Koksidioidomykose
Koksidioidmykose er en systemisk soppinfeksjon med forskjellige grader av alvorlighet i sykdomsbildet og hvor primærinfeksjonen vanligvis er i lungene.

Sist oppdatert:
11. feb. 2021
Hva er koksidioidomykose?
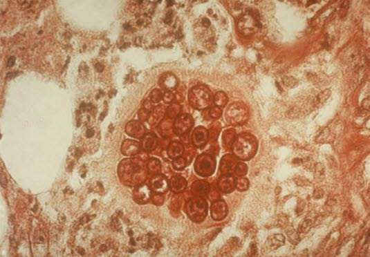
Coccidioides immitis. Fra Centers for Disease Control and Prevention, USA.Koksidioidomykose er en infeksjon forårsaket av inhalasjon av sporene til Coccidioides immitis eller posadasii, sopper som opptrer i tørre områder av sydvestre USA, særlig i sentrale California, Arizona, deler av Texas og Mexico. Den forekommer også i Mellom- og Sør-Amerika. Et annet navn på tilstanden er "Valley fever".
Årlig rapporteres 25.000 tilfeller i USA, og det er cirka 75 dødsfall per år. Det antas imidlertid at forekomsten er betydelig høyere.
Studier viser at cirka 50-60 prosent av dem med infeksjon er uten symptomer, mens cirka 40 prosent utvikler forkjølelses- eller influensaliknende plager - symptomer som vanligvis går tilbake uten behandling. Omtrent 10 prosent utvikler lungesykdom. Hos en liten andel spres infeksjonen til flere organer, vanligvis med involvering av hud, bein og sentralnervesystemet. Koksidioidomykose i sentralnervesystemet kan være livstruende.
Det er ikke rapportert tilfeller i Norge.
Årsak
Som nevnt, forårsakes infeksjonen av inhalasjon av sporene til soppen Coccidioides immitis eller posadasii. Soppen vokser i jorden, men ved tørre forhold kan sporer virvles opp i luften. Infeksjonen kan avgrenses til luftveiene, men kan spres fra lungene til blodet og videre til andre organer.
Risikofaktorer for spredning i kroppen er svekket immunsystem, slik som hiv-infeksjon, kreftsykdom eller bruk av immundempende medisiner.
Symptomer
Inkubasjonstiden er 1 til 4 uker. Det er få eller ingen symptomer i mer enn halvparten av smittetilfellene. De som utvikler symptomer får vanligvis plager som ligner på forkjølelse eller influensa. Ved spredning til lungene vil det bli hoste, feber, frysninger, nattesvette. Noen kan også få utslett, smerter i bein, og i sjeldne tilfeller hjernehinnebetennelse.
Diagnostikk
Vanlige blodprøver som blodsenkning (SR) og CRP kan være forhøyet. Ved mistanke om sykdommen kan det testes på antistoffer mot soppen i en blodprøve. Soppen kan påvises ved mikroskopi eller dyrkning av oppspytt.
Røntgenbilde av lungene kan vise ulike former for sykdomsforandringer.
Behandling
De milde infeksjonene går oftest over av seg selv uten behandling. Ved mer uttalte eller langvarige plager finnes det effektive soppmidler.
Det finnes ingen praktiske måter å forebygge tilstanden på, men vaksiner er under utprøvning.
Prognose
Prognosen ved ukomplisert sykdom er god. Etter at infeksjonen er over, har pasienten livslang immunitet mot nye infeksjoner. I tilfeller med komplisert og/eller utbredt sykdom, kan pasienten være svært syk. Spesielt betennelse i hjerne og hjernehinner er en alvorlig tilstand.
Vil du vite mer
Dette dokumentet er basert på det profesjonelle dokumentet Koksidioidomykose . Referanselisten for dette dokumentet vises nedenfor
- Kollath DR, Miller KJ, Barker BM. The mysterious desert dwellers: Coccidioides immitis and Coccidioides posadasii, causative fungal agents of coccidioidomycosis. Virulence. 2019;10: 222-33. PMID: 30898028 PubMed
- Folkehelseinstituttet. Koksidioidomykose - veileder for helsepersonell. Smittevernveilederen, sist oppdatert 12.02.2020. Siden lest 10.02.2021.
- Hospenthal DR. Coccidioidomycosis. Medscape, last updated Jul 11, 2017. emedicine.medscape.com
- Van Dyke MCC, Thompson GR, Galgiani JN, Barker BM. The Rise of Coccidioides: Forces Against the Dust Devil Unleashed. Front Immunol 2019; 10: 2188. PMID: 31572393 PubMed
- CDC. Increase in Coccidioidomycosis — Arizona, October 2017–March 2018. MMWR 2018; 67: 1246-7. www.cdc.gov
- Galgiani JN, Ample NM, Blair JE, Catanzaro A, Johnson RH, Stevens DA et al. Coccidioidomycosis. Clin Infect Dis 2005; 41: 1217-23. PubMed
- Galgiani JN, Catanzaro A, Cloud GA, Johnson RH, Williams PL, Mirels LF et al. Comparison of oral fluconazole and itraconazole for progressive, nonmeningeal coccidioidomycosis. A randomized, double-blind trial. Mycoses Study Group. Ann Intern Med 2000; 133: 676-86. Annals of Internal Medicine