CT av bukspyttkjertelen
CT er en av de viktigste undersøkelsesmetodene av bukspyttkjertelen, pankreas. Det er særlig i de tilfeller det foreligger gulsott, som antas å skyldes en blokkering av gallegangen, at CT er aktuelt.

Sist oppdatert:
14. juni 2018
Hva er bukspyttkjertelen?
Galleblære og bukspyttkjertelBukspyttkjertelen er som navnet sier, en kjertel. Den ligger nedenfor og bak magesekken, ligger an mot bakre del av bukveggen, dvs. mot ryggen, og den ligger på tvers i buken. "Hodet" på kjertelen ligger an mot tolvfingertarmen, mens "halen" strekker seg mot milten (se figur). Bukspyttkjertelen har to hovedoppgaver:
- Den produserer hormoner som fraktes med blodet, mest kjent er insulin som regulerer blodsukkeret.
- Den produserer enzymer, stoffer som skilles ut i tarmen og som er nødvendige for nedbrytingen av føden.
Utførselsgangen fra bukspyttkjertelen løper sammen med utførselsgangen fra galleveiene, og den felles gangen tømmer seg i tolvfingertarmen. Ved blokkering av den felles utførselsgangen vil galle ikke kunne tømme seg i tarmen, og pasienten utvikler gulsott. Det kan skyldes en gallestein som har kilt seg fast, eller ved at en svulst i "hodet" på bukspyttkjertelen vokser inn i og blokkerer gangen.
Hva er CT?
CT er en forkortelse for Computed Tomography. CT bilder dannes av samme type røntgen-stråler som ved vanlig røntgen. CT teknikken skiller seg fra røntgen ved at man benytter en mer avansert metode for å registrere strålene - en datamaskin brukes for å sette dataene sammen til et bilde. Røntgenkilden og de delene som fanger opp strålene, røntgen-mottakerne eller detektorene, beveger seg rundt området som avbildes, og muliggjør framstilling i tverrsnitt og tre dimensjoner. Fordelen med denne metoden er at den kan påvise svært små forandringer og den kan fremstille bilder av bløtvevet, i motsetning til røntgen som først og fremst kan fremstille beinvev.
CT-bilder er svarthvite. Organene fremstilles i ulike grader av grått. Vev med lav tetthet, f.eks. luftfylte hulrom, vises som mørke eller svarte partier. Vev med høyere tetthet vises i lysere gråtoner. Jo høyere tetthet, jo lysere. Beinvev fremstilles hvitt.
Strålebelastningen er større enn ved de fleste vanlige røntgenundersøkelser, men denne ulempen oppveies av at behandleren får mye større utbyttet (mer informasjon) fra CT - man får rett og slett bedre bilder.
Se animasjon av CT-undersøkelse
CT av bukspyttkjertelen
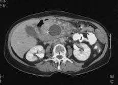
CT-bilde av bukspyttkjertel med svulstUltralyd ble før mye brukt til å granske bukspyttkjertelen, men fordi tarmluft ofte forstyrrer ultralydundersøkelsen blir nå CT eller MR som regel foretrukket. Bukspyttkjertelen forløper hos de fleste litt skrått oppover mot venstre med "hodet" mot tolvfingertarmen og med "halen" mot milten. Den normale utførselsgangen som går fra bukspyttkjertelen til tolvfingertarmen, er ofte så vidt synlig på CT. Det er noe variasjon i form og størrelse på bukspyttkjertelen fra person til person.
Indikasjoner
Det er særlig ved utredning av gulsott som ikke skyldes betennelse, at CT av bukspyttkjertelen blir utført. En av flere mulige forklaringer kan være kreft i bukspyttkjertelen. En svulst har da vokst inn i og stenger av gallegangen. Også i utredningen av akutt betennelse i bukspyttkjertelen blir CT ofte tatt.
Undersøkelsen
CT kan utføres på to forskjellige måter: Som en serie av enkeltbilder eller som et sammenhengende bildeopptak ved såkalt spiral-CT.
Serie av enkeltbilder
Organene som undersøkes, avbildes i mange horisontale skiver, såkalte tverrsnittsbilder. Et og et tverrsnittsbilde blir tatt. Mens tradisjonell røntgen gir et "flatt", todimensjonalt bilde der organ i fremre del av kroppen ligger over organ lengre bak, fremstiller CT bilder uten at organer skygger for underliggende organer. Med bearbeiding av bildesignalene i en datamaskin kan man sette snittene sammen i et tredimensjonalt bilde. Supplert med kontrastinnsprøyting kan svulster og betennelsessykdommer fremstilles gjennom å synliggjøre blodforsyning.
Spiral-CT
Spiral CT er en ny type CT der pasienten flyttes kontinuerlig gjennom strålefeltet slik at de sirkulerende bevegelsene av røntgenkilden og detektorer danner registreringer i en spiral. På denne måten lagres informasjon som et kontinuerlig volum på en datamaskin. Det betyr at større områder kan avbildes i én omgang over kortere tid. Volumdataene brukes så av datamaskinen til å lage snittbilder og eventuelt tredimensjonale bilder.
Hvordan foregår undersøkelsen?
Dette kan variere noe fra røntgenavdeling til røntgenavdeling. Den informasjonen som sendes ut fra den røntgenavdelingen du skal undersøkes på, er den som gjelder. Stort sett foregår undersøkelsen som forklart nedenfor.
Som regel blir du bedt om å drikke en spesiell kontrastoppløsning ca. to timer før undersøkelsen. Oppløsningen gjør det lettere å skille tarmene fra det øvrige vevet. Ved noen undersøkelser kan vann gjøre samme nytten som kontrastoppløsninger.
Du undersøkes liggende på et motorisert bord som flytter deg inn i en "smultring-liknende" åpning (gantry). Du må ligge helt i ro under undersøkelsen for at bildene ikke skal bli uskarpe. Under bildeopptak vil du få beskjed om å holde pusten i korte øyeblikk.
Apparaturen, røntgen-kilder og røntgen-mottakere, i "smultringen" beveger seg rundt deg mens bildene blir tatt. Bildene vises samtidig på en skjerm.
Dersom det er behov for å fremstille et område klarere, gis en kontrastinnsprøyting i blodet. Mange opplever en følelse av varme gjennom kroppen når kontrasten sprøytes inn, og noen få reagerer med uvelhet, kvalme og eventuelt oppkast. Dette er ikke en allergisk reaksjon, og vil gå over raskt. Ved å puste langsomt og dypt kan du dempe dette ubehaget.
Pasientforberedelser
Vanligvis skal du faste fire timer før undersøkelsen, men kan drikke klare væsker i moderate mengder fram til ev. kontrast skal gis.
Er du gravid, må du varsle ifra fordi man er tilbakeholden med å gjøre CT under svangerskapet. Både henvisende lege og røntgenavdelingen vil vurdere hvor nødvendig undersøkelsen er.
Har du allergi, må røntgenavdelingen varsles slik at de både kan vurdere behovet for bruk av eventuell kontrast og/eller treffe forebyggende tiltak. Særlig ved tidligere alvorlig reaksjon på røntgenkontrastmiddel.
Har du diabetes og bruker medisiner som Glucophage/ Metformin/Orabet og det blir gitt kontrast i forbindelse med CT-undersøkelsen, vil du få beskjed om å stanse midlertidig med disse tablettene. Dette er for å sikre at ikke nyrene blir overbelastet.
Også pasienter med nedsatt nyrefunksjon eller sykdommen myelomatose krever et spesielt opplegg fra røntgenavdelingen.
Klaustrofobiske reaksjoner kan forekomme, men de aller fleste gjennomfører undersøkelsen uten store plager. Smertestillende eller beroligende medisiner kan ved behov gis før undersøkelsen slik at pasienten klarer å ligge stille. Dette må administreres på sengepost/poliklinikk.
Metallgjenstander som knapper, glidelås, belter, smykker, etc. må fjernes fra undersøkelsesområdet for å sikre best mulig kvalitet på bildene.
Hvilke funn kan man gjøre?
Akutt betennelse i bukspyttkjertelen kan i noen tilfeller vise forandringer på CT. Bukspyttkjertelen er ofte forstørret og kan ha uskarpe konturer. Ved alvorlig betennelse kan større væskefyllte områder ses som uttrykk for at det foreligger abscesser - byller med ansamling av puss. Man kan også finne væskefyllte hulrom som skyldes lekkasje av bukspyttkjertel-saft, såkalte pseudocyster.
Kronisk betennelse i bukspyttkjertelen kan vises som bindevevsdannelse (fibrose), forkalkninger og pseudocyster. Forandringen kan være vanskelige å skille fra kreft.
Kreft i bukspyttkjertelen befinner seg i to av tre tilfeller i "hodet" på kjertelen - den delen som ligger an mot tolvfingertarmen. Røntgenlegen kan se fortetninger som endrer omrisset av kjertelen. Bildene blir tydeligere etter innsprøyting av kontrast i blodet. Undersøkelsen kan også vise om det er innvekst i naboorganer, eventuelt om det er spredning til leveren.
Illustrasjoner
Dette dokumentet er basert på det profesjonelle dokumentet CT av pankreas . Referanselisten for dette dokumentet vises nedenfor
- ESUR (European Society of Urogenital Radiology) Guidelines on Contrast Agents, 10th version (2018). Nettsiden besøkt 06.06.18. www.esur-cm.org
- Anand MKN. Pancreatic adenocarcinoma imaging. Medscape, last updated Apr 02, 2015. emedicine.medscape.com
- Romero-Urquhart GL. Acute pancreatitis imaging. Medscape, last updated Oct 21, 2015. emedicine.medscape.com