Cyster på eggstokkene
Cyster på eggstokkene vil i de fleste tilfeller ikke gi noen symptomer, men hvis cystene blir store, kan de trykke på blære eller endetarm. Hvis cysten roterer rundt stilken, vil det gi akutte magesmerter.

Sist oppdatert:
2. feb. 2021
Innhold i artikkelen
Hva er cyster på eggstokkene?
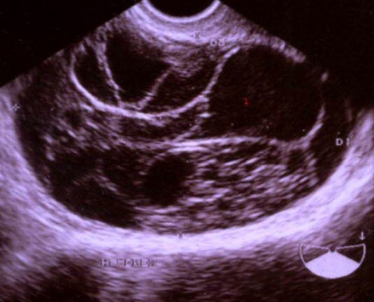
Mucinøst cystadenom (ultralydbilde)Godartede svulster på eggstokkene (ovariene) er som regel cyster. En cyste er en væskefylt blære som kan ses på overflaten av eggstokken. Ofte er det snakk om flere cyster. Polycystisk ovarialsyndrom (PCO) er dog en egen sykdom som er karakterisert ved mange cyster i eggstokkene, og den omtales annet sted.
Mange av de cystene som dukker opp på eggstokkene, er helt normale og kalles derfor fysiologiske cyster. De oppstår som følge av eggløsning, og de krymper vanligvis i løpet av en til tre måneder. Andre cyster skyldes overvekst av forskjellige celletyper i eggstokkene.
Cirka ti prosent av alle menstruerende kvinner mellom 45 og 50 år har en eller flere cyster på eggstokkene. Mens det er noen færre (omtrent syv prosent) av de kvinner som ikke menstruerer, som har slike cyster.
Årsaker til cyster på eggstokkene
Normale cyster
FollikelcystemodningVed hver eggløsning er det flere egg som modnes, men bare ett av dem blir skilt ut ved eggløsningen. I modningsprosessen dannes væskefylte hulrom rundt hvert av de modnende eggene (follikelcyster). Cysten rundt det egget som "vinner kappløpet", brister og egget kommer ut i bukhulen der det fanges opp av egglederen. Umiddelbart etter denne eggløsningen skjer det hormonelle endringer som stanser modningen av de andre eggene, og cystene rundt de gjenværende eggene tilbakedannes (de brister). Noen ganger brister ikke disse follikelcystene. Det kan da finnes enkeltstående eller flere cyster på eggstokken som ikke forsvinner med en gang. Ved PCO er det mange follikelcyster i begge eggstokkene. Også andre typer "normale" cyster kan finnes på eggstokkene (corpus luteum cyster, theca lutein cyster, endometriecyster).
Godartede svulster på eggstokkene
En lang rekke forskjellige svulster kan oppstå i eggstokkene. De fleste av disse er cyster. Det skilles mellom svulster som utgår fra eggstokkenes overflate, og svulster som utgår fra det indre av eggstokken. Blant de svulstene som utgår fra overflaten, skilles det mellom serøse (vandige) og mucinøse (slimige) cystadenomer. De serøse cystadenomene utgjør cirka 25 prosent av alle de godartede eggstokksvulstene, og de finnes på begge sider i 20 prosent av tilfellene. Serøse cystadenomer kan bli meget store. Også de mucinøse svulstene kan bli svært store. Noen ganger kan de sprekke og utsæd av slimproduserende celler på bukhinnen kan være utgangspunkt for cyster andre steder i bukhulen. Teratomer utgjør 10 prosent av de godartede eggstokksvulstene og inni disse svulstene kan man finne ulike typer vev.
Svulster utgått fra det indre av eggstokken (fra ovariestroma) kan være hormonelt aktive og forårsake hormonforstyrrelser og ulike sykdommer som følge av økte mengder av diverse hormoner.
Symptomer på cyster på eggstokkene
I de fleste tilfeller oppdages cyster på eggstokkene tilfeldig hos en kvinne uten noen symptomer. Eggstokkcyster eller -svulster gir symptomer hvis de blir så store at de trykker på blære eller endetarm, eller at mageomfanget øker. Hvis cysten vrir seg rundt stilken (torkveres), blir blodårene avklemt, slik at cysten ikke får tilført nok oksygen. Dette vil gi akutte magesmerter. Smerter kan også komme hvis cysten begynner å blø, eller hvis det går hull på den. Noen ganger kan som nevnt svulsten/cysten produsere hormoner som gir symptomer.
Diagnostikk av cyster på eggstokkene
Symptomene kan noen ganger gi mistanke om diagnosen. Men det er først og fremst ved legeundersøkelsen at legen gjør funn som kan tyde på svulst eller cyste i eggstokken.
Ved den gynekologiske undersøkelsen kan legen kjenne mange av disse svulstene/cystene. Jo større de er, jo lettere er det å oppdage dem. For å stille en sikker diagnose, gjøres det ultralyd av underlivet. Ved behov for å klargjøre hva slags svulst/cyste det er, kan det under veiledning av ultralyd føres en lang nål inn i svulsten, og det kan trekkes ut en vevsprøve som senere undersøkes i mikroskop.
Behandling av cyster på eggstokkene
Follikelcyster observeres gjennom en eller to sykluser. De fleste vil forsvinne spontant, men ultralydveiledet punksjon (stikke hull på) kan være aktuelt. Operativ fjerning blir sjelden nødvendig.
Hvis cysten vokser eller gir symptomer, kan det bli aktuelt med operativ fjerning av cysten. Komplekse cyster eller svulster, særlig hos kvinner etter overgangsalderen, vil man ofte fjerne ved laparoskopi. Ved operasjon av kvinner i reproduktiv alder, vil man så langt som mulig prøve å bevare eggstokkene.
I svært mange tilfeller velger legen å observere tilstanden. Det innebærer at pasienten må komme tilbake til gjentatte ultralydundersøkelser slik at man eventuelt kan oppdage om cysten/svulsten vokser eller endrer seg. I så fall velger man å operere.
Prognosen ved cyster på eggstokkene
Eggstokkcyster har en tendens til å komme tilbake etter behandling. Likevel er prognosen god, fordi dette i utgangspunktet er en godartet lidelse.
Dette dokumentet er basert på det profesjonelle dokumentet Ovarialcyste . Referanselisten for dette dokumentet vises nedenfor
- Hopkins MP, Randolph LK. Ovarian cysts. BestPractice, last updated Nov 05, 2013.
- Stær-Jensen J, Ekerhovd E, Olsen IP, Nordlie K. Benigne ovarialcyster. Veileder i gynekologi. Utkast 2020. Siden besøkt 28.01.2021. www.legeforeningen.no
- Hall GH, Turnbull LW, Richmond I, et al. Localisation of somatostatin and somatostatin receptors in benign and malignant ovarian tumours. Br J Cancer 2002;87:86-90. PubMed
- Shwayder JM. Pelvic pain, adnexal masses, and ultrasound. Semin Reprod Med 2008;26:252-265. PubMed
- Medibas. Ovarialcysta, benign ovarialtumor. Sist revidert 24.09.17; sitert 19.01.18. Tilgjengelig fra: https://medibas.se/handboken/kliniska-kapitel/gynekologi/tillstand-och-sjukdomar/tumorer-och-dysplasi/ovarialcysta/
- Grimes DA, Jones LB, Lopez LM, Schulz KF. Oral contraceptives for functional ovarian cysts. Cochrane Database of Systematic Reviews 2014, Issue 4. Art. No.: CD006134. DOI: 10.1002/14651858.CD006134.pub5. DOI