Hopp til innhold
NHI.no
Annonse
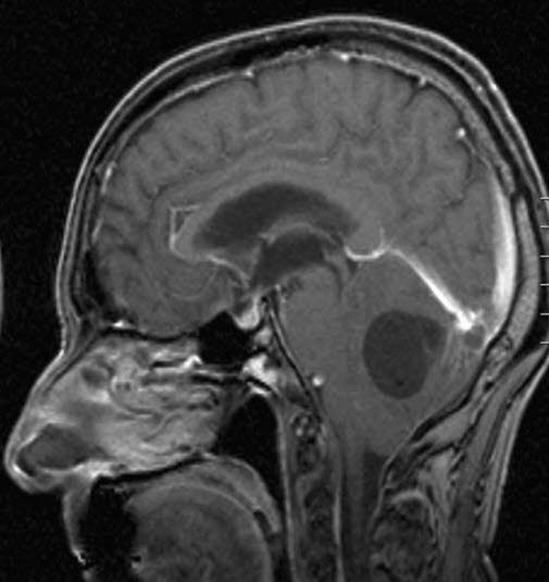
Bilde

Hemangioblastom, sagittalt snitt

Sist oppdatert:

3. feb. 2016

hemangioblastom 2

Gjengitt med tillatelse av Radiologisk avdeling, Universitetssykehuset Nord-Norge