosterlivet. Det betyr at tilstanden ikke er arvelig.
Symptomer og tegn
Forandringene i skjelettet er ikke tilstede ved fødsel, men oppstår gradvis, og oftest innen 10-års alder. Hos de fleste stanser utviklingen av sykdommen når skjelettet er utvokst. Noen kan imidlertid fortsatt få nye eller økende forandringer også i voksen alder. Dette gjelder spesielt de som har forandringer i flere ben.
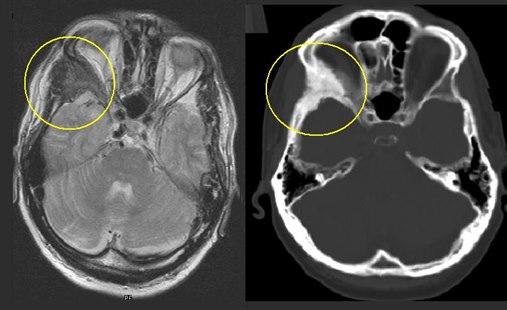
Det hyppigste stedet hvor forandringene opptrer er i ansiktsskjelettet. Dette kan føre til synlige skjevheter eller kuler. Forandringene kan også oppstå på undersiden av skallen og kan da trykke på ryggmarg og nerver fra ryggmargen. Dersom det oppstår forandringer i legger eller lår er det økt risiko for brudd og feilstillinger.
Diagnostikk
Forandringene kan noen ganger ses som kuler i ben - i ansiktet eller andre steder på kroppen. Andre ganger kan forandringene påvises ved røntgen-undersøkelse i forbindelse med smerter eller plager. Som regel vil det være nødvendig med en vevsprøve for sikkert å fastslå diagnosen. Gentest kan også brukes.
Behandling
Det finnes ikke noen behandling som kan stanse utviklingen av fibrøs dysplasi. Behandlingen består derfor av tiltak for å lindre plagene som sykdommen kan medføre.
Forløp og prognose
Utviklingen av tilstanden stanser ofte opp i ung voksen alder, når skjelettet slutter å vokse. Men som nevnt, fortsetter forandringene hos noen. i slike tilfeller kan man ikke gjøre noe annet enn å kontrollere og følge med, og behandle etter hvert som det eventuelt oppstår problemer.
Noen pasienter med fibrøs dysplasi har lite plager, mens andre plages i betydelig grad.
Kompetansesenter
- Sunnaas sykehus er kompetansesenter for fibrøs dysplasi