Blodpropp i lungene
En blodpropp i lungene skyldes at en blodpropp som har dannet seg i en vene i bena eller bekkenet, har løsnet og fulgt blodstrømmen opp til lungene. Der vil blodproppen kile seg fast.

Sist oppdatert:
28. okt. 2020
Innhold i artikkelen
Hva er blodpropp i lungene (lungeemboli)?
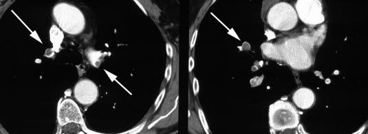
Lungeemboli er en sykdom hvor en propp (embolus) av fast materiale (blodpropp) løsrives fra sitt opprinnelsessted - som regel fra blodårer i leggene eller i bekkenet, og fraktes med blodstrømmen til lungene, hvor den blokkerer en av pulsårene i lungene. En del av blodet når dermed ikke fram til lungens luftblærer hvor det skulle tilføres oksygen. Oksygentilførselen til blodet blir dermed dårligere. Alvorlighetsgraden avgjøres av størrelsen på blodåren som er blokkert.
Røntgenbilde av lunger med blodproppDiagnosen kan noen ganger være vanskelig å stille i tidlig fase eller ved små blodpropper. Vanlige symptomer på blodpropp i lungene er:
- Plutselige, skarpe brystsmerter som forverres ved dyp innpusting eller ved hoste. Kortpusthet er vanlig. Noen har kun beskjedne smerter, noen opplever sting i brystet.
- Hoste er vanlig og i enkelte tilfeller også feber. Blodig oppspytt ses i noen tilfeller.
- Hurtig puls er et tegn på nedsatt tilgang på oksygen. Og tilstanden kan utløse betydelig angst og uro
- Små blodpropper kan forekomme nesten helt uten symptomer
Animasjon av blodpropp i lungene
Årlig får ca 4.500 personer lungeemboli i Norge. Det tilsvarer omtrent 85 nye pasienter hver uke året rundt.
Årsak
Lungeemboli oppstår vanligvis etter at det har dannet seg en blodpropp i de store venene i beina eller i bekkenet. Blodpropper i beina oppstår som regel når du blir sittende lenge i ro, ved sengeleie og etter skader. Blodet i beina "hoper seg opp" og blir stillestående, og dette disponerer for levring av blodet.

Dersom hele eller deler av proppen løsner, fraktes den med blodstrømmen til hjertet, der den pumpes videre til lungene. Blodårene fra hjertet til lungene blir trangere og trangere og før eller siden vil proppen kile seg fast og danne en propp (lungeemboli).
Flere forhold gjør deg mer utsatt for å utvikle lungeemboli:
- Noen akutte tilstander kan føre til blodpropp i en legg/lår og til lungeemboli: bruddskader, andre fysiske traumer, operasjoner, bruk av skinner/gips, immobilisering, infeksjoner eller uttørring
- Underliggende sykdommer kan utløse blodpropp og lungeemboli: aktiv kreftsykdom, hjertesvikt, nyresvikt, kols, betennelsessykdommer i tarm, beinmargssykdommer. Blodpropprisiko øker også i svangerskap og ved fødsel, og risikoen er noe økt hos kvinner som bruker p-piller eller østrogener mot plager i overgangsalderen
- Medfødte feil i blodlevringssystemet kan være en årsak til blodpropp. Dette mistenkes spesielt dersom yngre personer uten andre underliggende sykdommer, får blodpropp. Slike feil kan avsløres i en serie med ulike blodtester
- Hos ca. 20-30 prosent av alle som får blodpropp og lungeemboli, finner man ingen årsak på tross av utredning
Diagnostikk

Diagnosen kan være vanskelig å stille. Mistanke om lungeemboli på grunnlag av sykehistorien fører alltid til akutt innleggelse på sykehus. Der vil det bli tatt blodprøver, blant annet for å påvise eller utelukke andre sykdommer som kunne medført disse plagene. Lungene vil bli grundig undersøkt, og en spesiell CT-undersøkelse av blodårene i lungene kan gi sikkert svar.
Behandling
Behandlingen avhenger av hvor alvorlig tilstanden er. Alle skal behandles, men lette tilfeller behøver ikke engang sykehusinnleggelse. Alvorlige tilfeller kan kreve omfattende og avansert behandling i sykehus.
Dyp venetrombose og lungeemboli er tilstander som kan komme tilbake. Dersom du har hatt en episode med blodpropp, er det et tegn på at du er disponert for dette. Derfor er forebyggende tiltak, og behandling med blodfortynnende (antikoagulerende) midler etter en akutt episode, viktig for å forebygge nye anfall.
Medikamentell behandling
Ved alvorlig lungeemboli behandles pasienten i starten med oksygen, morfin og blodfortynnende medisin (heparin) direkte i blodet. Etter 12 til 24 timer startes det med blodfortynnende tabletter (direktevirkende antikoagulasjonsmidler: rivaroksaban, apiksaban, dabigatran, edoksaban - fellesnavn DOAK, eller warfarin). Blodfortynnende medikamenter brukes for å stanse blodlevringen, og for å forhindre dannelse av nye blodpropper. Varigheten avhenger av alvorlighetsgraden av sykdommen, og om pasienten har hatt liknende tilfeller tidligere. Vanlig behandlingstid er 3 måneder, men det kan være nødvendig med mer langvarig, eventuelt livslang behandling.
De mest brukte preparatene er såkalte direktevirkende antikoagulerende medisiner (DOAK). Disse preparatene er minst like effektive som warfarin (som tidligere var det eneste tilbudet), og det er ikke nødvendig å kontrollere blodfortynningen underveis slik man må med warfarin. Nøyaktig medisinbruk er imidlertid viktig. Dersom man glemmer noen doser, øker risikoen for blodproppdannelse betydelig, og dersom man tar for mye, øker risiko for blødninger.
Langtidsbehandling med warfarin (Marevan) er et alternativ. Dette krever nøye oppfølging hos fastlegen. Du må møte til jevnlige kontroller av blodfortynningsgraden (INR-måling), og det er ofte nødvendig å justere dosen for å oppnå riktige blodverdier.
Samtidig bruk av salisylat eller NSAID bør generelt unngås fordi det øker faren for blødninger.
I akuttfasen kan også andre tiltak være aktuelle som blodpropp-oppløsende behandling eller kirurgisk fjerning av blodproppen.
Forebyggende behandling
Fysisk aktivitet er svært viktig fordi blodpropper ofte dannes under eller etter perioder med immobilisering, som for eksempel sengeleie eller gipsbehandling. Dette er også en av de viktigste grunnene til at opererte eller alvorlig syke pasienter anbefales å stå opp av senga så tidlig og så ofte som mulig.
Ellers utgjør antikoagulasjonsbehandling som beskrevet ovenfor, en sentral del av den forebyggende behandlingen.
Prognose
Forløpet avhenger helt av størrelsen på blodproppen. Det kan variere fra helt bagatellmessige, forbigående plager til akutt død ved store lungeembolier. Med god og rask behandlingen er overlevelsen nær 99 prosent.
Tilbakefall kan skje. Pasienter som har blitt behandlet for lungeemboli eller dyp venetrombose, anbefales å unngå bruk av p-piller eller østrogentilskudd senere i livet.
Dette dokumentet er basert på det profesjonelle dokumentet Lungeemboli . Referanselisten for dette dokumentet vises nedenfor
- Konstantinides SV, Meyer G, Becattini C, et al. 2019 ESC Guidelines for the diagnosis and management of acute pulmonary embolism developed in collaboration with the European Respiratory Society (ERS): The Task Force for the diagnosis and management of acute pulmonary embolism of the European Society of Cardiology (ESC). Eur Heart J 2019. doi:10.1093/eurheartj/ehz405 DOI
- Baksaas ST, Geiran OR, Iversen S. Kirurgi ved kronisk lungeemboli. Tidsskr Nor Lægeforen 2001; 121: 431-3. tidsskriftet.no
- Heit JA, Spencer FA, White RH. The epidemiology of venous thromboembolism. J Thromb Thrombolysis 2016; 41: 3-14. pmid:26780736 PubMed
- Douketis J, Tosetto A, Marucci M, et al. Risk of recurrence after venous thromboembolism in men and women: patient level meta-analysis. BMJ 2011; 342: d813. PubMed
- Apenteng PN, Hobbs FR, Roalfe A, et al. Incidence of venous thromboembolism in care homes: a prospective cohort study. Br J Gen Pract 2017 Feb; 67 (655): e130-e137. pmid:28093420 PubMed
- Di Minno MN, Ambrosino P, Ambrosino F, et al. Prevalence of deep vein thrombosis and pulmonary embolism in patients with superficial vein thrombosis: a systematic review and meta-analysis. J Thromb Haemost. 2016; 14: 964-72. pmid:26845754 PubMed
- Huang W, Goldberg RJ, Anderson FA, et al . Occurrence and predictors of recurrence after a first episode of acute venous thromboembolism: population-based Worcester Venous Thromboembolism Study. J Thromb Thrombolysis 2016. pmid:26847621 PubMed
- Andreassen AK. Kronisk tromboembolisk pulmonal hypertensjon. Hjerteforum 2016; 29 (nr. 3): 19-25. www.legeforeningen.no
- Hughes MJ, Stein PD, Matta F. Silent pulmonary embolism in patients with distal deep venous thrombosis: systematic review. Thromb Res. 2014 Dec;134(6):1182-5. doi: 10.1016/j.thromres.2014.09.036 DOI
- Velmahos GC, Spaniola K, Tabbara M, et al. Pulmonary embolism and deep venous thrombosis in trauma: are they related?. Arch Surg 2009; 144: 928-32. PubMed
- Stanley A and Young A. Primary prevention of thromboembolism in medical and surgical oncology patients. BJC 2010; 102; S10-16.
- Goldhaber SZ.Risk factors for venous thromboembolism. J Am Coll Cardiol 2010; 56: 1-7. PubMed
- Eichinger S, Weltermann A, Minar E, et al. Symptomatic pulmonary embolism and the risk of recurrent venous thromboembolism. Arch Intern Med 2004; 164: 92-6. PubMed
- Carrier M, Le Gal G, Wells PS, Fergusson D, Ramsay T, Rodger MA. Systematic review: The Trousseau Syndrome revisited: Should we screen extensively for cancer in patients with venous thromboembolism? Ann Intern Med 2008;149: 323-33. Annals of Internal Medicine
- Trigg DE, Wood MG, Koides PA et al. Hormonal Influences on Haemostasis in Women. Sem Thromb Haemost 2011; 37: 77-86. PubMed
- Reid R, Leyland N, Wolfman W et al.Oral Contraceptives and the Risk of venous thromboembolism: An Update. J Obstet Gynaecol Can 2010; 32: 1192-7. PubMed
- Olie V, canonico M, Scarabin P-Y. Postmenopausal hormone therapy and venous thromboembolism. Thrombosis Res 2011 (E-Pub ahead of print).
- Canonico M, Plu-Bureau G, Lowe GDO, Scarabin P-Y. Hormone replacement therapy and risk of venous thromboembolism in postmenopausal women: systematic review and meta-analysis . BMJ 2008; 336: 1227-31. British Medical Journal
- Deneux-Tharaux C, saucedo M, Bouvier-Colle MH. Pulmonary embolism in pregnancy. The Lancet 2010; 375: 1778-9. The Lancet
- Hervig T, Haram K, Sandset PM. Dyp venetrombose hos gravide. Tidsskr Nor Lægeforen 1998; 118: 4093-7. PubMed
- Levine JS, Branch DW, Rauch J. The antiphospholipid syndrome. N Engl J Med 2002; 346: 752-63. New England Journal of Medicine
- Gavish I, Brenner B. Air travel and the risk of thromboembolism. Intern Emerg Med 2010 Nov 6. Epub ahead of print.
- Watson HG and Baglin TP. Guidelines on travel-related venous thrombosis. BJH 2011; 152: 31-34. PubMed
- Wells PS. Integrated strategies for the diagnosis of venous thromboembolism. J Thromb Haemost 2007; 5 (suppl. 1): 41-50.
- Hendriksen JMT, Geersin G-J, Lucassen WAM, et al. Diagnostic prediction models for suspected pulmonary embolism: systematic review and independent external validation in primary care. BMJ 2015; 351: h4438. doi:10.1136/bmj.h4438 DOI
- Shen J-H, Chen H-L, Chen J-R, et al. Comparison of the Wells score with the revised Geneva score for assessing suspected pulmonary embolism: a systematic review and meta-analysis. J Thromb Thrombolysis 2016; 41: 482-92. pmid:26178041 PubMed
- Righini M, Van Es J, Den Exter PL, et al. Age-adjusted D-dimer cutoff levels to rule out pulmonary embolism: the ADJUST-PE study. JAMA 2014; 311: 1117-24. pmid:24643601 PubMed
- Ceriani E, Combescure C, Le Gal G et al. Clinical prediction rules for pulmonary embolism: a systematic review and metaanalysis. J Thromb Haemost 2010; 8: 957-70. PubMed
- Gibson NS, Sohne M, Kruip MJ, et al. Further validation and simplification of the Wells clinical decision rule in pulmonary embolism. Thromb Haemost 2008; 99: 229-34. PubMed
- The Task Force for the diagnosis and management of acute pulmonary embolism of the Eur Soc Card Guidelines on the diagnosis and management of acute pulmonary embolism (ESC). 2008; 29: 2276-2315.
- Bounemeaux H, Perrier A and Righini M. Diagnosis of venous thromboembolism: un update. Vasc Med 2010; 15: 399-406. PubMed
- Geersing G-J, Erkens PMG, Lucassen WAM, et al. Safe exclusion of pulmonary embolism using the Wells rule and qualitative D-dimer testing in primary care: prospective cohort study. BMJ 2012; 345: e6564. BMJ (DOI)
- Pesavento R, de Conti G, Minotto I, et al; for the TACEP study.The value of 64-detector row computed tomography for the exclusion of pulmonary embolism. Thromb Haemost. 2011; 105. 901-7. PMID: 21301781 PubMed
- ATS Guideline – Evaluation of Suspected Pulmonary Embolism in Pregnancy. Radiology 2012; 262 (2): 635-646
- Krishnan AS, Barrett T. Images in clinical medicine. Westermark sign in pulmonary embolism. N Engl J Med 2012; 366: e16. pmid:22417276 PubMed
- Moore AJE, Wachsmann J, Chamarthy MR, et al. Imaging of acute pulmonary embolism: an update. Cardiovasc Diagn Ther 2018; 8: 225-43. pmid:30057872 PubMed
- Bajc M, Schümichen C, Grüning T, et al. EANM guideline for ventilation/perfusion single-photon emission computed tomography (SPECT) for diagnosis of pulmonary embolism and beyond. Eur J Nucl Med Mol Imaging 2019. pmid:31410539 PubMed
- Shahir K, Goodman LR, Tali A, Thorsen KM, Hellman RS. Pulmonary embolism in pregnancy: CT pulmonary angiography versus perfusion scanning. Am J Roentgenol. 2010; 195 (3): W214-20
- Semb VB, Tveit A. Begrenset malignitetsutredning ved idiopatisk venøs trombose. Tidsskr Nor Legeforen 2014; 134: 407-11. doi:10.4045/tidsskr.13.0310 DOI
- Delluc A, Antic D, Lecumberri R, et al. Occult cancer screening in patients with venousthromboembolism: guidance from the SSC of the ISTH. J Thromb Haemost. 2017; 15: 2076-9. pmid:28851126 PubMed
- Wells PS, Forgie MA, Rodger MA. Treatment of venous thromboembolism. JAMA 2014; 311:717-28. doi: 10.1001/jama.2014.65. DOI
- Kearon C, Akl EA. Duration of anticoagulant therapy for deep vein thrombosis and pulmonary embolism. Blood 2014; 123 (12): 1794-1801. doi: 10.1182/blood-2013-12-512681 DOI
- Reikvam Å og Sandset PM. Warfarinbehandling i praksis – Tryggere antikoagulasjon. Skriftserie for leger 2010 (ISBN-13 978-82-8070-083-4).
- Segal JB, Streiff MB, Hofmann LV, Thornton K, Bass EB. Management of venous thromboembolism: a systematic review for a practice guideline. Ann Intern Med 2007; 146: 211-22. PubMed
- Blondon M, Bounemeaux H, Righini M et al.Treatment strategies for acute pulmonary embolism. Expert Opin Pharmacother 2009; 10: 1159-71. PubMed
- Colemen R and MacCallum P. Treatment and secondary prevention of venous thromboembolism in cancer. Br J C 2010; 102: Suppl 1: S17-23.
- Eichinger S and Kyrle PA. J. Duration of anticoagulation after initial idiopathic venous thrombosis – the swinging pendulum: Risk assessment to predict recurrence. Thromb Haemost 2009; 7: (suppl 1): 291-5.
- Ortel TL, Neumann I, Ageno W, et al. American Society of Hematology 2020 guidelines for management of venous thromboembolism: treatment of deep vein thrombosis and pulmonary embolism. Blood Adv 2020; 4: 4693-4738. pmid:33007077 PubMed
- Venetz C, Jiménez D, Mean M, Aujesky D. A comparison of the original and simplified Pulmonary Embolism Severity Index. Thromb Haemost. 2011;106:423-8. doi: 10.1160/TH11-04-0263 DOI
- Vandvik P (red.) Retningslinjer for antitrombotisk behandling og profylakse - 2020. Norsk Selskap for Trombose og Hemostase. v2.0. Publisert 27.05.2020. Siden lest 25.11.2020 app.magicapp.org
- Kearon C, Akl EA, Ornelas J, et al. Antithrombotic Therapy for VTE Disease CHEST Guideline and Expert Panel Report. Chest 2016; 149: 315-52. pmid:26867832 PubMed
- Helsedirektoratet. Statens legemiddelverk. Informasjon om warfarin og de nye perorale antikoagulasjonsmidlene dabigatran, rivaroksaban og apixaban. IS-2050. Versjon 2.0. November 2013
- Bates SM, Greer IA, Middeldorp S, Veenstra DL, Prabulos AM, Vandvik PO; American College of Chest Physicians. VTE, thrombophilia, antithrombotic therapy, and pregnancy: Antithrombotic Therapy and Prevention of Thrombosis, 9th ed: American College of Chest Physicians Evidence-Based Clinical Practice Guidelines. Chest. 2012 Feb;141(2 Suppl):e691S-736S
- Rodina MT, Pendleton R, Wheeler M, Rodgers GM. The treatment of venous thromboembolism in special populations Thrombosis Research 2007; 119: 391-402. PubMed
- Agnelli G, Becattini C, Meyer G, et al. Apixaban for the Treatment of Venous Thromboembolism Associated with Cancer. N Engl J Med. 2020 Apr 23;382(17):1599-1607. PMID: 32223112 PubMed
- Stevens SM, Woller SC, Bauer KA, et al. Guidance for the evaluation and treatment of hereditary and acquired thrombophilia. J Thromb Thrombolysis 2016; 41: 154-64. pmid:26780744 PubMed
- Simes J, Becattini C, Agnelli G, et al. Aspirin for the Prevention of Recurrent Venous Thromboembolism: The INSPIRE Collaboration. Circulation. 2014 Sep 23;130(13):1062-71 PubMed
- Geerts WH, Bergqvist D, Pineo GF et al. Prevention of Venous Thromboembolism: American College of Chest Physicians Evidence-Based Clinical Practice Guidelines (8th Edition). Chest 2008; 133: S381-S453.
- Huo MH and Spyropoulis AC. The eighth American college of chest phycisians guidelines on venous thromboembolism prevention: implications for hospital prophylaxis strategies. J Thromb Thrombolysis 2010 (e-pub ahead of print).
- Ræder J og Nordentoft J. Dagkirurgi og anestesi. Tidsskr Nor Legeforen 2010; 130: 742-6. Tidsskrift for Den norske legeforening
- Carrier M, Le Gal G, Wells PS et al. Systematic review: case-fatality rates of recurrent Venous Thromboembolism and major Bleeding Events Among Patients treated for venous Thromboembolism. Ann Intern Med 2010; 152: 578-89. Annals of Internal Medicine
- Spyropoulus AC. To bridge or not to bridge: that’s the question. The argument FOR bridging therapy in patients on oral anticoagulants requiring temporary interruption for elective procedures. J Thromb Thrombolysis 2010; 29: 192-8. PubMed
- Martinelli I, Lensing AW, Middeldorp S, et al. Recurrent venous thromboembolism and abnormal uterine bleeding with anticoagulant and hormone therapy use. Blood 2016; 127: 1417-25. doi:10.1182/blood-2015-08-665927 DOI
- Amorosi SL, Tsilimingras K, Thompson D, Fanikos John, Weinstein MC, Goldhaber SZ. Cost analysis of "Bridging Therapy" with Low-Molecular-Weight Heparin versus Unfractionated Heparin during temporary interruption of chronic anticoagulation. A J Cardiol 2004; 93: 509-11. PubMed
- Klok FA and Huisman MV. Epidemiology and management of chronic thromboembolic pulmonary hypertension. Neth J Med 2010; 68: 347-351. PubMed
- Rutherford O-CW, König MSS, Risnes K. Antidotbehandling ved bruk av direktevirkende antikoagulasjonsmidler. Tidsskr Nor Legeforen 2018. doi:10.4045/tidsskr.17.0190 DOI
- Niessner A, Tamargo J, Morais J et al. Reversal strategies for non-vitamin K antagonist oral anticoagulants: a critical appraisal of available evidence and recommendations for clinical management-a joint position paper of the European Society of Cardiology Working Group on Cardiovascular Pharmacotherapy and European Society of Cardiology Working Group on Thrombosis. Eur Heart J 2017; 38: 1710 - 6. PMID: 26705385 PubMed
- Roncon L, Zuin M, Casazza F, et al. Impact of syncope and pre-syncope on short-term mortality in patients with acute pulmonary embolism. Eur J Intern 2018. pmid:29655808 PubMed