Kneleddsartrose
Knærne er sammen med hofteleddene de leddene i kroppen som belastes mest gjennom livet. Skader i brusk eller ben i kneleddene er en hyppig tilstand som kalles artrose. Behandlingen er vektreduksjon, fysisk aktivitet, smertestillende medisiner, ev. avlastende tiltak og i noen tilfeller operasjon.

Sist oppdatert:
30. mars 2020
Innhold i artikkelen
Hva er artrose i kneet?
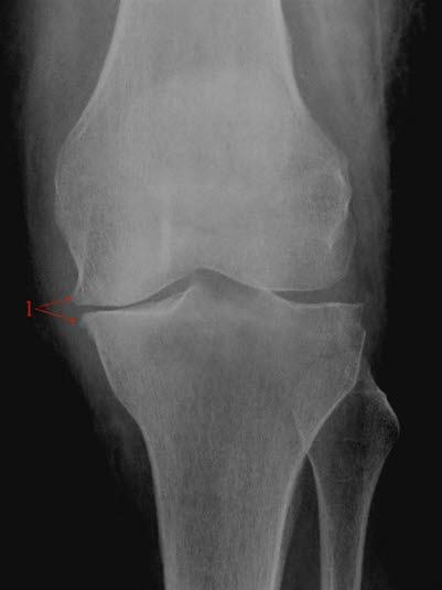
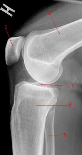
Røntgenbilde av kneleddetKneleddet utgjøres av lårbeinets og leggbeinets leddflater. Beinvevet er kledd med brusk som gjør at leddflatene glir mot hverandre med minst mulig motstand. I tillegg har kneleddet to bruskskiver (meniskene) som fremmer bevegeligheten i leddet. Artrose i kneleddet kalles det når leddbrusk eller bein i kneleddet er endret slik at overflatene ikke lenger er glatte og symmetriske. Dette kaltes tidligere slitasjegikt.


Hovedsymptomet er smerter i kneet. Smerten forverres ved aktivitet. Stivhet i kneleddet er ofte plagsomt etter at du har sittet i ro, eller etter langvarig gående eller stående arbeide. Hos noen utvikles etter hvert smerter i hvile, og i verste fall også om natta med ledsagende søvnvansker. Plutselig forverring av tilstanden kan forekomme ved at biter av brusk løsner og kommer i knip mellom leddflatene.
Ca. 7 prosent av personer eldre enn 55 år og ca. 17 prosent av alle over 75 år har artrose i kneleddene. Tilstanden er dobbelt så hyppig hos kvinner som hos menn. Det forventes at forekomsten av artrose i knærne vil øke, fordi vi lever lenger og fordi stadig flere blir overvektige.
Årsak
Artrose er en tilstand med nedbrytning av overflatene i leddet, hvor spesielt leddbrusken ødelegges. Leddflatene som glir mot hverandre, blir ujevne, noe som medfører irritasjon og smerte, og etter hvert stivhet i kneleddet. Den stadige irritasjonen fører til at det ofte dannes forkalkninger i leddet.
Ulike risikofaktorer bidrar til denne utviklingen:
- Overvekt øker risikoen for å få artrose med 2-3 ganger sammenlignet med normalvekt
- Tidligere brudd som har skapt uregelmessige leddflater
- Sykdom som har skadet leddbrusken, f. eks. leddgikt
- Tidligere kneskader, f. eks. meniskskade
- Uttalt kalvbeinthet eller hjulbeinthet som gir asymmetrisk belastning
Diagnostikk
Typisk er smerter og stivhet i kneleddet. Smerten er verst med det samme du starter fysisk aktivitet, blir bedre etter noe aktivitet, og forverres på ny ved langvarig eller kraftig aktivitet.
Ved undersøkelsen av kneleddet vil legen ofte finne at leddet er mer hovent enn normalt, og bevegeligheten vil over tid bli nedsatt. Ofte høres også knirkelyder ved bevegelser i leddet.



Røntgen av kneet viser typiske artroseforandringer (lette, moderate, uttalte artroseforandringer) og bekrefter diagnosen. Røntgenbildene forteller likevel ikke hele sannheten, fordi det kan være manglende samsvar mellom graden av plager og graden av forandringer på røntgen.
Behandling
Formålet med behandlingen er å lindre symptomene og hindre forverring av tilstanden. Medisiner er kun symptomlindrende og påvirker ikke sykdomsforløpet. Noen behøver kirurgi.
Hva kan du gjøre selv?
- Vektreduksjon er det viktigste enkelttiltaket når dette er relevant.
- Mosjon eller trening med sikte på å styrke de fremre lårmusklene.
- Støttebandasje eller ortose (avlastende skinne) kan lindre noe av plagene.
- Bruke stokk eller krykke for å redusere vektbelastningen på den aktuelle siden.
- Drive med aktiviteter som ikke belaster kneet for mye, slik som sykling og svømming eller lav-intensitets aerobic.
- Bruke støtdempende fottøy.
Medisiner
Som førstevalg anbefales at du bruker paracetamol i perioder med behov for smertelindring. Dette er reseptfrie smertestillende medisiner som kan ha god effekt ved denne typen smerter.
Giktmedisiner (NSAIDs) er betennelsesdempende og smertestillende medikamenter som fås på resept. Giktmedisiner kan brukes i tillegg til paracetamol i perioder med mer smerter, eller de kan også brukes alene. Vær oppmerksom på at giktmedisiner hos noen kan forårsake mageplager, i verste fall kan de medføre magesår. De skal derfor ikke benyttes av personer som har hatt magesår. Dersom du får magesmerter under behandling, må behandlingen avbrytes. Det finnes medisiner som er kombinasjonsprodukter av et NSAID og et magesårbeskyttende middel.
Annen behandling
Fysikalsk behandling kan være nyttig. Behandlingen består blant annet i fysisk aktivitet og styrkeøvelser. Målet er å styrke muskulaturen og øke bevegeligheten i leddet.
Avlastende tiltak som støtdempende såler, kileforma innlegg under hælen eller ortoser (avlastende skinner) kan være nyttige.
Injeksjon av Platerikt plasma (PRP) tilbys av mange private institutter. Man tar blod fra pasienten, dette sentrifugeres slik at man får skilt blodplater fra andre blodceller. Det lages så en konsentrert blanding av blodvæske (plasma) og blodplater. Dette sprøytes inn i leddet. Teorien er at blodplater inneholder såkalte vekstfaktorer som kan bidra til at den ødelagte brusken kan repareres. Studier med varighet opptil 6 måneder, tyder på at dette fører til mindre smerter. Den vitenskapelige dokumentasjonen er imidlertid mangelfull og med ikke ubetydelig muligheter for feil (bias). Det er derfor nødvendig med mer forskning for å avklare om denne behandlingsformen bør være en del av standard behandling for kneleddsartrose.
Kirurgi kan bli aktuelt. Det finnes flere alternative inngrep, og valg av inngrep avhenger av omfanget og lokalisasjonen av artrosen i kneleddet, og alderen din. Det kan være aktuelt å justere leddflatenes posisjon i forhold til hverandre, eller bare foreta en enkel utglatting av brusken. I langtkomne tilfeller er innsetting av delvis eller hel protese (kunstig kneledd) hovedbehandlingen. Erfaringen med innsetting av protese er god, og legene vil i dag kunne foreslå dette inngrepet tidligere enn man gjorde for noen år siden. Undersøkelser har vist at 15 år etter inngrepet fungerer protesen godt hos ca. 90%.
Dersom du røyker, vil røykeslutt en tid før proteseoperasjonen redusere risikoen for komplikasjoner.
Animasjon av innsetting av kunstig kneledd
Prognose
Plagene tiltar som regel over tid. Ved vektreduksjon og ellers riktig egenbehandling (se over) kan du oppnå en bedring av tilstanden. Ufrivillig innskrenket fysisk aktivitet og forstyrret nattesøvn på grunn av smerter kan oppstå i uttalte tilfeller.
Proteseoperasjon har god effekt hos de fleste pasienter, men velges først når egenbehandling, det vil si vektreduksjon, avlastende tiltak, trening og tablettbehandling ikke lenger fører til ønsket resultat.
Vil du vite mer
Dette dokumentet er basert på det profesjonelle dokumentet Kneleddsartrose . Referanselisten for dette dokumentet vises nedenfor
- Dieppe PA, Lohmander LS. Pathogenesis and management of pain in osteoarthritis. Lancet 2005; 365: 965-73. PubMed
- Felson DT. Osteoartrhitis of the knee. N Engl J Med 2006; 354: 841-8. New England Journal of Medicine
- Statens legemiddelverk. Terapianbefaling: Behandling av artrose. Nytt om legemidler 2004; 27 (nr. 3): 21-5.
- Wallace IJ, Worthington S, Felson DT3, et al. Knee osteoarthritis has doubled in prevalence since the mid-20th century. Proc Natl Acad Sci U S A. 2017; 114: 9332-6. pmid:28808025 PubMed
- Nasjonalt Register for Leddproteser: Årsrapport juni 2016. nrlweb.ihelse.net
- American Joint Replacement Registry (AJRR) 2014.
- Felson DT, McLaughlin S, Goggins J, et al. Bone marrow edema and its relation to progression of knee osteoarthritis. Ann Intern Med 2003; 139: 330-6. Annals of Internal Medicine
- Hill CL, Gale DR, Chaisson CE, et al. Periarticular lesions detected on magnetic resonance imaging: prevalence in knees with and without knee symptoms. Arthritis Rheum 2003; 48: 2836-44. PubMed
- Hannan MT, Felson DT, Pincus T. Analysis of the discordance between radiographic changes and knee pain in osteoarthritis of the knee. J Rheumatol 2000; 27: 1513-7. PubMed
- Uthman OA, van der Windt DA, Jordan JL, et al. Exercise for lower limb osteoarthritis: systematic review incorporating trial sequential and network meta-analysis. BMJ 2013; 347: f5555. BMJ (DOI)
- American academy of orthopedic surgeons. Treatment of osteoarthritis of the knee (non arthroplasty). Dec. 2008. www.aaos.org/guidelines
- Dieppe P, Brandt K. What is important in treating osteoarthritis? Whom should we treat and when should we treat them? Rheum Dis Clin North Am 2003; 29: 687-716. PubMed
- Fransen M, McConnell S, Harmer AR, et al. Exercise for osteoarthritis of the knee. Cochrane Database Syst Rev. 2015 Jan 9;1:CD004376. Cochrane (DOI)
- Superio-Cabusley E, Ward MM, Lorig KR. Patient education interventions in osteoarthritis and rheumatoid arthritis: a metaanalytic comparison with non-steroidal anti-inflammatory drug treatment. Artritis Care Res 1996;9:292-301. PubMed
- de Rooij M, van der Leeden M, Cheung J, et al. Efficacy of Tailored Exercise Therapy on Physical Functioning in Patients With Knee Osteoarthritis and Comorbidity: A Randomized Controlled Trial. Arthritis Care Res (Hoboken). 2017 Jun;69(6):807-816. doi: 10.1002/acr.23013. Epub 2017 Apr 24. (Original) PMID: 27563831 PubMed
- Bjordal JM, Klovning A, Ljunggren AE et al. Short-term efficacy of pharmacotherapeutic interventions in osteoarthritic knee pain: a meta-analysis of randomised placebo-controlled trials. Eur J Pain 2006, doi: 10.1016/j.ejpain.2006.02.013.
- Charlesworth J, Fitzpatrick J, Perera NKP, et al. Osteoarthritis- a systematic review of long-term safety implications for osteoarthritis of the knee. BMC Musculoskelet Disord. 2019; 20:151. PMID: 30961569 PubMed
- Xu Z, He Z, Shu L, et al. Intra-Articular Platelet-Rich Plasma Combined With Hyaluronic Acid Injection for Knee Osteoarthritis Is Superior to Platelet-Rich Plasma or Hyaluronic Acid Alone in Inhibiting Inflammation and Improving Pain and Function. Arthroscopy. 2020. PMID: 33091549 PubMed
- Derry S, Wiffen PJ, Kalso EA, et al. Topical analgesics for acute and chronic pain in adults - an overview of Cochrane Reviews. Cochrane Database Syst Rev. 2017 May 12;5:CD008609. doi: 10.1002/14651858.CD008609.pub2. DOI
- Messier SP, Loeser RF, Miller GD, Morgan TM, Rejeski WJ, Sevick MA, et al. Exercise and dietary weight loss in overweight and obese older adults with knee osteoarthritis: the arthritis, diet, and activity promotion trial. Arthritis Rheum 2004; 50: 1501-10. PubMed
- Christensen R, Bartels EM, Astrup A, Bliddal H. Effect of weight reduction in obese patients diagnosed with knee osteoarthritis: a systematic review and meta-analysis. Ann Rheum Dis 2007; 66: 433-9. PubMed
- de Rooij M, van der Leeden M, Cheung J, et al. Efficacy of Tailored Exercise Therapy on Physical Functioning in Patients With Knee Osteoarthritis and Comorbidity: A Randomized Controlled Trial. Arthritis Care Res (Hoboken) 2017; 69: 807-16. pmid: 27563831 PubMed
- Jamtvedt G, Dahm KT, Christie A, et al. Physical therapy interventions for patients with osteoarthritis of the knee: an overview of systematic reviews. Phys Ther 2008; 88: 123-36. PubMed
- Juhl C, Christensen R, Roos EM, et al. Impact of exercise type and dose on pain and disability in knee osteoarthritis: A systematic review and meta-regression analysis of randomized controlled trials. Arthritis Rheumatol 2014; 66: 622–636. doi: 10.1002/art.38290 DOI
- Amin S, Baker K, Niu J, et al. Quadriceps strength and the risk of cartilage loss and symptom progression in knee osteoarthritis. Arthritis Rheum 2009; 60: 189-98. PubMed
- Tanaka R, Ozawa J, Kito N, et al. Efficacy of strengthening or aerobic exercise on pain relief in people with knee osteoarthritis: a systematic review and meta-analysis of randomized controlled trials. Clin Rehabil. 2013;27(12):1059-71. doi: 10.1177/0269215513488898.
- Anwer S, Alghadir A, Brismée JM. Effect of Home Exercise Program in Patients With Knee Osteoarthritis: A Systematic Review and Meta-analysis. J Geriatr Phys Ther. 2016 Jan-Mar;39(1):38-48. pmid: 25695471. PubMed
- Messier SP, Mihalko SL, Beavers DP, et al. Effect of High-Intensity Strength Training on Knee Pain and Knee Joint Compressive Forces Among Adults With Knee Osteoarthritis The START Randomized Clinical Trial. JAMA 2021; 325: 646-57. pmid:33591346 PubMed
- Duivenvoorden T, Brouwer RW, van Raaij TM, et al. Braces and orthoses for treating osteoarthritis of the knee. Cochrane Database of Syst Rev 2015; 3: CD004020. doi:10.1002/14651858.CD004020.pub3 DOI
- Nathanael L, Feehan BS, Gary S, et al. The effectiveness of off-loading knee orthoses in the reduction of pain in medial compartment knee osteoarthritis. J Prosthet Orthot 2012; 24: 39-49. PubMed
- McAlindon TE, Bannuru RR, Sullivan MC, et al. OARSI guidelines for the non-surgical management of knee osteoarthritis. Osteoarthritis and Cartilage 2014; 22: 363-88. doi:10.1016/j.joca.2014.01.003 DOI
- Hinman RS, Crossley KM, McConnell J, Bennell K. Efficacy of knee tape in the management of osteoarthritis of the knee: blinded randomised controlled trial. BMJ 2003; 327: 135-8. PubMed
- da Costa BR, Reichenbach S, Keller N, et al. Effectiveness of non-steroidal anti-inflammatory drugs for the treatment of pain in knee and hip osteoarthritis: a network meta-analysis. Lancet 2017. PMID: 28699595 PubMed
- Machado GC, Maher CG, Ferreira PH, et al. Efficacy and safety of paracetamol for spinal pain and osteoarthritis: systematic review and meta-analysis of randomised placebo controlled trials. BMJ 2015; 350: h1225. doi:10.1136/bmj.h1225 DOI
- Singh JA, Noorbaloochi S, MacDonald R, Maxwell LJ. Chondroitin for osteoarthritis. Cochrane Database of Systematic Reviews 2015, Issue 1. Art. No.: CD005614. PMID: 25629804 PubMed
- Reginster J-Y, Dudler J, Blicharski T, Pavelka K. Pharmaceutical-grade Chondroitin sulfate is as effective as celecoxib and superior to placebo in symptomatic knee osteoarthritis: the ChONdroitin versus CElecoxib versus Placebo Trial (CONCEPT). Ann Rheum Dis 2017. pmid:28533290 PubMed
- McAlindon TE, LaValley MP, Harvey WF, et al . Effect om intra-articular triamcinolone vs saline on knee cartilage volumen and pain in patients with knee osteoarthritis. A randomized clinical trial. JAMA 2017; 317: 1967-75. doi:10.1001/jama.2017.5283 DOI
- Yang W, Sun C, He SQ, et al. The Efficacy and Safety of Disease-Modifying Osteoarthritis Drugs for Knee and Hip Osteoarthritis-a Systematic Review and Network Meta-Analysis. J Gen Intern Med. 2021. PMID: 33846938 PubMed
- Bannuru RR, Schmid CH, Kent DM, et al. Comparative effectiveness of pharmacologic interventions for knee osteoarthritis: A systematic review and network meta-analysis. Ann Intern Med 2015; 162: 46-54. doi:10.7326/M14-1231 DOI
- Rother M, Conaghan PG. A randomized, double-blind, phase III trial in moderate osteoarthritis knee pain comparing topical ketoprofen gel with ketoprofen-free gel. JRheumatol 2013; 40: 1742-8. PMID: 23996292 PubMed
- Gunter BR, Butler KA, Wallace RL, et al. Non-steroidal anti-inflammatory drug-induced cardiovascular adverse events: a meta-analysis. J Clin Pharm Ther 2017; 42: 27-38. pmid:28019014 PubMed
- Han SB, Seo IW, Shin YS. Intra-Articular Injections of Hyaluronic Acid or Steroids Associated With Better Outcomes Than Platelet-Rich Plasma, Adipose Mesenchymal Stromal Cells, or Placebo in Knee Osteoarthritis: A Network Meta-Analysis. Arthroscopy. 2020 Apr 17:S0749-8063(20)30318-2. Epub ahead of print. PMID: 32305424. PubMed
- Abou-Raya A, Abou-Raya S, Khadrawe T. Methotrexate in the treatment of symptomatic knee osteoarthritis: randomised placebo-controlled trial. Ann Rheum Dis. 2014 Mar 27.
- Toupin April K, Bisaillon J, Welch V, et al. Tramadol for osteoarthritis. Cochrane Database of Systematic Reviews 2019, Issue 5. Art. No.: CD005522. DOI: 10.1002/14651858.CD005522.pub3 DOI
- Wandel S, Jüni P, Tendal B, et al. Effects of glucosamine, chondroitin, or placebo inpatients with osteoarthritis of hip or knee: network meta-analysis. BMJ 2010; 341: c4675. BMJ (DOI)
- Gallagher B, Tjoumakaris FP, Harwood MI, et al. Chondroprotection and the prevention of osteoarthritis progression of the knee: a systematic review of treatment agents. Am J Sports Med. 2015 ;43:734-44. doi: 10.1177/0363546514533777 DOI
- Roman-Blas JA, Castañeda S, Sánchez-Pernaute O. Combined treatment with chondroitin sulfate and glucosamine sulfate shows no superiority over placebo for reduction of joint pain and functional impairment in patients with knee osteoarthritis: A six-month multicenter, randomized, double-blind, placebo-controlled clinical trial. Rheumatol 2017; 69: 77. pmid: 27477804 PubMed
- Kwoh CK, Roemer FW, Hannon MJ, et al. Effect of oral glucosamine on joint structure in individuals with chronic knee pain: A randomized, placebo-controlled clinical trial. Arthritis Rheumatol 2014; 66: 930. doi:10.1002/art.38314 DOI
- Pai SK, Allgar V, Giannoudis PV. Are intra-articular injections of Hylan G-F 20 efficacious in painful osteoarthritis of the knee? A systematic review & meta-analysis. Int J Clin Pract. 2014. PMID: 24797624 PubMed
- Jevsevar D, Donnelly P, Brown GA, et al. Viscosupplementation for osteoarthritis of the knee: A systematic review of the evidence. J Bone Joint Surg Am. 2015; 97 :2047-60. PMID: 26677239 PubMed
- Ha CW, Park YB, Choi CH, et al. Efficacy and safety of single injection of cross-linked sodium hyaluronate vs. three injections of high molecular weight sodium hyaluronate for osteoarthritis of the knee: a double-blind, randomized, multi-center, non-inferiority study. BMC Musculoskelet Disord 2017; 18: 223. pmid:28549436 PubMed
- Lisi C, Perotti C, Scudeller L, et al. Treatment of knee osteoarthritis: platelet-derived growth factors vs. hyaluronic acid. A randomized controlled trial. Clin Rehabil. 2018; 32: 330-9. PMID: 28783969 PubMed
- Patel S, Dhillon MS, Aggarwal S, et al. Treatment with platelet-rich plasma is more effective than placebo for knee osteoarthritis: a prospective, double-blind, randomized trial. Am J Sports Med 2013; 41: 356-64. pmid:23299850 PubMed
- Le ADK, Enweze L, DeBaun MR, Dragoo JL. Current Clinical Recommendations for Use of Platelet-Rich Plasma. Curr Rev Musculoskelet Med. 2018; 11: 624-34. pmid:30353479 PubMed
- Laudy ABM, Bakker EWP, Rekers M, Moen MH. Efficacy of platelet-rich plasma injections in osteoarthritis of the knee: a systematic review and meta-analysis. Br J Sports Med 2015; 49: 657-72. pmid:25416198 PubMed
- Sit RWS, Wu RWK, Rabago D, et al. Efficacy of Intra-Articular Hypertonic Dextrose (Prolotherapy) for Knee Osteoarthritis: A Randomized Controlled Trial. Ann Fam Med. 2020 May;18(3):235-242. doi: 10.1370/afm.2520. PMID: 32393559 PubMed
- Vaysbrot EE, Osani MC, Musetti MC , et al. Are bisphosphonates efficacious in knee osteoarthritis? Osteoarthritis Cartilage 2018; 26:154-64. PMID: 29222056 PubMed
- Cai G, Aitken D, Laslett LL, et al. Effect of Intravenous Zoledronic Acid on Tibiofemoral Cartilage Volume Among Patients With Knee Osteoarthritis With Bone Marrow Lesions A Randomized Clinical Trial. JAMA 2020; 323: 1456-66. doi:10.1001/jama.2020.2938 DOI
- Pas HI, Winters M, Haisma HJ et la. Stem cell injections in knee osteoarthritis: a systematic review of the literature. Br J Sports Med 2017; 51: 1125-33. pmid:28258177 PubMed
- Delanois RE, Etcheson JI, Sodhi N et al. Biologic Therapies for the Treatment of Knee Osteoarthritis. J Arthroplasty 2018. pmid:30612835 PubMed
- Roddy E, Zhang W, Doherty M. Aerobic walking or strengthening exercise for osteoarthritis of the knee? A systematic review. Ann Rheum Dis 2005; 64: 544-8. PubMed
- Hurley M, Dickson K, Hallett R et al. Exercise interventions and patient beliefs for people with hip, knee or hip and knee osteoarthritis: a mixed methods review. Cochrane Database of Systematic Reviews 2018, Issue 4. Art. No.: CD010842. DOI: 10.1002/14651858.CD010842.pub2 DOI
- Bennell KL, Hinman RS, Metcalf BR, et al. Efficacy of physiotherapy management of knee joint osteoarthritis: a randomised, double blind, placebo controlled trial. Ann Rheum Dis 2005; 64: 906-12. PubMed
- Deyle GD, Henderson NE, Matekel RL, et al. Effectiveness of manual physical therapy and exercise in osteoarthritis of the knee. A randomized, controlled trial. Ann Intern Med 2000; 132:173-81. Annals of Internal Medicine
- Nasjonalt kunnskapssenter for helsetjenesten. Effekt av fysioterapi ved kneleddsartrose, begrenset til elektroterapi og øvelsesbehandling. Rapport nr. 7/ 2004.
- Xu Q, Chen B, Wang Y, et al. The Effectiveness of Manual Therapy for Relieving Pain, Stiffness, and Dysfunction in Knee Osteoarthritis: A Systematic Review and Meta-Analysis. Pain Physician 2017; 20: 229-43. pmid:28535547 PubMed
- Osiri M, Welch V, Brosseau L, Shea B, McGowan J, Tugwell P, Wells G. Transcutaneous electrical nerve stimulation for knee osteoarthritis (Cochrane Review). In: The Cochrane Library, Issue 4, 2000. Oxford: Update Software. The Cochrane Library
- Hulme J, Robinson V, DeBie RT, Wells G, Judd M, Tugwell P. Electromagnetic fields for the treatment of osteoarthritis (Cochrane Review). In: The Cochrane Library, Issue 1, 2002. Oxford: Update Software. The Cochrane Library
- Liao CD, Tsauo JY, Liou TH, et al. Clinical efficacy of extracorporeal shockwave therapy for knee osteoarthritis: a systematic review and meta-regression of randomized controlled trials. Clin Rehabil. 2019. PMID: 31066293 PubMed
- Ajrawat P, Radomski L, Bhatia A, et al. Radiofrequency Procedures for the Treatment of Symptomatic Knee Osteoarthritis: A Systematic Review. Pain Med 2019. pmid:31578561 PubMed
- Manheimer E, Cheng K, Linde K, et al. Acupuncture for peripheral joint osteoarthritis. Cochrane Database of Systematic Reviews 2010; 1: CD001977. doi:10.1002/14651858.CD001977.pub2 DOI
- Hinman RS, McCroy P, Pirotta M, et al. Acupuncture for chronic knee pain. A Randomized clinical trial. JAMA 2014; 312: 1313-22. doi:10.1001/jama.2014.12660 DOI
- Gidwani S, Fairbank A. The orthopaedic approach to managing osteoarthritis of the knee. BMJ 2004; 329: 1220-4. PubMed
- Bhattacharyya T, Gale D, Dewire P, Totterman S, Gale ME, McLaughlin S, et al. The clinical importance of meniscal tears demonstrated by magnetic resonance imaging in osteoarthritis of the knee. J Bone Joint Surg Am 2003; 85-A: 4-9.
- Englund M, Lohmander LS. Risk factors for symptomatic knee osteoarthritis fifteen to twenty-two years after meniscectomy. Arthritis Rheum 2004; 50: 2811-9. PubMed
- Fond J, Rodin D, Ahmad S, Nirschl RP. Arthroscopic debridement for the treatment of osteoarthritis of the knee: 2- and 5-year results. Arthroscopy 2002; 18: 829-34. PubMed
- Hanssen AD, Stuart MJ, Scott RD, Scuderi GR. Surgical options for the middle-aged patient with osteoarthritis of the knee joint. Instr Course Lect 2001; 50: 499-511. PubMed
- Moseley JB, O'Malley K, Petersen NJ, et al. A controlled trial of arthroscopic surgery for osteoarthritis of the knee. N Engl J Med 2002; 347: 81-8. PubMed
- Katz JN, Brophy RH, Chaisson CE, et al. Surgery versus physical therapy for a meniscal tear and osteoarthritis. N Engl J Med 2013;368:1675-84. DOI: 10.1056/NEJMoa1301408 DOI
- Siemieniuk RAC, Agoritsas T, Brignardelle-Peterseen R, et al. Arthroscopic surgery for degenerative knee arthritis and meniscal tears: a clinical practice guideline. BMJ 2017; 357 . doi:doi.org/10.1136/bmj.j1982
- Billings A, Scott DF, Camargo MP, Hofmann AA. High tibial osteotomy with a calibrated osteotomy guide, rigid internal fixation, and early motion. Long-term follow-up. J Bone Joint Surg Am 2000; 82-A: 70-9.
- Beard DJ, Davies LJ, Cook JA, et al. The clinical and cost-effectiveness of total versus partial knee replacement in patients with medial compartment osteoarthritis (TOPKAT): 5-year outcomes of a randomised controlled trial. Lancet 2019. pmid:31326135 PubMed
- Ritter MA, Berend ME, Meding JB, Keating EM, Faris PM, Crites B. Long-term follow-up of anatomic graduated components posterior cruciate-retaining total knee replacement. Clin Orthop 2001; 388: 51-7. PubMed
- Khaw FM, Kirk LM, Gregg PJ. Survival analysis of cemented press-fit condylar total knee arthroplasty. J Arthroplasty 2001; 16: 161-7. PubMed
- Shan L, Shan B, Suzuki A, et al. Intermediate and long-term quality of life after total knee replacement: a systematic review and meta-analysis. J Bone Joint Surg Am. 2015;97(2):156-68. PMID: 25609443 PubMed
- Kane RL, Saleh KJ, Wilt TJ, Bershadsky B, Cross WW III, MacDonald RM, et al. Total knee replacement. Rockville, MD: Agency for Healthcare Research and Quality, 2003. (Evidence report/technology assessment No 86.)
- Kmietowicz Z. Mortality after hip and knee replacement has halved since 2003. BMJ 2014; 349: g5599. pmid:25216656 PubMed
- Lindberg MF, Miaskowski C, Rustøen T, Rosseland LA, Cooper BA, Lerdal A. Factors that can predict pain with walking, 12 months after total knee arthroplasty. Acta Orthop. 2016; 87: 600-6. PMID: 27658970 PubMed
- Robertsson O, Knutson K, Lewold S, Lidgren L. The Swedish Knee Arthroplasty Register 1975-1997. An update with special emphasis on 41,223 knees operated on in 1988-1997. Acta Orthop Scand 2001; 71: 503-13. PubMed
- Minns Lowe CJ, Barker KL, Dewey M, Sackley CM. Effectiveness of physiotherapy exercise after knee arthroplasty for osteoarthritis: systematic review and meta-analysis of randomised controlled trials. BMJ 2007; 335: 812. British Medical Journal
- Holm B, Hvidovre HK. Genoptræning efter total knæalloplastik. Ugeskr Læger 2009; 171: 691. Ugeskrift for Læger
- Liao CD, Lin LF, Huang YC, et al. Functional outcomes of outpatient balance training following total knee replacement in patients with knee osteoarthritis: A randomized controlled trial. Clin. Rehabil 2014. pmid:25552523 PubMed
- Tria AJ Jr, Coon Tm. Minimal incision total knee arthroplasty: early experience. Clin Orthop 2003; 416: 185-90. PubMed
- Petursson G, Fenstad AM, Gøthesen Ø, Aamodt A, et al. Computer-Assisted Compared with Conventional Total Knee Replacement: A Multicenter Parallel-Group Randomized Controlled Trial. O. J Bone Joint Surg Am. 2018; 100:1265-74. PMID: 30063588 PubMed
- Møller AM, Villebro N, Pedersen T, et al. Effect of preoperative smoking intervention on postoperative complications: a randomised clinical trial. Lancet 2002; 359: 114-7. PubMed