Hopp til innhold
NHI.no
Annonse
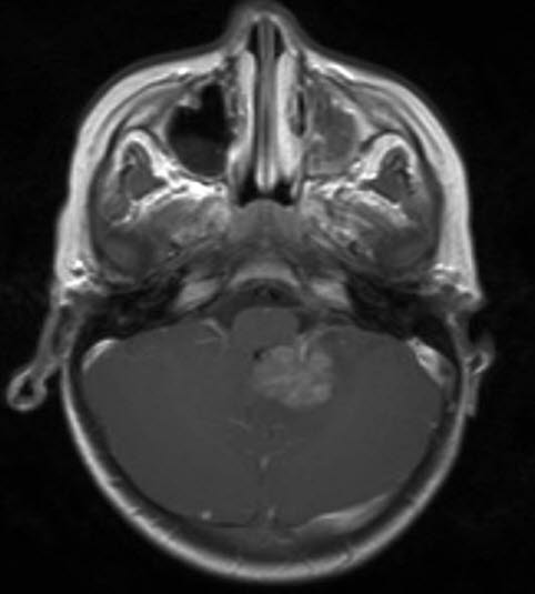
Bilde

Atypisk teratoid rhabdoid tumor, aksialt snitt

Sist oppdatert:

2. feb. 2016

atypisk teratoid rhabdoid tumor 1

Gjengitt med tillatelse av Radiologisk avdeling, Universitetssykehuset Nord-Norge