Hopp til innhold
NHI.no
Annonse

Histoplasmose: Diagnostikk

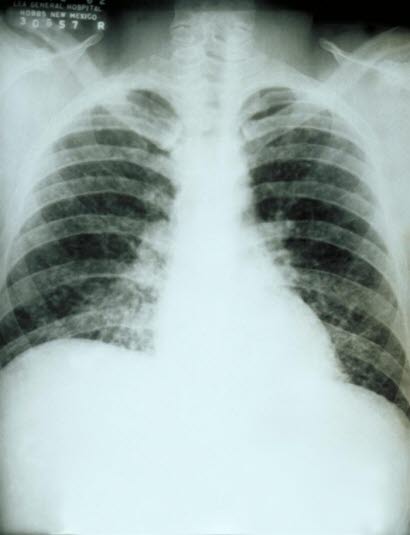
LungehistoplasmoseLungehistoplasmose

Opplysninger om reisemål, grottebesøk og luftveissymptomer kan gi mistanke om diagnosen. Blodprøver på antistoffer, eventuelt dyrkningsprøver fra luftveiene, kan bekrefte diagnosen. Røntgen-bilder av lungene kan vise typiske funn. 

Annonse

Dette dokumentet er basert på det profesjonelle dokumentet Histoplasmose . Referanselisten for dette dokumentet vises nedenfor

  1. Nygård K, Brantsæter A, Feruglio S, et al. Histoplasmose blant reisende til Mellom-Amerika. Tidsskr Nor Lægeforen 2006; 126: 2838-42. PubMed
  2. Folkehelseinstituttet. Histoplasmose. Smittevernboka, sist oppdatert 29.08.2013.
  3. Weinberg M, Weeks J, Lance-Parker S et al. Severe histoplasmosis in travelers to Nicaragua. Emerg Infect Dis 2003; 9: 1322-5. PubMed
  4. Ashford DA, Hajjeh RA, Kelley MF et al. Outbreak of histoplasmosis among cavers attending the National Speleological Society Annual Convention, Texas, 1994. Am J Trop Med Hyg 1999; 60: 899-903. PubMed
  5. Darling ST. A protozoan general infection producing pseudotubercles in the lungs and focal necrosis in the liver, spleen and lymph nodes. JAMA. 1906; 46: 1283. PubMed
  6. Benedict K, Beer KD, Jackson BR. Histoplasmosis-related healthcare use, diagnosis, and treatment in a commercially insured population, United States. Clin Infect dis 2019. pmid:31037290 PubMed
  7. Limper AH, Adenis A, Le T, Harrison TS. Fungal infections in HIV/AIDS. Lancet Infect Dis 2017; 17: 334-43. pmid:28774701 PubMed
  8. Joseph WL. Current diagnosis of histoplasmosis. Trends Microbiol 2003; 11: 488-94. PubMed
  9. Wheat LJ. Improvements in diagnosis of histoplasmosis. Expert Opin Biol Ther 2006; 6: 1207-21. PubMed
  10. Hage CA, Ribes JA, Wengenack NL, et al. A multicenter evaluation of tests for diagnosis of histoplasmosis. Clin Infect Dis 2011; 53:448. PubMed
  11. Wheat J, Kauffman CA. Diagnosis and treatment of pulmonary histoplasmosis. UpToDate, last updated May 15, 2015. UpToDate
  12. Azar MM; Hage CA. Clinical Perspectives in the Diagnosis and Management of Histoplasmosis. Clin Chest Med 2017; 38: 403-15. pmid:28797485 PubMed
  13. Buxton JA, Dawar M, Wheat LJ et al. Outbreak of histoplasmosis in a school party that visited a cave in Belize: role of antigen testing in diagnosis. J Travel Med 2002; 9: 48-50. PubMed
  14. Wheat J, Sarosi G, McKinsey D et al. Practice guidelines for the management of patients with histoplasmosis. Infectious Diseases Society of America. Clin Infect Dis 2000; 30: 688-95. PubMed
Annonse
Annonse