Tannkjøttbetennelse
Dette er en betennelse i tannkjøttet (gingivitt) og i tannfestet rundt tennene (periodontitt). En annen betegnelse på periodontitt er tannløsningssykdom.

Sist oppdatert:
14. mai 2021
Hva er tannkjøttbetennelse?
Tannkjøttbetennelse er en forholdsvis vanlig tilstand som gir lite symptomer i tidlig fase. Dårlig ånde og lettblødende tannkjøtt er de første symptomene.
Gingivitt er en mild form for tannkjøttsykdom som går tilbake med god tannhygiene. Periodontitt innebærer en betennelse som går dypere ned i vevet og som medfører tap av støttevev og beinvev rundt tennene. Ved periodontitt dannes det lommer i bløtvevet eller dype sprekker mellom tannkjøttet og tannroten. Alvorlig periodontitt kan gjøre at tennene løsner, gir i noen tilfeller smerte og ubehag, hemmer tygging og fører eventuelt til tap av tenner.
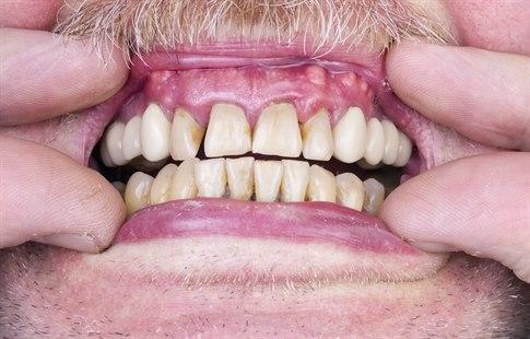
Animasjon av tannkjøttbetennelse (gingivitt)
Vil du vite mer
Dette dokumentet er basert på det profesjonelle dokumentet Tannkjøttbetennelse . Referanselisten for dette dokumentet vises nedenfor
- Pihlstrom BL, Michalowicz BS, Johnson NW. Periodontal diseases. Lancet 2005; 366: 1809-20. PubMed
- Laudenbach JM, Simon Z. Common dental and periodontal diseases: evaluation and management. Med Clin North Am 2014; 98:1239. PubMed
- Burt B, Research, Science and Therapy Committee of the American Academy of Periodontology. Position paper: epidemiology of periodontal diseases. J Periodontol 2005; 76:1406. PubMed
- Albandar JM, Brunelle JA, Kingman A. Destructive periodontal disease in adults 30 years of age and older in the United States, 1988-1994. J Periodontol 1999; 70: 13-29. PubMed
- Nguyen DH, Martin JT. Common dental infections in the primary care setting. Am Fam Physician 2008; 77: 797-802. PubMed
- Kinane DF, Riggio MP, Walker KF, MacKenzie D, Shearer B. Bacteraemia following periodontal procedures. J Clin Periodontol 2005; 32: 708-13. PubMed
- Savarrio L, MacKenzie D, Riggio MP, Saunders WP, Bagg J. Detection of bacteraemias during non-surgical root canal treatment. J Dent 2005; 33: 293-303. PubMed
- Teeuw WJ, Gerdes VE, Loos BG. Effect of periodontal treatment on glycemic control of diabetic patients: a systematic review and meta-analysis. Diabetes Care 2010; 33: 421-7. PubMed
- Ito HO. Infective endocarditis and dental procedures: evidence, pathogenesis, and prevention. J Med Invest 2006; 53: 189-98. PubMed
- Bergstrom J. Tobacco smoking and chronic destructive periodontal disease. Odontology 2004; 92: 1-8. PubMed
- Kudiyirickal MG and Pappachan JM. Diabetes Mellitus and Oral Health. Endocrine 2015; 49 (1): 27-34.
- Jordan RC. Diagnosis of periodontal manifestations of systemic diseases. Periodontol 2000 2004; 34: 217-29.
- Trackman PC, Kantarci A. Molecular and clinical aspects of drug-induced gingival overgrowth. J Dent Res 2015; 94 (4): 540-6.
- Aimetti M. Nonsurgical periodontal treatment. Int J Esthet Dent 2014; 9 (2): 251-67 . pmid:24765632 PubMed
- Brurberg GK, Landmark B, Kornør H. Nasjonalt kunnskapssenter for helsetjenesten. Effekt av røyking på utfallet av periodontittbehandling. nr 29 - 2008.
- Ernst CP, Canbek K, Dillenburger A, Willershausen B. Clinical study on the effectiveness and side effects of hexetidine and chlorhexidine mouthrinses versus a negative control. Quintessence Int 2005; 36: 641-52. PubMed
- Charles CH, Mostler KM, Bartels LL, Mankodi SM. Comparative antiplaque and antigingivitis effectiveness of a chlorhexidine and an essential oil mouthrinse: 6-month clinical trial. J Clin Periodontol 2004; 31: 878-84. PubMed
- Quirynen M, Mongardini C, de Soete M, et al. The role of chlorhexidine in the one-stage full-mouth disinfection treatment of patients with advanced adult periodontitis. Long-term clinical and microbiological observations. J Clin Periodontol 2000; 27: 578-89. PubMed
- Renvert S, Lessem J, Dahlen G, Lindahl C, Svensson M. Topical minocycline microspheres versus topical chlorhexidine gel as an adjunct to mechanical debridement of incipient peri-implant infections: a randomized clinical trial. J Clin Periodontol 2006; 33: 362-9. PubMed
- Handal T, Enersen M. Marginal periodontitt. Antibiotikabruk i primærhelsetjenesten. Sist publisert 09.05.2018. www.antibiotikaiallmennpraksis.no
- Axelsson P, Nystrom B and Lindhe J. The long-term effect of a plaque control program on tooth mortality, caries and periodontal disease in adults. Results after 30 years of maintenance. J Clin Periodontol 2004; 31: 749-57. PubMed
- Yaacob M, Worthington HV, Deacon SA, et al. Powered versus manual toothbrushing for oral health. Cochrane Database Syst Rev. 2014;6:CD002281. DOI: 10.1002/14651858.CD002281.pub3 DOI
- Johnson GK and Hill M. Cigarette smoking and the periodontal patient. J Periodontol 2004; 75: 196-209. PubMed