Beincyste
Enkeltstående beincyster er væskeholdige hulrom som kan danne seg i de lange beina - særlig i overarmsbeinet og lårbeinet. Det er en godartet tilstand, men det kan føre til uventede beinbrudd.

Sist oppdatert:
25. apr. 2019
Hva er en beincyste?

Enkle beincyster opptrer like hyppig blant gutter og jenter. De fleste cyster opptrer før 20-årsalderen, oftest i aldersgruppen 4-10 år. Hos barn under 20 år er de hyppigste lokalisasjonene overarmsbeinet (55-65 prosent), lårbeinet (25-30 prosent), mens cyster forekommer klart sjeldnere i leggbeina og underarmsbeina. Hos voksne over 20 år finnes single beincyster oftere i flate bein som i bekkenet og hælbeinet.
Personer med mange beincyster er vanligvis eldre, og det er en høy mannlig dominans.
Årsak
Årsaken er ukjent. Cysten dannes inne i selve beinvevet, og den dekkes av et tynt skall. Cysten inneholder vanligvis klar væske. Noen ganger kan man finne blodrester i væsken fra et eventuelt tidligere beinbrudd. Cystene finnes vanligvis i endene (metafysene) på lange rørknokler og sjeldnere (10 prosent) i midtre del av rørknokkelen (diafysen).
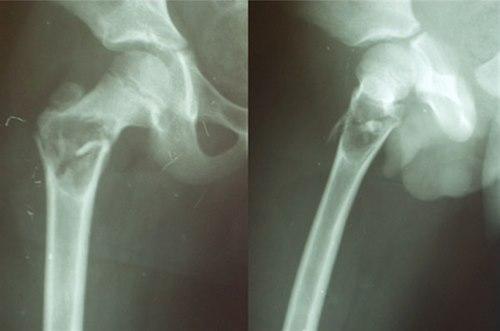
Diagnosen
En beincyste er et fenomen som først og fremst forekommer blant barn og unge mennesker. De gir som regel ingen symptomer. Siden beinvevet kan bli tynt og skjørt der cysten befinner seg, så hender det at det oppstår beinbrudd der cysten er. Derfor presenterer halvparten av alle tilfeller med beincyster seg som et unormalt brudd. Muligheten for en slik forklaring bør derfor vurderes hvis en person får sterke smerter eller hevelse i en arm eller bein etter en mindre skade.
Diagnosen stilles ved røntgen som viser typiske funn, en cyste som omfatter det meste av diameteren til beinet, kun omgitt av en tynn beinet kant. CT eller MR er sjelden påkrevd.
Behandling
Formålet med behandling er å forhindre beinbrudd, fremme tilheling av cysten og hindre tilbakefall eller nytt brudd. I mange tilfeller er det ikke behov for andre tiltak enn å observere tilstanden, gjerne med røntgenkontroller hver 4. til 6. måned. Ved større cyster som innebærer risiko for beinbrudd, må tiltak overveies.
Enkeltstående beincyster kan behandles med utskrapning og beintransplantasjon, kuldebehandling, innsetting av nagle i beinet for å hindre at det brekker eller en kombinasjon av disse metodene. Noen forsøker også kortisoninjeksjoner, men resultatet av slik behandling er uforutsigbart og metoden brukes lite.
Prognosen
Single beincyster vil med tiden lukke seg spontant, men i en del tilfeller ikke før skjelettveksten er avsluttet. Prognosen er god.
Vil du vite mer
Dette dokumentet er basert på det profesjonelle dokumentet Beincyste, solitær . Referanselisten for dette dokumentet vises nedenfor
- Teo E-U H, Peh WCG. Simple bone cyst imaging. Medscape, last updated Nov 14, 2015. emedicine.medscape.com
- Tis JE. Nonmalignant bone lesions in children and adolescents. UpToDate, last updated Mar 13, 2019. UpToDate
- Biermann JS. Common benign lesions of bone in children and adolescents. J Pediatr Orthop 2002; 22:268. PubMed
- Yildiz C, Erler K, Atesalp AS, Basbozkurt M. Benign bone tumors in children. Curr Opin Pediatr 2003; 15:58. PubMed
- Wyers MR. Evaluation of pediatric bone lesions. Pediatr Radiol 2010; 40:468. PubMed
- Chang CH, Stanton RP, Glutting J: Unicameral bone cysts treated by injection of bone marrow or methylprednisolone. J Bone Joint Surg Br 2002; 84: 407-12. PubMed
- Cho HS, Oh JH, Kim HS, et al. Unicameral bone cysts: a comparison of injection of steroid and grafting with autologous bone marrow. J Bone Joint Surg Br 2007; 89:222. PubMed
- Chang CH, Stanton RP, Glutting J. Unicameral bone cysts treated by injection of bone marrow or methylprednisolone. J Bone Joint Surg Br 2002; 84:407. PubMed
- Wright JG, Yandow S, Donaldson S, et al. A randomized clinical trial comparing intralesional bone marrow and steroid injections for simple bone cysts. J Bone Joint Surg Am 2008; 90:722. PubMed