Sprekkdannelse i hovedpulsåren - aortadisseksjon
Aorta er navnet på hovedpulsåren. Det kalles aortadisseksjon når det oppstår en rift inne i hovedpulsåren slik at blod trenger inn i veggen i blodåren.

Sist oppdatert:
3. juli 2020
Innhold i artikkelen
Hva er aortadisseksjon?
Arterier og vener i abdomen og lyskeAorta er hovedpulsåren som går ut fra hjertet. I brysthulen avgår pulsårer (arterier) til hodet og armene, i bukhulen avgår pulsårer til organer i buken. Aorta ender i bekkenet der den deler seg i to og går ned i hvert av benene og endrer da navn til arteria iliaca.
Det kalles aortadisseksjon når det oppstår en rift inne i hovedpulsåren slik at blod trenger inn i veggen i blodkaret, og medfører at de indre lagene i åreveggen løsner fra det ytre laget. Symptomene ved aortadisseksjon er plutselige, sterke brystsmerter eller magesmerter. Disse kommer i løpet av sekunder, og de kan stråle ut mellom skulderbladene og bak i ryggen.
Det er 60-80 nye tilfeller av denne komplikasjonen i Norge hvert år.
Årsak

Aortadisseksjon oppstår som følge av en svakhet i hovedpulsårens vegg. Dette kan være medfødt, være en følge av åreforkalkning eller skader etter kirurgi eller ulykker. Blod strømmer ut i blodårens vegg, og presser seg vei på langs i åreveggen. Dette kan føre til at hovedpulsåren sprekker, og gir opphav til en meget alvorlig og livstruende blødning. Hos eldre er det oftest åreforkalkning og høyt blodtrykk som er årsakene, hos yngre er medfødte bindevevssykdommer eller medfødte klaffefeil hyppigere årsaker.
Aortadisseksjon er en hyperakutt tilstand hvor det er nødvendig med øyeblikkelig innleggelse i sykehus for behandling.
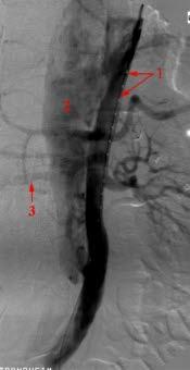
Bildet:
- Kateter i det ekte hulrommet (lumen)
- Falskt lumen
- Høyre nyrearterie som avgår fra det falske lumen
Diagnostikk
Diagnosen mistenkes på bakgrunn av de typisk symptomene, og pasientene legges straks inn i sykehus. Tilstanden kan forveksles med akutt hjerteinfarkt, eller sjeldnere med blodpropp i lungene. I sykehus blir diagnosen stilt ved hjelp av CT-undersøkelser, eventuelt såkalt ekkokardiografi eller sjeldnere ved MR-undersøkelse.
Behandling
Behandlingen er avhengig av hvor i hovedpulsåren disseksjonen foregår. Disseksjon i den første og oppadstigende delen av hovedpulsåren er mest alvorlig (såkalt type A-disseksjon) og blir oftest forsøkt operert så raskt som mulig ved et thoraxkirurgisk senter. Operasjonen utføres ved bruk av hjerte-lungemaskin. Det kan være nødvendig å skifte ut både hjerteklaffer (aortaklaffer) og en del av hovedpulsåren (aorta ascendens).
Dersom det kun foreligger disseksjon i den nedadgående delen av hovedpulsåren, er resultatene best med konservativ behandling, det vil si streng blodtrykksbehandling og overvåkning og ikke operasjon.
Prognose
Ubehandlet er prognosen dårlig. Dødeligheten er ca. 20 prosent før pasienten rekker til sykehus, og ca. 30 prosent under sykehusopphold. Dersom behandlingen er vellykket, er det funnet 10-års overlevelse etter utskrivning hos opptil 60 prosent.
Vil du vite mer
Dette dokumentet er basert på det profesjonelle dokumentet Aortadisseksjon . Referanselisten for dette dokumentet vises nedenfor
- Erbel R, Aboyans V, Boileau C, et al. 2014 ESC Guidelines on the diagnosis and treatment of aortic diseases. Eur Heart J 2014; 35: 2873-2926. pmid:25173340 PubMed
- Hiratzka LF, Bakris GL, Beckman JA, et al. 2010 ACCF/AHA/AATS/ACR/ASA/SCA/SCAI/SIR/STS/SVM guidelines for the diagnosis and management of patients with thoracic aortic disease. Circulation. 2010;121:e266-e369.
- Fossum E, Ata B, Eritsland J, Kløw N-E, Mangschau A. Torakal aortadisseksjon - en viktig differensialdiagnose ved brystsmerter og EKG-forandringer. Tidsskr Nor Lægeforen 2003; 123: 2430-2. PubMed
- Olsson C, Thelin S, Stahle E, et al. Thoracic aortic aneurysm and dissection: increasing prevalnece and improved outcomes reported in a nationwide population-based study of more than 14000 cases from 1987 to 2002 . Circulation 2006; 114: 2611-8. Circulation
- Thrumurthy SG, Karthikesalingam A, Patterson BO, et al. The diagnosis and management of aortic dissection. Clinical review. BMJ 2012; 344: d8290. BMJ (DOI)
- Pape LA, Awais M, Woznicki EM. Presentation, Diagnosis, and Outcomes of Acute Aortic Dissection: 17-Year Trends From the International Registry of Acute Aortic Dissection. J Am Coll Cardiol 2015. pmid:26205591 PubMed
- Singh S, Nautiyal A. Aortic Dissection and Aortic Aneurysms Associated with Fluoroquinolones: a Systematic Review and Meta-Analysis of Observational Studies. Am J Med 2017. pmid:28739200 PubMed
- Pasternak B, Inghammar M, Svanström H. Fluoroquinolone use and risk of aortic aneurysm and dissection: Nationwide cohort study. BMJ 2018; 360: k678. pmid:29519881 PubMed
- Dong YH, Chang CH, Wang JL, Wu LC, Lin JW, Toh S. Association of Infections and Use of Fluoroquinolones With the Risk of Aortic Aneurysm or Aortic Dissection. JAMA Intern Med. 2020. PMID: 32897358. PubMed
- Gopalakrishnan C, Bykov K, Fischer MA, Connolly JG, Gagne JJ, Fralick M. Association of Fluoroquinolones With the Risk of Aortic Aneurysm or Aortic Dissection. JAMA Intern Med. 2020. PMID: 32897307 PubMed
- Klompas M. Does this patient have an acute thoracic aortic dissection?. JAMA 2002; 287: 2262-72. PubMed
- Hagan PC, Nienaber CA, Isselbacher EM, et al. The International Registry of Acute Aortic Dissection (IRAD) : new insights into an old disease. JAMA 2000; 283: 897-903. PubMed
- Shiga T, Wajima Z, Apfel CC, Inoue T, Ohe Y. Diagnostic Accuracy of Transesophageal Echocardiography, Helical Computed Tomography, and Magnetic Resonance Imaging for Suspected Thoracic Aortic Dissection: Systematic Review and Meta-analysis. Arch Intern Med 2006; 166: 1350-6. PubMed
- Safi HJ, Estrera AL. Aortic dissection. Br J Surg 2004; 91: 523-5. PubMed
- Svensson LG, Kouchoukos NT, Miller DC, et al. Expert consensus document on the treatment of descending thoracic aortic disease using endovascular stent-grafts. Ann Thorac Surg. 2008;85(suppl 1):S1-S41.
- Michelena HI, Khanna AD, Mahoney D, et al. Incidence of aortic complications in patients with bicuspid aortic valves. JAMA 2011; 306: 1104-12. Journal of the American Medical Association