Årsaker til høyt blodtrykk
Hos de aller fleste finnes ingen klar årsak til hvorfor de har fått høyt blodtrykk. Bare hos 5-10% finner man en underliggende årsak.

Sist oppdatert:
13. juli 2018
Innhold i artikkelen
Hva er høyt blodtrykk?
Høyt blodtrykk, hypertensjon, betyr at trykket i kroppens pulsårer er høyere enn det som defineres som normalt. Høyt blodtrykk regnes ikke som en sykdom i seg selv, men det er en belastende faktor for hjertet og gir økt risiko for utvikling av hjerneslag og hjerteinfarkt.
Blodtrykk angis med to tall atskilt av en skråstrek. Overtrykket er trykket i pulsårene (arteriene) når hjertet trekker seg sammen - det systoliske trykket. Undertrykket er trykket i pulsåren mellom hjerteslagene (det diastoliske trykket). Et blodtrykk på 140/90 betyr altså at trykket er 140 på det høyeste, og 90 på det laveste.
Høyt blodtrykk gir vanligvis ingen symptomer. Ved meget høye trykk, noe som er sjeldent, kan man imidlertid oppleve svimmelhet og hodepine.
Årsaker
Primær eller essensiell hypertensjon
Hypertensjon kan ha ulike årsaker. Hos de aller fleste (90-95 prosent) er det imidlertid ikke mulig å finne den nøyaktige grunnen til det høye trykket. Vi kaller dette primær (essensiell) hypertensjon. Det er sansynlig at arv og genetikk spiller en vesentlig rolle hos mange av dem som har primær hypertensjon. I tillegg vil en rekke ulike faktorer kunne utløse eller forverre høyt blodtrykk.
Forskerne har funnet flere arvelige forhold som er nært knyttet til hypertensjon. Av særlig interesse er avvik i enkelte gener som lager hormoner kalt angiotensinogen, renin og angiotensinogen converting enzyme (ACE). Disse tre hormonene spiller en viktig rolle i kontrollen av blodtrykk, vann- og saltbalanse i kroppen.
I tillegg til de arvelige forholdene er det flere ting som øker sjansen for å få høyt blodtrykk. Viktige medvirkende årsaker er fedme, diabetes, lite fysisk aktivitet, høyt alkoholinntak, høyt saltinntak og høy alder.
Sekundær hypertensjon
Ved sekundær hypertensjon finner man en underliggende årsak til det høye blodtrykket. Sekundær hypertensjon er mye sjeldnere enn primær, og bare 5-10 prosent av alle med høyt blodtrykk har denne varianten.
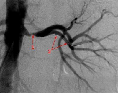
Sekundær hypertensjon betyr høyt blodtrykk forårsaket av annen sykdom. Spesielt nyresykdommer med sviktende nyrefunksjon har en tendens til å øke blodtrykket. Innsnevring av pulsåren til en eller begge nyrer (nyrearteriestenose) er en annen kjent årsak (se bildet). Enkelte sykdommer i binyrene, i bukspyttkjertelen eller hovedpulsåren, kan også forårsake høyt blodtrykk. Det samme gjelder bruk av en del medisiner, for eksempel p-piller, NSAIDs, og kortikosteroider.

Sekundær hypertensjon rammer ofte unge mennesker og kan utvikles over relativt kort tid. Blodtrykket blir ofte svært høyt, og vanlige blodtrykksmedisiner har ofte dårligere effekt enn forventet. I mange tilfeller kan årsaken til sekundær hypertensjon fjernes.
Nyreutløst høyt blodtrykk
Innvirkning på kroppen
Høyt blodtrykk er en belastning på hjertet og karsystemet med mange skadelige virkninger. Hjerte, nyrer, lunger og hjerne er blant de organene som kan få skader (komplikasjoner) på grunn av hypertensjon. De skadelige effektene av hypertensjon har en nær sammenheng med hvor høyt trykket er.
Det er hjertet som må overvinne det høye trykket i blodårene ved hvert hjerteslag. Dette bli et stort ekstraarbeid som over tid kan gi forstørret hjerte. Etterhvert som hjertet vokser, blir funksjonen stadig dårligere. Til slutt kan det oppstå hjertesvikt, en tilstand der hjertet ikke klarer å pumpe tilstrekkelig blod ut i kroppen. Blodet hoper seg opp i lungene, og resultatet blir vann i lungene og tungpust (hjertesvikt).
Vedvarende høyt trykk i blodkarene gir skader i blodåreveggene. I tillegg er høyt blodtrykk en viktig årsak til kalkavleiringer (aterosklerose) i blodkarene. Aterosklerose medfører innsnevringer i blodkarene og redusert blodgjennomstrømning. Dette kan blant annet føre til hjerteinfarkt og hjerneslag.
Hypertensjon og aterosklerose kan også gi skader på nyrene. Slike nyreskader kan noen ganger gi nyresvikt, en alvorlig tilstand som krever intensiv behandling og noen ganger nyretransplantasjon.
Årsaker til komplikasjoner
Vanligvis er alvorligheten av skadene nært forbundet med hvor mye forhøyet blodtrykket er. Det er imidlertid en rekke andre forhold som kan fremskynde eller hindre de skadelige effektene av hypertensjon.
Livsstil har en vesentlig betydning. Personer som røyker, er lite fysisk aktive, er overvektige og har et usunt kosthold, er mye mer utsatt for komplikasjoner enn dem som trener regelmessig, er normalvektige, ikke røyker og spiser mye frukt og grønnsaker. Dette er altså viktige forhold som du selv kan gjøre noe med for å redusere risikoen.
Menn har høyere risiko enn kvinner, og dersom det er mye hjerte-karsykdom i den nærmeste familien, er risikoen økt. Høyt kolesterol eller diabetes øker også risikoen for å få komplikasjoner.
Undervisning
Vil du vite mer
- Se vårt seminar om høyt blodtrykk
- Hypertensjon, oversikt
- Hypertensjon, utredning
- Hypertensjon, egenbehandling
- Hypertensjon, medikamentell behandling
- Hypertensjon, komplikasjoner
- Hypertensjon, malign
- Hypertensjon, øyeskader
- Landsforeningen for Hjerte- og Lungesyke
- Hjerneslag
- Hjerteinfarkt
- Svimmelhet
- Hodepine
- NSAIDs
- Kortikosteroider
Dette dokumentet er basert på det profesjonelle dokumentet Høyt blodtrykk . Referanselisten for dette dokumentet vises nedenfor
- Klemsdal TO, Tonstad S, Hjermann I. Hvordan identifisere personer med høy risiko for kardiovaskulær sykdom?. Tidsskr Nor Lægeforen 2004; 124: 799-801. PubMed
- Viera AJ, Neutze DM. Diagnosis of secondary hypertension: an age-based approach. Am Fam Physician 2010; 82: 1471-8. American Family Physician
- Wills AK, Lawlor DA, Matthews FE, et al. Life course trajectories of systolic blood pressure using longitudinal data from eight UK cohorts. PlosMed 2011; 8: e1000440. PubMed
- NCD Risk Factor Collaboration (NCD-RisC). Worldwide trends in blood pressure from 1975 to 2015: a pooled analysis of 1479 population-based measurement studies with 19,1 million participants, The Lancet 2016: doi: 10.1016/S0140-6736(16)31919-5 DOI
- Powers B, Olsen MK, Smith VA, et al. Measuring blood pressure for decision making and quality reporting: where and how many measures. Ann Intern Med 2011; 154: 781-8. Annals of Internal Medicine
- Omura M, Saito J, Yamaguchi K, Kakuta Y, Nishikawa T. Prospective study on the prevalence of secondary hypertension among hypertensive patients visiting a general outpatient clinic in Japan. Hypertens Res 2004; 27: 193-202. PubMed
- Bibbins-Domingo K, Chertow GM, Coxson PG, et al. Projected effect of dietary salt reductions on future cardiovascular disease. N Engl J Med 2010; : NEJMoa0907355.
- He FJ, Li J, MacGregor GA. Effect of longer term moderat salt reduction on blood pressure. Cochrane Database of Systematic Reviews 2013; 4: CD004937. doi:10.1002/14651858.CD004937.pub2 DOI
- Klatsky AL, Gunderson E. Alcohol and hypertension: a review. J Am Soc Hypertens 2008; 2: 307-17. PubMed
- Malinski MK, Sesso HD, Lopez-Jimenez F, Buring JE, Gaziano JM. Alcohol consumption and cardiovascular disease mortality in hypertensive men. Arch Intern Med 2004; 164: 623-8. PubMed
- Xin X, He J, Frontini MG, Ogden LG, Motsamai OI, Whelton PK. Effects of alcohol reduction on blood pressure: a meta-analysis of randomized controlled trials. Hypertension 2001; 38: 1112-7. PubMed
- Jones DW, Appel LJ, Sheps SG, Roccella EJ, Lenfant C. Measuring blood pressure accurately. New and persistent challenges. JAMA 2003; 289: 1027-30. PubMed
- Ohkubo T, Kikuya M, Metoki H, et al. Prognosis of "masked" hypertension and "white-coat" hypertension detected by 24-h ambulatory blood pressure monitoring 10-year follow-up from the Ohasama study. J Am Coll Cardiol 2005; 46: 508-15. PubMed
- Verberk WJ, Kroon AA, Kessels AG, de Leeuw PW. Home blood pressure measurement. A systematic review. J Am Coll Cardiol 2005; 46: 743-51. PubMed
- Mancia G, De Backer G, Dominiczak A, et al. 2007 guidelines for the management of arterial hypertension: the Task Force for the Management of Arterial Hypertension of the European Society of Hypertension (ESH) and of the European Society of Cardiology (ESC). J Hypertens 2007; 25: 1105-87. PubMed
- Mayor S. Hypertension diagnosis should be based on ambulatory blood pressure monitoring, NICE recommends. BMJ 2011; 343: d5421. doi:http://dx.doi.org/10.1136/bmj.d5421
- Lovibond K, Jowett S, Barton P, et al. Cost-effectiveness of options for the diagnosis of high blood pressure in primary care: a modelling study. Lancet 2011; 378: 1219-30. PubMed
- Stergiou G, Mengden T, Padfield PL, et al. Self monitoring of blood pressure at home. BMJ 2004; 329: 870-1. British Medical Journal
- Staessen JA, Wang J, Gianchi G, Birkenhäger WH. Essential hypertension. Lancet 2003; 361: 1629-41. PubMed
- Dyrdal A, Lindbæk M. Diagnostikk av hypertensjon i allmennpraksis - er kontorblodtrykk tilstrekkelig? Tidsskr Nor Lægeforen 2003; 123: 147-51. PubMed
- Clark CE, Taylor RS, Shore AC, et al. Association of a difference in systolic blood pressure between arms with vascular disease and mortality: a systematic review and meta-analysis. Lancet 2012; 379: 905-14. PubMed
- Gerdts E, Omvik P, Mo R, Kjeldsen SE . Hypertensjon og hjertesykdom. Tidsskr Nor Lægeforen 2004; 124: 802-5. PubMed
- Diao D, Wright JM, Cundiff DK, et al. Pharmacotherapy for mild hypertension. Cochrane Database Syst Rev 2012 Aug 15;8:CD006742. Cochrane (DOI)
- Yokoyama Y, Nishimura K, Barnard ND, et al. Vegetarian Diets and Blood Pressure: A Meta-analysis. JAMA Intern Med. 2014 Feb 24.