Hopp til innhold
NHI.no
Annonse
Bilde

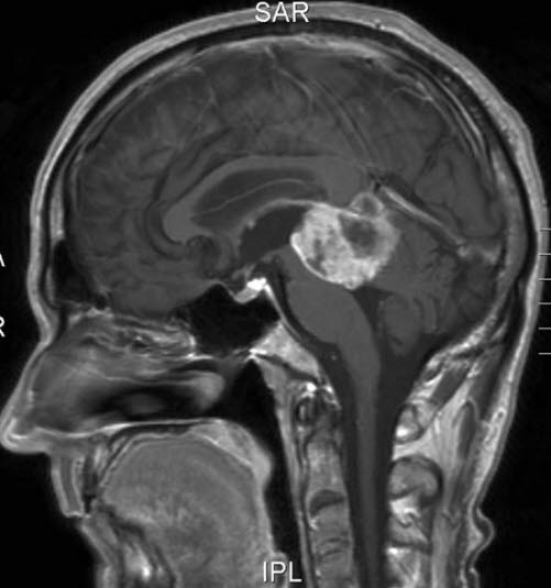
Pineoblastom, sagittalt snitt

Sist oppdatert:

3. feb. 2016

pineoblastom 1

Gjengitt med tillatelse av Radiologisk avdeling, Universitetssykehuset Nord-Norge