Spondylose
Spondylose er slitasjeforandringer i ryggen. De fleste har lite symptomer eller plager, men noen vil ha ryggsmerter og innskrenket bevegelighet i ryggen.

Sist oppdatert:
30. mars 2021
Hva er det?

Spondylose er fagbetegnelsen på slitasjeforandringer i ryggen (spondyl- betyr ryggvirvel). Med slitasje i ryggen menes slitasje både i skivene mellom virvlene, i selve virvlene og i leddbåndene mellom ryggvirvlene. Det typiske er at skivene, som fungerer som støtputer mellom ryggvirvlene, med årene gradvis mister noe av sin elastisitet. Dette fører blant annet til større belastninger på leddbånd, og i sin tur også til belastninger på skjelettet. På samme måte som i andre ledd i kroppen kan det på grunn av belastningene dannes forkalkninger mellom ryggvirvlene med derav følgende redusert bevegelighet.
Spondylose finnes hos de aller fleste over 40 år, men bare et fåtall har symptomer.
Symptomer
Spondylose er vanligvis ikke forbundet med særlige ryggplager. I de tilfeller der det foreligger kroniske ryggsmerter eller isjias, anses spondylosen som regel å være urelatert.
Noen plages likevel med ryggsmerter og innskrenket bevegelighet. Ryggsmertene kan være verkende av karakter, lokaliseres langs ryggsøylen, hyppigst i nakken og korsryggen, og de forverres dersom man belaster ryggen med uheldige arbeidsstillinger.
Smertene ved spondylose stråler ikke ut i bena, slik som ved isjias. Men det kan noen ganger føles en brennende eller verkende smerte utover i skuldre eller seteparti. Smertene vil ofte variere noe, med perioder med mye plager og andre perioder hvor plagene er mer beskjedne.
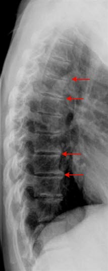
Diagnosen


Diagnosen stilles ved hjelp av vanlige røntgenbilder av ryggraden. Man kan i mange tilfeller se at noen av mellomvirvelskivene er smalere enn normalt. Ofte kan en også se forkalkninger i ryggvirvlene eller i leddbåndene.
Spondylose er svært ofte et tilfeldig funn hos ellers friske individer. MR-undersøkelser av personer uten symptomer viser at cirka 50 prosent av personer over 40 år, har slitasjeforandringer i mellomvirvelskivene i brystdelen av ryggsøylen. Det er derfor liten sammenheng mellom røntgenfunn og grad av plager. I noen tilfeller med svære forandringer på bildene kan plagene være beskjedne, i andre tilfeller er plagene uttalte med beskjedne forandringer på røntgen.
Behandling
Det finnes ingen behandling som kan fjerne eller redusere slike slitasjeforandringer i ryggsøylen. Behandlingen er derfor rettet mot å lindre plager hos dem som trenger det.
Noen pasienter føler god lindring av hvile, eventuelt kombinert med smertestillende medisiner, i korte perioder med mye smerter. Andre føler lindring av varme, for eksempel ved behandling hos fysioterapeut. Sykmelding kan være aktuelt i korte perioder. Trening og styrkeøvelser for ryggen anbefales for å opprettholde kraft og bevegelighet.
Prognose
Dette er aldersforandringer som vil fortsette å utvikle seg uansett behandling. Tiltakene ovenfor vil ikke stoppe prosessen, men de kan lindre symptomene.
Animasjoner


Dette dokumentet er basert på det profesjonelle dokumentet Spondylose . Referanselisten for dette dokumentet vises nedenfor
- Rothschild BM. Lumbar spondylosis. Medscape, last updated Oct 23, 2015. emedicine.medscape.com
- Zukowski LA, Falsetti AB, Tillman MD. The influence of sex, age and BMI on the degeneration of the lumbar spine. J Anat. 2012 Jan. 220 (1):57-66.
- Robinson J, Kothari MJ. Clinical features and diagnosis of cervical radiculopathy. UpToDate, last updated Aug 13, 2014. UpToDate
- O'Neill TW, McCloskey EV, Kanis JA, et al. The distribution, determinants, and clinical correlates of vertebral osteophytosis: a population based survey. J Rheumatol 1999; 26: 842-8. PubMed
- Yoshimura N, Dennison E, Wilman C, et al. Epidemiology of chronic disc degeneration and osteoarthritis of the lumbar spine in Britain and Japan: a comparative study. J Rheumatol 2000; 27: 429-33. PubMed
- Sun D, Liu P,Cheng J, et al. Correlation between intervertebral disc degeneration, paraspinal muscle atrophy, and lumbar facet joints degeneration in patients with lumbar disc herniation. BMC Musculoskelet Disord. 2017; 18: 167. www.ncbi.nlm.nih.gov
- Kalichman L, Carmeli E, Been E. The association between imaging parameters of the paraspinal muscles, spinal degeneration, and low back pain. Biomed Res Int. 2017; 2017: 2562957 . www.ncbi.nlm.nih.gov
- Gibson JNA, Waddell G. Surgery for degenerative lumbar spondylosis. Cochrane Database of Systematic Reviews 2005, Issue 4. Art. No.: CD001352. DOI: 10.1002/14651858.CD001352.pub3. DOI