Hopp til innhold
NHI.no
Annonse
Bilde

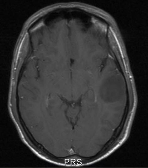
Lavgradig astrocytom, aksialt snitt

Sist oppdatert:

2. feb. 2016

lavgradig astrocytom who grad ii 1

Lavgradig astrocytom WHO grad II

Gjengitt med tillatelse av Radiologisk avdeling, Universitetssykehuset Nord-Norge