Røntgen av skjelett
Skjelettrøntgen tas for å avklare om det foreligger skade eller sykdom i beinvevet. Undersøkelsen er vanligvis rettet mot bestemte bein eller ledd.

Sist oppdatert:
18. juli 2019
Hva er skjelettrøntgen?
Skjelettet er kroppens reisverk og muliggjør bevegelser. Røntgen av skjelettet innebærer undersøkelse av bestemte bein, grupper av bein eller av ledd. Foruten å være kroppens reisverk har beinvevet følgende funksjoner:
- Beskytter underliggende vev og organer
- Inneholder beinmarg som danner blodceller
- Fungerer som et lager for kalsium (kalk)
Beinvev framstilles tydelig på røntgenbilder. Bløtvevet rundt beinvevet framstilles som skygger av varierende tetthet, mens hevelser og forkalkninger kan ses på røntgen. Brusk, leddbånd og sener lar seg ikke fremstille direkte på røntgen.

Når tas skjelettrøntgen?
Skjelettrøntgen tas for å avklare om det foreligger skade eller sykdom i beinvevet. Undersøkelsen er vanligvis rettet mot bestemte bein eller ledd.
Normale funn viser normalt beinvev og bløtvev.
Forberedelser
Ingen forberedelser er påkrevd.
Undersøkelsen
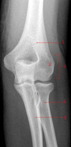
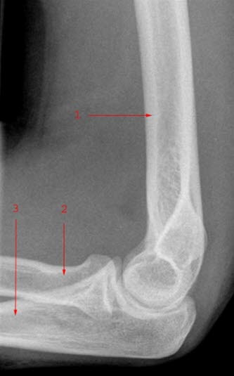
Gode røntgenbilder forutsetter at området som avbildes holdes i ro. Som regel er det nødvendig å ta bilder fra minst to retninger for å få en tilfredsstillende fremstilling av beinet. Vanligvis tas disse vinkelrett på hverandre - vanligvis forfra/bak og sidebilde (jfr. albue front og albue side nedenfor). Mer detaljert informasjon om et bein vil kunne kreve flere projeksjoner, f.eks. skråbilder.


Undersøkelsen gjøres ved at du og røntgenapparatet plasseres slik at de aktuelle bein- eller leddstrukturene friprojiseres best mulig i to eller flere opptak. Det vil si slik at beinet man vil studere, blir undersøkt fra flere vinkler og posisjoner. Metallgjenstander fjernes for å unngå "forstyrrelser" på bildet. Du må være i ro når bildene blir tatt for å unngå at bildene blir uskarpe.
Forsiktighetsregler
Er du gravid, bør du helst ikke røntgenfotograferes - alle fall ikke ta bilder av områder der røntgenstrålene kan treffe barnet. Sammen med legen må du vurdere om undersøkelsen kan vente.
Hva kan man finne?
Røntgen av beinvev kan fremvise en rekke funn. De vanligste funnene er:
- Brudd og avrivninger
- Generelt nedsatt beintetthet som skyldes beinskjørhet (osteoporose).
- Flekkvise områder med nedsatt eller økt beintetthet er som regel uttrykk for kreftspredning.
- Forandringer i beinhinnen kan skyldes nylig skade eller reparasjon av beinet av andre grunner.
Noen andre sykdommer som kan påvises, er beincyster, beinsvulster - både godartede og ondartede - betennelse i beinet (osteomyelitt), forandringer som følge av forstyrrelser i kalkomsettingen i kroppen.
Se animasjon om røntgen
Vil du vite mer
Dette dokumentet er basert på det profesjonelle dokumentet Røntgen av skjelettet . Referanselisten for dette dokumentet vises nedenfor
- Johns Hopkins Medicine. X-rays of the extremities. Accessed July 4, 2014.