Røntgen av lungene
Røntgen thorax er den hyppigst utførte røntgenundersøkelsen. Den avbilder lunger, lungesekk, hjerte og hovedpulsåren (aortabuen), midtre del av brystet (mediastinum) og de benede deler av brystkassen.

Sist oppdatert:
18. juli 2019
Brystet
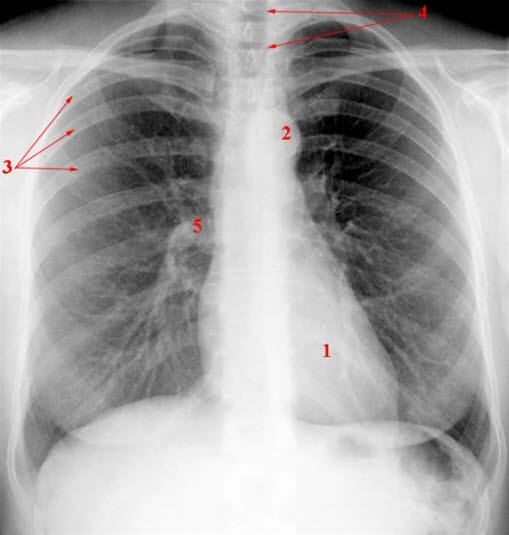
Normalt røntgenbilde av brysthulenBrystet omfatter brystkassen (thorax) med ribben, lunger med lungesekk (pleura), bronkier, og brystskilleveggen (mediastinum) som inneholder hjertet, store blodårer, luftrøret og spiserøret. På fagspråket betegnes røntgen av brystet som røntgen thorax.
Hva er røntgen av brystet?
Røntgen thorax avbilder lunger, lungesekk, hjerte og hovedpulsåren (aortabuen), mediastinum og de benede deler av brystkassen. Selv om dette er den hyppigst utførte røntgenundersøkelsen, kan den være en av de vanskeligste undersøkelsene å tolke. Ved normal undersøkelse finnes normalt utseende og normal posisjon av organene.
Når gjøres røntgen av brystet?
Ved utredning av mulig sykdom i lunger, mediastinum og beinvev. Undersøkelsen brukes til å diagnostisere lungesykdommer, tuberkulose, kreft, forandringer i rommet mellom lungene, midt i brysthulen (mediastinum) og i de benede delene av brystkassen. Røntgen tas også som ledd i oppfølging av lunge- og hjertesykdom. Undersøkelsen gjør det mulig å følge utviklingen av en lungesykdom over tid. Undersøkelsen kan også gi verdifull informasjon om hjertesvikt eller andre hjertesykdommer. Hos kritisk syke brukes røntgen thorax også til å kontrollere posisjon av innlagt tube, kateter eller annet utstyr.
Undersøkelsen
Ingen forberedelser er påkrevd. Du skal være avkledd oventil og halskjeder må være tatt av. Rutinemessig består undersøkelsen av to bilder: Frontbilde og sidebilde. Bildene tas fortrinnsvis med pasienten stående. Bilder med liggende pasient er av dårligere kvalitet og vanskeligere å tolke. Du blir bedt om å puste dypt inn og holde pusten mens bildet blir tatt. Du må stå stille. Undersøkelsen tar kun noen minutter.
Hva kan man finne?
Rutinemessig vurderes lungene, midtre del av brystet, mellomgulvet, hjertet, posisjonen til hjertet og mediastinum, ribben, ryggsøylen. Røntgenlegen ser etter oppfylninger i luftrommene, sammenfall av lungevev, runde skygger (bl.a. svulster), utbredte små skygger (kreftspredning, metastaser), tegn til væske eller sykdom i lungehulen, forstørrede lymfeknuter eller svulster i mediastinum. Et betydelig antall sykdommer kan påvises, blant de viktigste er lungebetennelse i ulike varianter, fremmedlegemer i luftveiene (f.eks. hos småbarn), svulster, luftlekkasje til lungesekken (pneumothorax), lungetuberkulose, sarkoidose, støvlunge, sykdommer i den beinete delen av brystkassen, forstørret hjerte, hjertesvikt, tegn til klaffesykdom i hjertet.
Videre utredning av uklare lungefunn vil vanligvis være bronkoskopi, ultralyd, CT eller MR.
Se animasjon om røntgen
Vil du vite mer
Dette dokumentet er basert på det profesjonelle dokumentet Røntgen thorax . Referanselisten for dette dokumentet vises nedenfor
- Johns Hopkins Medicine. Chest x-ray. Accessed July 4, 2014.