Hopp til innhold
NHI.no
Annonse
Bilde

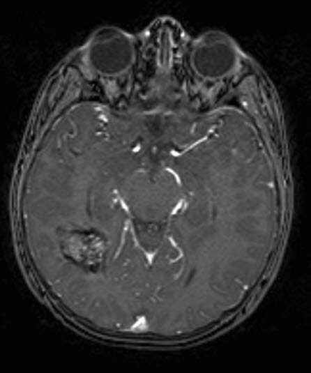
Kavernøst hemangiom, aksialt snitt 1

Sist oppdatert:

3. feb. 2016

kavernøst hemangiom 1

Gjengitt med tillatelse av Radiologisk avdeling, Universitetssykehuset Nord-Norge